• 文献检索
  • 文档翻译
  • 深度研究
  • 学术资讯
  • Suppr Zotero 插件Zotero 插件
  • 邀请有礼
  • 套餐&价格
  • 历史记录
应用&插件
Suppr Zotero 插件Zotero 插件浏览器插件Mac 客户端Windows 客户端微信小程序
定价
高级版会员购买积分包购买API积分包
服务
文献检索文档翻译深度研究API 文档MCP 服务
关于我们
关于 Suppr公司介绍联系我们用户协议隐私条款
关注我们

Suppr 超能文献

核心技术专利:CN118964589B侵权必究
粤ICP备2023148730 号-1Suppr @ 2026

文献检索

告别复杂PubMed语法,用中文像聊天一样搜索,搜遍4000万医学文献。AI智能推荐,让科研检索更轻松。

立即免费搜索

文件翻译

保留排版,准确专业,支持PDF/Word/PPT等文件格式,支持 12+语言互译。

免费翻译文档

深度研究

AI帮你快速写综述,25分钟生成高质量综述,智能提取关键信息,辅助科研写作。

立即免费体验

儿童动脉瘤性蛛网膜下腔出血继发的泰森综合征:病例说明

Terson syndrome secondary to aneurysmal subarachnoid hemorrhage in a child: illustrative case.

作者信息

Mazza Jacob M, Tank Parth, LoPresti Melissa A, Scoville Jonathan P, Bohnsack Brenda L, Lam Sandi

机构信息

1Division of Pediatric Neurosurgery, Department of Neurosurgery, Lurie Children's Hospital, Northwestern University Feinberg School of Medicine, Chicago, Illinois.

2Department of Neurological Surgery, Rush University Medical Center, Chicago, Illinois.

出版信息

J Neurosurg Case Lessons. 2023 Jun 19;5(25). doi: 10.3171/CASE2390.

DOI:10.3171/CASE2390
PMID:37354431
原文链接:https://pmc.ncbi.nlm.nih.gov/articles/PMC10550527/
Abstract

BACKGROUND

Terson syndrome is the phenomenon of intraocular hemorrhage in the setting of subarachnoid hemorrhage (SAH). Vision loss can lead to morbidity for the affected individual. Aneurysmal SAH related to intracranial aneurysms is rare in children. Studies have shown the incidence of Terson syndrome in adults with aneurysmal SAH to be over 40%; however, few cases of Terson syndrome in pediatric aneurysmal SAH have been reported.

OBSERVATIONS

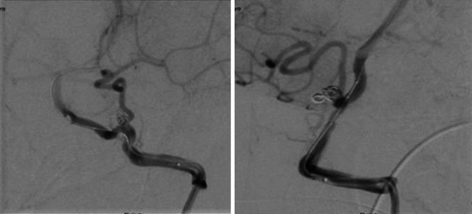
A 9-year-old male presented with altered mental status and seizures. Computed tomographic angiography showed aneurysmal SAH from a ruptured, left-sided posterior inferior cerebellar artery aneurysm. The patient underwent endovascular treatment with coiling and external ventricular drainage for SAH. Ophthalmological consultation for blurry vision revealed the diagnosis of Terson syndrome with decreased vision in the left eye, which was managed conservatively.

LESSONS

Terson syndrome after SAH can occur in children. Prompt ophthalmological evaluation in pediatric patients with aneurysmal SAH is vital for recognition and management to decrease overall morbidity.

摘要

背景

泰森综合征是蛛网膜下腔出血(SAH)时出现的眼内出血现象。视力丧失会给受影响个体带来发病风险。儿童中与颅内动脉瘤相关的动脉瘤性SAH较为罕见。研究表明,成人动脉瘤性SAH中泰森综合征的发生率超过40%;然而,小儿动脉瘤性SAH中泰森综合征的病例报告较少。

观察结果

一名9岁男性出现精神状态改变和癫痫发作。计算机断层血管造影显示左侧小脑后下动脉动脉瘤破裂导致动脉瘤性SAH。患者接受了动脉瘤栓塞和SAH的脑室外引流的血管内治疗。因视力模糊进行眼科会诊,诊断为泰森综合征,左眼视力下降,采取保守治疗。

经验教训

SAH后的泰森综合征可发生于儿童。小儿动脉瘤性SAH患者及时进行眼科评估对于识别和管理以降低总体发病率至关重要。

https://cdn.ncbi.nlm.nih.gov/pmc/blobs/4a75/10550527/5680b2c7c07f/CASE2390f4.jpg
https://cdn.ncbi.nlm.nih.gov/pmc/blobs/4a75/10550527/6ca7b18bb174/CASE2390f1.jpg
https://cdn.ncbi.nlm.nih.gov/pmc/blobs/4a75/10550527/1fd17e395ef0/CASE2390f2.jpg
https://cdn.ncbi.nlm.nih.gov/pmc/blobs/4a75/10550527/03bbadc30570/CASE2390f3.jpg
https://cdn.ncbi.nlm.nih.gov/pmc/blobs/4a75/10550527/5680b2c7c07f/CASE2390f4.jpg
https://cdn.ncbi.nlm.nih.gov/pmc/blobs/4a75/10550527/6ca7b18bb174/CASE2390f1.jpg
https://cdn.ncbi.nlm.nih.gov/pmc/blobs/4a75/10550527/1fd17e395ef0/CASE2390f2.jpg
https://cdn.ncbi.nlm.nih.gov/pmc/blobs/4a75/10550527/03bbadc30570/CASE2390f3.jpg
https://cdn.ncbi.nlm.nih.gov/pmc/blobs/4a75/10550527/5680b2c7c07f/CASE2390f4.jpg

相似文献

1
Terson syndrome secondary to aneurysmal subarachnoid hemorrhage in a child: illustrative case.儿童动脉瘤性蛛网膜下腔出血继发的泰森综合征:病例说明
J Neurosurg Case Lessons. 2023 Jun 19;5(25). doi: 10.3171/CASE2390.
2
Terson hemorrhage in patients suffering aneurysmal subarachnoid hemorrhage: predisposing factors and prognostic significance.动脉瘤性蛛网膜下腔出血患者的Terson出血:诱发因素及预后意义
J Neurosurg. 2008 Sep;109(3):439-44. doi: 10.3171/JNS/2008/109/9/0439.
3
[Incidence and relative factors of Terson syndrome in patients with aneurysmal subarachnoid hemorrhage].[动脉瘤性蛛网膜下腔出血患者中Terson综合征的发病率及相关因素]
Zhonghua Yan Ke Za Zhi. 2011 Dec;47(12):1096-101.
4
Isolated abducens nerve palsy associated with subarachnoid hemorrhage: a localizing sign of ruptured posterior inferior cerebellar artery aneurysms.孤立性展神经麻痹伴发蛛网膜下腔出血:提示后下小脑动脉破裂动脉瘤的定位体征。
J Neurosurg. 2018 Jun;128(6):1830-1838. doi: 10.3171/2017.2.JNS162951. Epub 2017 Sep 1.
5
Atypical Terson syndrome after subarachnoid hemorrhage from middle cerebral artery aneurysm rupture during coitus.性交过程中大脑中动脉动脉瘤破裂导致蛛网膜下腔出血后出现的非典型泰森综合征。
Surg Neurol Int. 2024 Aug 23;15:291. doi: 10.25259/SNI_287_2024. eCollection 2024.
6
Subarachnoid hemorrhage-negative Terson syndrome after intracranial artery treatment with a flow diverter device.使用血流导向装置治疗颅内动脉后出现蛛网膜下腔出血阴性的Terson综合征。
Am J Ophthalmol Case Rep. 2020 Oct 24;20:100978. doi: 10.1016/j.ajoc.2020.100978. eCollection 2020 Dec.
7
Terson Syndrome Secondary to Subarachnoid Hemorrhage: A Case Report.蛛网膜下腔出血继发的Terson综合征:一例报告
World Neurosurg. 2019 Apr;124:25-28. doi: 10.1016/j.wneu.2018.12.084. Epub 2018 Dec 30.
8
Clinical characteristics and long-term outcomes in patients with ruptured posterior inferior cerebellar artery aneurysms: a comparative analysis.小脑后下动脉破裂性动脉瘤患者的临床特征与长期预后:一项对比分析
J Neurosurg. 2015 Aug;123(2):441-5. doi: 10.3171/2014.10.JNS141079. Epub 2015 Apr 17.
9
Clinical characteristics of asymptomatic Terson syndrome in the patients with aneurysmal subarachnoid hemorrhage.动脉瘤性蛛网膜下腔出血患者无症状性Terson综合征的临床特征
Int J Ophthalmol. 2020 Feb 18;13(2):292-300. doi: 10.18240/ijo.2020.02.14. eCollection 2020.
10
Aneurysm location and clipping versus coiling for development of secondary normal-pressure hydrocephalus after aneurysmal subarachnoid hemorrhage: Japanese Stroke DataBank.动脉瘤性蛛网膜下腔出血后继发性正常压力脑积水的发生与动脉瘤位置及夹闭术与栓塞术的关系:日本卒中数据库
J Neurosurg. 2015 Dec;123(6):1555-61. doi: 10.3171/2015.1.JNS142761. Epub 2015 Jul 31.

引用本文的文献

1
A 52-Year-Old Man with Aneurysmal Subarachnoid Hemorrhage Associated with Delayed-Onset Vitreous Hemorrhage (Terson's Syndrome) Successfully Treated with Balloon-Assisted Coiling and Delayed Vitrectomy.一名52岁男性,患动脉瘤性蛛网膜下腔出血伴迟发性玻璃体积血(Terson综合征),经球囊辅助弹簧圈栓塞和延迟性玻璃体切除术成功治疗。
Am J Case Rep. 2024 Aug 1;25:e943567. doi: 10.12659/AJCR.943567.

本文引用的文献

1
Terson's syndrome, the current concepts and management strategies: A review of literature.Terson 综合征,当前的概念和管理策略:文献复习。
Clin Neurol Neurosurg. 2021 Nov;210:107008. doi: 10.1016/j.clineuro.2021.107008. Epub 2021 Oct 27.
2
Epidemiology and outcomes of pediatric intracranial aneurysms: comparison with an adult population in a 30-year, prospective database.儿童颅内动脉瘤的流行病学与转归:与一个30年前瞻性数据库中的成年人群的比较
J Neurosurg Pediatr. 2021 Sep 10;28(6):685-694. doi: 10.3171/2021.6.PEDS21268. Print 2021 Dec 1.
3
An explanation for Terson syndrome at last: the glymphatic reflux theory.
终于有了对 Terson 综合征的解释:糖质沥滤回流理论。
J Neurol. 2022 Mar;269(3):1264-1271. doi: 10.1007/s00415-021-10686-4. Epub 2021 Jun 25.
4
Diagnosis and Treatment of Unruptured Intracranial Aneurysms and Aneurysmal Subarachnoid Hemorrhage.未破裂颅内动脉瘤和动脉瘤性蛛网膜下腔出血的诊断和治疗。
Mayo Clin Proc. 2021 Jul;96(7):1970-2000. doi: 10.1016/j.mayocp.2021.01.005. Epub 2021 May 13.
5
Incidence of Terson Syndrome in Treated Subarachnoid Hemorrhage in South Korea: a National Health Insurance Database Study.韩国治疗性蛛网膜下腔出血中 Terson 综合征的发生率:国家健康保险数据库研究。
Sci Rep. 2019 Dec 13;9(1):19048. doi: 10.1038/s41598-019-55566-0.
6
Anatomical and functional outcomes following vitrectomy for dense vitreous hemorrhage related to Terson syndrome in children.儿童与Terson综合征相关的致密玻璃体出血行玻璃体切除术后的解剖和功能结果
Graefes Arch Clin Exp Ophthalmol. 2018 Mar;256(3):503-510. doi: 10.1007/s00417-017-3887-3. Epub 2017 Dec 29.
7
Terson syndrome in aneurysmal subarachnoid hemorrhage-its relation to intracranial pressure, admission factors, and clinical outcome.动脉瘤性蛛网膜下腔出血中的Terson综合征——其与颅内压、入院因素及临床结局的关系
Acta Neurochir (Wien). 2016 Jun;158(6):1027-36. doi: 10.1007/s00701-016-2766-8. Epub 2016 Apr 1.
8
Non-accidental trauma in pediatric patients: a review of epidemiology, pathophysiology, diagnosis and treatment.小儿非外伤性创伤:流行病学、病理生理学、诊断和治疗综述。
Transl Pediatr. 2014 Jul;3(3):195-207. doi: 10.3978/j.issn.2224-4336.2014.06.01.
9
Ruptured Aneurysm and Terson Syndrome in a 1-Month-Old Infant.
Pediatr Neurol. 2015 Jun;52(6):653-4. doi: 10.1016/j.pediatrneurol.2015.02.012. Epub 2015 Mar 13.
10
Incidence, morbidity, and mortality of Terson syndrome in Hamilton, Ontario.安大略省汉密尔顿市泰尔松综合征的发病率、发病率和死亡率。
Can J Neurol Sci. 2014 Sep;41(5):572-6. doi: 10.1017/cjn.2014.7.