Suppr超能文献

枯草芽孢杆菌活菌和灭活菌对感染多子小瓜虫的金鱼(Carassius auratus)的疗效。

Efficacy of dietary live or heat-killed Bacillus subtilis in goldfish (Carassius auratus) infected with Ichthyophthirius multifiliis.

机构信息

Department of Pathobiology, Faculty of Veterinary Medicine, University of Tabriz, Tabriz, Iran.

Department of Food Hygiene and Aquatic Animals, Faculty of Veterinary Medicine, University of Tabriz, Tabriz, Iran.

出版信息

Vet Med Sci. 2023 Jul;9(4):1636-1645. doi: 10.1002/vms3.1183. Epub 2023 Jul 1.

Abstract

BACKGROUND

The beneficial effects of Bacillus subtilis on growth, immune response, and disease resistance against various diseases in different fish species have been proved. However, there are no data concerning this probiotic effect on skin mucosal immunity in fish infected with Ichthyophthirius multifiliis (Ich). Ich has a high mortality rate in both edible and ornamental fish and consequently is concerned with heavy economic losses.

OBJECTIVES

Thus, we assessed the efficacy of live and heat-killed B. subtilis on skin immunity and histopathology in goldfish (Carassius auratus) infected with Ich.

METHODS

Goldfish (144 fish, 2.38 g average weight) were stocked in nine glass tanks each in three replicates. Fish were fed 10 CFU g live or heat-killed B. subtilis for 80 days.

RESULTS

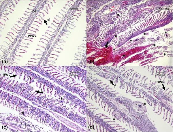
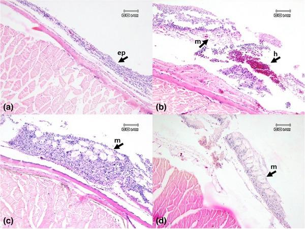
Probiotic administration in both viable and non-viable forms could enhance the growth performance in goldfish. Probiotic therapy also reduced the density of the parasite and histopathological level on skin and gill tissues of the treated fish. Real-time polymerase chain reaction analysis showed a higher expression of lysozyme and tumour necrosis factor-α in the treated groups compared to the control group.

CONCLUSIONS

These data demonstrated the beneficial effect of B. subtilis as probiotic and paraprobiotic on growth performance and disease resistance to Ich infestation in goldfish.

摘要

背景

枯草芽孢杆菌对不同鱼类的生长、免疫反应和疾病抵抗力都有有益影响,这一点已得到证实。然而,对于这种益生菌对感染多子小瓜虫(Ich)的鱼类皮肤黏膜免疫的影响,尚无相关数据。Ich 在食用鱼和观赏鱼中死亡率都很高,因此给水产养殖业带来了严重的经济损失。

目的

因此,我们评估了活菌和热灭活枯草芽孢杆菌对感染多子小瓜虫的金鱼(Carassius auratus)皮肤免疫和组织病理学的功效。

方法

将 144 条金鱼(平均体重 2.38 克)分 9 组,每组 3 个重复,分别投喂 10 CFU g 活菌或热灭活枯草芽孢杆菌 80 天。

结果

活菌和非活菌形式的益生菌给药都能提高金鱼的生长性能。益生菌治疗还降低了寄生虫的密度和治疗鱼类皮肤和鳃组织的组织病理学水平。实时聚合酶链反应分析显示,与对照组相比,治疗组溶菌酶和肿瘤坏死因子-α的表达更高。

结论

这些数据表明,枯草芽孢杆菌作为益生菌和副益生菌对金鱼的生长性能和对多子小瓜虫感染的疾病抵抗力有有益影响。

https://cdn.ncbi.nlm.nih.gov/pmc/blobs/5b4a/10357232/d0b29ea22170/VMS3-9-1636-g004.jpg

文献AI研究员

20分钟写一篇综述,助力文献阅读效率提升50倍。

立即体验

用中文搜PubMed

大模型驱动的PubMed中文搜索引擎

马上搜索

文档翻译

学术文献翻译模型,支持多种主流文档格式。

立即体验