• 文献检索
  • 文档翻译
  • 深度研究
  • 学术资讯
  • Suppr Zotero 插件Zotero 插件
  • 邀请有礼
  • 套餐&价格
  • 历史记录
应用&插件
Suppr Zotero 插件Zotero 插件浏览器插件Mac 客户端Windows 客户端微信小程序
定价
高级版会员购买积分包购买API积分包
服务
文献检索文档翻译深度研究API 文档MCP 服务
关于我们
关于 Suppr公司介绍联系我们用户协议隐私条款
关注我们

Suppr 超能文献

核心技术专利:CN118964589B侵权必究
粤ICP备2023148730 号-1Suppr @ 2026

文献检索

告别复杂PubMed语法,用中文像聊天一样搜索,搜遍4000万医学文献。AI智能推荐,让科研检索更轻松。

立即免费搜索

文件翻译

保留排版,准确专业,支持PDF/Word/PPT等文件格式,支持 12+语言互译。

免费翻译文档

深度研究

AI帮你快速写综述,25分钟生成高质量综述,智能提取关键信息,辅助科研写作。

立即免费体验

Wnt4通过激活经典Wnt信号通路并减少表皮细胞间的细胞连接,增加烧伤创面表皮的厚度。

Wnt4 increases the thickness of the epidermis in burn wounds by activating canonical Wnt signalling and decreasing the cell junctions between epidermal cells.

作者信息

Xiang Fei, Wang Pei, Gong Hao, Luo Jia, Zhou Xin, Zhan Chenglin, Hu Tianxing, Wang Mengru, Xing Yizhan, Guo Haiying, Luo Gaoxing, Li Yuhong

机构信息

Institute of Burn Research, State Key Laboratory of Trauma, Burns and Combined Injury, Southwest Hospital, Army Medical University, Chongqing 400038, PR China.

Department of Cell Biology, Army Medical University, Chongqing 400038, PR China.

出版信息

Burns Trauma. 2023 Jul 3;11:tkac053. doi: 10.1093/burnst/tkac053. eCollection 2023.

DOI:10.1093/burnst/tkac053
PMID:37408701
原文链接:https://pmc.ncbi.nlm.nih.gov/articles/PMC10318205/
Abstract

BACKGROUND

Burn wound healing is a complex process and the role of Wnt ligands varies in this process. Whether and how Wnt4 functions in burn wound healing is not well understood. In this study, we aim to reveal the effects and potential mechanisms of Wnt4 in burn wound healing.

METHODS

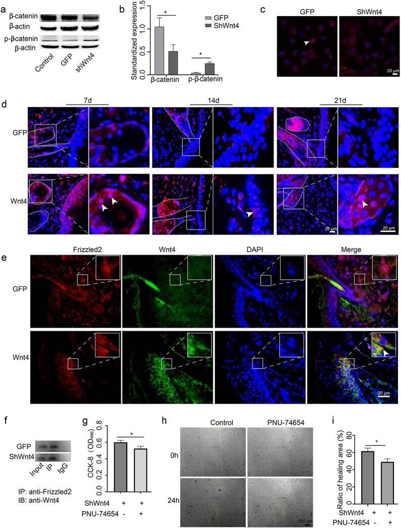
First, the expression of Wnt4 during burn wound healing was determined by immunofluorescence, Western blotting and qPCR. Then, Wnt4 was overexpressed in burn wounds. The healing rate and healing quality were analysed by gross photography and haematoxyline and eosin staining. Collagen secretion was observed by Masson staining. Vessel formation and fibroblast distribution were observed by immunostaining. Next, Wnt4 was knocked down in HaCaT cells. The migration of HaCaT cells was analysed by scratch healing and transwell assays. Next, the expression of β-catenin was detected by Western blotting and immunofluorescence. The binding of Frizzled2 and Wnt4 was detected by coimmunoprecipitation and immunofluorescence. Finally, the molecular changes induced by Wnt4 were analysed by RNA sequencing, immunofluorescence, Western blotting and qPCR in HaCaT cells and burn wound healing tissues.

RESULTS

The expression of Wnt4 was enhanced in burn wound skin. Overexpression of Wnt4 in burn wound skin increased the thickness of epidermis. Collagen secretion, vessel formation and fibroblast distribution were not significantly impacted by Wnt4 overexpression. When Wnt4 was knocked down in HaCaT cells, the ratio of proliferating cells decreased, the ratio of apoptotic cells increased and the ratio of the healing area in the scratch healing assay to the number of migrated cells in the transwell assay decreased. The nuclear translocation of β-catenin decreased in shRNA of Wnt4 mediated by lentivirus-treated HaCaT cells and increased in Wnt4-overexpressing epidermal cells. RNA-sequencing analysis revealed that cell junction-related signalling pathways were significantly impacted by Wnt4 knockdown. The expression of the cell junction proteins was decreased by the overexpression of Wnt4.

CONCLUSIONS

Wnt4 promoted the migration of epidermal cells. Overexpression of Wnt4 increased the thickness of the burn wound. A potential mechanism for this effect is that Wnt4 binds with Frizzled2 and increases the nuclear translocation of β-catenin, thus activating the canonical Wnt signalling pathway and decreasing the cell junction between epidermal cells.

摘要

背景

烧伤创面愈合是一个复杂的过程,Wnt配体在这个过程中的作用各不相同。Wnt4在烧伤创面愈合中的功能以及作用方式尚不清楚。在本研究中,我们旨在揭示Wnt4在烧伤创面愈合中的作用及潜在机制。

方法

首先,通过免疫荧光、蛋白质免疫印迹法和定量聚合酶链反应确定烧伤创面愈合过程中Wnt4的表达。然后,在烧伤创面过表达Wnt4。通过大体摄影以及苏木精-伊红染色分析愈合率和愈合质量。通过Masson染色观察胶原蛋白分泌情况。通过免疫染色观察血管形成和成纤维细胞分布。接下来,在HaCaT细胞中敲低Wnt4。通过划痕愈合实验和Transwell实验分析HaCaT细胞的迁移情况。随后,通过蛋白质免疫印迹法和免疫荧光检测β-连环蛋白的表达。通过免疫共沉淀和免疫荧光检测卷曲蛋白2(Frizzled2)与Wnt4的结合情况。最后,在HaCaT细胞和烧伤创面愈合组织中,通过RNA测序、免疫荧光、蛋白质免疫印迹法和定量聚合酶链反应分析Wnt4诱导的分子变化。

结果

烧伤创面皮肤中Wnt4的表达增强。烧伤创面皮肤中Wnt4的过表达增加了表皮厚度。Wnt4过表达对胶原蛋白分泌、血管形成和成纤维细胞分布没有显著影响。当在HaCaT细胞中敲低Wnt4时,增殖细胞比例降低,凋亡细胞比例增加,划痕愈合实验中的愈合面积与Transwell实验中迁移细胞数量的比值降低。慢病毒处理的HaCaT细胞中,Wnt4的短发夹RNA(shRNA)介导的β-连环蛋白核转位减少,而在Wnt4过表达的表皮细胞中增加。RNA测序分析表明,细胞连接相关信号通路受到Wnt4敲低的显著影响。Wnt4的过表达降低了细胞连接蛋白的表达。

结论

Wnt4促进表皮细胞迁移。Wnt4的过表达增加了烧伤创面的厚度。这种作用的潜在机制是Wnt4与Frizzled2结合并增加β-连环蛋白的核转位,从而激活经典Wnt信号通路并减少表皮细胞之间的细胞连接。

https://cdn.ncbi.nlm.nih.gov/pmc/blobs/97b8/10318205/1af8b3b4e58e/tkac053f9.jpg
https://cdn.ncbi.nlm.nih.gov/pmc/blobs/97b8/10318205/0e52c0bd0eab/tkac053f1.jpg
https://cdn.ncbi.nlm.nih.gov/pmc/blobs/97b8/10318205/3ed2bbbb2ad1/tkac053f2.jpg
https://cdn.ncbi.nlm.nih.gov/pmc/blobs/97b8/10318205/ff08ba66d2e0/tkac053f3.jpg
https://cdn.ncbi.nlm.nih.gov/pmc/blobs/97b8/10318205/f42774c3bf7d/tkac053f4.jpg
https://cdn.ncbi.nlm.nih.gov/pmc/blobs/97b8/10318205/f20e59d8076b/tkac053f5.jpg
https://cdn.ncbi.nlm.nih.gov/pmc/blobs/97b8/10318205/16b36084b95a/tkac053f6.jpg
https://cdn.ncbi.nlm.nih.gov/pmc/blobs/97b8/10318205/59238de73e72/tkac053f7.jpg
https://cdn.ncbi.nlm.nih.gov/pmc/blobs/97b8/10318205/8cc2af220f57/tkac053f8.jpg
https://cdn.ncbi.nlm.nih.gov/pmc/blobs/97b8/10318205/1af8b3b4e58e/tkac053f9.jpg
https://cdn.ncbi.nlm.nih.gov/pmc/blobs/97b8/10318205/0e52c0bd0eab/tkac053f1.jpg
https://cdn.ncbi.nlm.nih.gov/pmc/blobs/97b8/10318205/3ed2bbbb2ad1/tkac053f2.jpg
https://cdn.ncbi.nlm.nih.gov/pmc/blobs/97b8/10318205/ff08ba66d2e0/tkac053f3.jpg
https://cdn.ncbi.nlm.nih.gov/pmc/blobs/97b8/10318205/f42774c3bf7d/tkac053f4.jpg
https://cdn.ncbi.nlm.nih.gov/pmc/blobs/97b8/10318205/f20e59d8076b/tkac053f5.jpg
https://cdn.ncbi.nlm.nih.gov/pmc/blobs/97b8/10318205/16b36084b95a/tkac053f6.jpg
https://cdn.ncbi.nlm.nih.gov/pmc/blobs/97b8/10318205/59238de73e72/tkac053f7.jpg
https://cdn.ncbi.nlm.nih.gov/pmc/blobs/97b8/10318205/8cc2af220f57/tkac053f8.jpg
https://cdn.ncbi.nlm.nih.gov/pmc/blobs/97b8/10318205/1af8b3b4e58e/tkac053f9.jpg

相似文献

1
Wnt4 increases the thickness of the epidermis in burn wounds by activating canonical Wnt signalling and decreasing the cell junctions between epidermal cells.Wnt4通过激活经典Wnt信号通路并减少表皮细胞间的细胞连接,增加烧伤创面表皮的厚度。
Burns Trauma. 2023 Jul 3;11:tkac053. doi: 10.1093/burnst/tkac053. eCollection 2023.
2
HucMSC-Exosome Mediated-Wnt4 Signaling Is Required for Cutaneous Wound Healing.外泌体介导的 HucMSC-Wnt4 信号通路在皮肤创伤愈合中起关键作用。
Stem Cells. 2015 Jul;33(7):2158-68. doi: 10.1002/stem.1771. Epub 2015 May 13.
3
A frog peptide provides new strategies for the intervention against skin wound healing.一种青蛙肽为干预皮肤创伤愈合提供了新策略。
Cell Mol Biol Lett. 2023 Jul 28;28(1):61. doi: 10.1186/s11658-023-00468-3.
4
[Effects and mechanism of rat epidermal stem cells treated with exogenous vascular endothelial growth factor on healing of deep partial-thickness burn wounds in rats].外源性血管内皮生长因子处理的大鼠表皮干细胞对大鼠深Ⅱ度烧伤创面愈合的影响及机制
Zhonghua Shao Shang Za Zhi. 2020 Mar 20;36(3):195-203. doi: 10.3760/cma.j.cn501120-20191125-00441.
5
Human umbilical cord mesenchymal stem cell exosomes enhance angiogenesis through the Wnt4/β-catenin pathway.人脐带间充质干细胞外泌体通过Wnt4/β-连环蛋白通路促进血管生成。
Stem Cells Transl Med. 2015 May;4(5):513-22. doi: 10.5966/sctm.2014-0267. Epub 2015 Mar 30.
6
Downregulation of RUNX1-Activated Osteopontin Facilitates Burn Wound Healing by Activating the MAPK Pathways.RUNX1 激活的骨桥蛋白下调通过激活 MAPK 通路促进烧伤创面愈合。
J Burn Care Res. 2023 Nov 2;44(6):1371-1381. doi: 10.1093/jbcr/irad036.
7
Moist exposed burn ointment accelerates diabetes-related wound healing by promoting re-epithelialization.湿润暴露烧伤膏通过促进上皮再形成来加速糖尿病相关伤口的愈合。
Front Med (Lausanne). 2023 Jan 10;9:1042015. doi: 10.3389/fmed.2022.1042015. eCollection 2022.
8
WNT4 secreted by tumor tissues promotes tumor progression in colorectal cancer by activation of the Wnt/β-catenin signalling pathway.肿瘤组织分泌的WNT4通过激活Wnt/β-连环蛋白信号通路促进结直肠癌的肿瘤进展。
J Exp Clin Cancer Res. 2020 Nov 23;39(1):251. doi: 10.1186/s13046-020-01774-w.
9
Wnt and Notch signaling pathway involved in wound healing by targeting c-Myc and Hes1 separately.Wnt和Notch信号通路分别通过靶向c-Myc和Hes1参与伤口愈合。
Stem Cell Res Ther. 2015 Jun 16;6(1):120. doi: 10.1186/s13287-015-0103-4.
10
Alda-1, an Aldehyde Dehydrogenase 2 Agonist, Improves Cutaneous Wound Healing by Activating Epidermal Keratinocytes via Akt/GSK-3β/β-Catenin Pathway.Alda-1,一种醛脱氢酶 2 激动剂,通过激活 Akt/GSK-3β/β-连环蛋白通路来改善表皮角质形成细胞的皮肤伤口愈合。
Aesthetic Plast Surg. 2020 Jun;44(3):993-1005. doi: 10.1007/s00266-020-01614-4. Epub 2020 Jan 17.

本文引用的文献

1
Androgen receptor inhibits the hair follicle induction potential of dermal papilla cells by binding with Tcf4 at the A574 binding site.雄激素受体通过在A574结合位点与Tcf4结合来抑制毛乳头细胞的毛囊诱导潜能。
Genes Dis. 2022 May 7;10(1):51-54. doi: 10.1016/j.gendis.2022.04.015. eCollection 2023 Jan.
2
Skin cell-derived extracellular vesicles: a promising therapeutic strategy for cutaneous injury.皮肤细胞衍生的细胞外囊泡:一种有前景的皮肤损伤治疗策略。
Burns Trauma. 2022 Oct 18;10:tkac037. doi: 10.1093/burnst/tkac037. eCollection 2022.
3
[Research advances on the role and mechanism of epidermal stem cells in skin wound repair].
表皮干细胞在皮肤创伤修复中的作用及机制研究进展
Zhonghua Shao Shang Yu Chuang Mian Xiu Fu Za Zhi. 2022 Sep 20;38(9):854-858. doi: 10.3760/cma.j.cn501120-20211109-00382.
4
Knockout of integrin β1 in induced pluripotent stem cells accelerates skin-wound healing by promoting cell migration in extracellular matrix.诱导多能干细胞中整合素 β1 的敲除通过促进细胞在细胞外基质中的迁移加速皮肤伤口愈合。
Stem Cell Res Ther. 2022 Jul 30;13(1):389. doi: 10.1186/s13287-022-03085-7.
5
Vanillin Derivatives Reverse -Induced Proliferation and Migration of Colorectal Cancer Through E-Cadherin/β-Catenin Pathway.香草醛衍生物通过E-钙黏蛋白/β-连环蛋白通路逆转诱导的结直肠癌增殖和迁移。
Front Pharmacol. 2022 Mar 4;13:841918. doi: 10.3389/fphar.2022.841918. eCollection 2022.
6
CircRNA_Maml2 promotes the proliferation and migration of intestinal epithelial cells after severe burns by regulating the miR-93-3p/FZD7/Wnt/β-catenin pathway.环状RNA_Maml2通过调控miR-93-3p/FZD7/ Wnt/β-连环蛋白信号通路促进严重烧伤后肠上皮细胞的增殖和迁移。
Burns Trauma. 2022 Mar 7;10:tkac009. doi: 10.1093/burnst/tkac009. eCollection 2022.
7
Tethering Piezo channels to the actin cytoskeleton for mechanogating via the cadherin-β-catenin mechanotransduction complex.通过钙黏蛋白-β-连环蛋白机械转导复合物将压电通道与肌动球蛋白细胞骨架连接起来进行机械门控。
Cell Rep. 2022 Feb 8;38(6):110342. doi: 10.1016/j.celrep.2022.110342.
8
ROS Promote Hypoxia-Induced Keratinocyte Epithelial-Mesenchymal Transition by Inducing SOX2 Expression and Subsequent Activation of Wnt/-Catenin.活性氧簇通过诱导 SOX2 表达及随后激活 Wnt/-连环蛋白促进低氧诱导的角质形成细胞上皮间质转化。
Oxid Med Cell Longev. 2022 Jan 6;2022:1084006. doi: 10.1155/2022/1084006. eCollection 2022.
9
Effects of amniotic fluid on human keratinocyte gene expression: Implications for wound healing.羊水对人角质形成细胞基因表达的影响:对伤口愈合的启示。
Exp Dermatol. 2022 May;31(5):764-774. doi: 10.1111/exd.14515. Epub 2022 Jan 15.
10
Analysis of the predictors of hypertrophic scarring pain and neuropathic pain after burn.烧伤后肥厚性瘢痕疼痛和神经性疼痛的预测因素分析
Burns. 2022 Sep;48(6):1425-1434. doi: 10.1016/j.burns.2021.08.007. Epub 2021 Aug 15.