Suppr超能文献

羟基红花黄色素 A 通过调控 miR-429/SLC7A11 抑制糖尿病动脉粥样硬化小鼠内皮细胞铁死亡

Hydroxysafflor yellow A inhibits endothelial cell ferroptosis in diabetic atherosclerosis mice by regulating miR-429/SLC7A11.

机构信息

Department of Vascular Surgery, Suzhou TCM Hospital Affiliated to Nanjing University of Chinese Medicine, Suzhou, P. R. China.

出版信息

Pharm Biol. 2023 Dec;61(1):404-415. doi: 10.1080/13880209.2023.2225543.

Abstract

CONTEXT

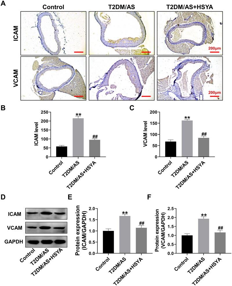
Ferroptosis may play an essential role in lipid peroxidation and endothelial dysfunction of aortic endothelial cells (ECs) in type 2 diabetes mellitus (T2DM) with atherosclerosis (AS). Hydroxysafflor yellow A (HSYA) has shown substantial antioxidant stress and anti-ferroptosis.

OBJECTIVE

This study confirms whether HSYA improves symptoms in a mouse model of T2DM/AS and elucidates the underlying mechanisms.

MATERIALS AND METHODS

ApoE mice were fed with high fat combined with 30 mg/kg streptozotocin to establish a T2DM/AS model. Then mice were treated with intraperitoneal injections of 2.25 mg/kg HSYA for 12 weeks. Human Umbilical Vein Endothelial cells (HUVEC) induced by 33.3 mM d-glucose +100 μg/mL ox-LDL were used to construct a high lipid and high glucose cell model treated with 25 μM HSYA. The changes in oxidative stress- and ferroptosis-related markers were detected, and the regulatory effect of HSYA on the miR-429/SLC7A11 was also verified. Normal ApoE mice or HUVEC cells were used as the control group.

RESULTS

HSYA effectively reduced atherosclerotic plaque formation in the T2DM/AS mouse model and inhibited HUVEC ferroptosis, such as upregulating GSH-Px, SLC7A11 and GPX4, but inhibited ACSL4. Furthermore, HSYA also downregulated the expression of miR-429, which further regulated SLC7A11 expression. After miR-429 mimic or SLC7A11 siRNA transfection in the HUVEC, the antioxidative stress and anti-ferroptosis effects of HSYA were significantly abolished.

CONCLUSIONS

HSYA is expected to become an important health drug to prevent the occurrence and development of T2DM/AS.

摘要

背景

铁死亡可能在 2 型糖尿病伴动脉粥样硬化(T2DM/AS)患者的主动脉内皮细胞(ECs)脂质过氧化和内皮功能障碍中发挥重要作用。羟基红花黄色素 A(HSYA)具有显著的抗氧化应激和抗铁死亡作用。

目的

本研究旨在证实 HSYA 是否改善 T2DM/AS 小鼠模型的症状,并阐明其潜在机制。

材料和方法

用高脂饲料喂养载脂蛋白 E(ApoE)小鼠,同时腹腔注射 30mg/kg 链脲佐菌素建立 T2DM/AS 模型。然后,用 2.25mg/kg HSYA 进行 12 周的腹腔注射治疗。用 33.3mmol/L D-葡萄糖+100μg/mL 氧化型低密度脂蛋白(ox-LDL)诱导人脐静脉内皮细胞(HUVEC)构建高糖高脂细胞模型,并用 25μM HSYA 处理。检测氧化应激和铁死亡相关标志物的变化,并验证 HSYA 对 miR-429/SLC7A11 的调控作用。正常 ApoE 小鼠或 HUVEC 细胞作为对照组。

结果

HSYA 有效减少了 T2DM/AS 小鼠模型中的动脉粥样硬化斑块形成,并抑制了 HUVEC 的铁死亡,如上调 GSH-Px、SLC7A11 和 GPX4,但抑制了 ACSL4。此外,HSYA 还下调了 miR-429 的表达,进一步调节了 SLC7A11 的表达。在 HUVEC 中转染 miR-429 模拟物或 SLC7A11 siRNA 后,HSYA 的抗氧化应激和抗铁死亡作用明显被废除。

结论

HSYA 有望成为预防 T2DM/AS 发生和发展的重要保健药物。

https://cdn.ncbi.nlm.nih.gov/pmc/blobs/2ac5/10327525/99ac2b0e177b/IPHB_A_2225543_F0001_C.jpg

文献AI研究员

20分钟写一篇综述,助力文献阅读效率提升50倍。

立即体验

用中文搜PubMed

大模型驱动的PubMed中文搜索引擎

马上搜索

文档翻译

学术文献翻译模型,支持多种主流文档格式。

立即体验