• 文献检索
  • 文档翻译
  • 深度研究
  • 学术资讯
  • Suppr Zotero 插件Zotero 插件
  • 邀请有礼
  • 套餐&价格
  • 历史记录
应用&插件
Suppr Zotero 插件Zotero 插件浏览器插件Mac 客户端Windows 客户端微信小程序
定价
高级版会员购买积分包购买API积分包
服务
文献检索文档翻译深度研究API 文档MCP 服务
关于我们
关于 Suppr公司介绍联系我们用户协议隐私条款
关注我们

Suppr 超能文献

核心技术专利:CN118964589B侵权必究
粤ICP备2023148730 号-1Suppr @ 2026

文献检索

告别复杂PubMed语法,用中文像聊天一样搜索,搜遍4000万医学文献。AI智能推荐,让科研检索更轻松。

立即免费搜索

文件翻译

保留排版,准确专业,支持PDF/Word/PPT等文件格式,支持 12+语言互译。

免费翻译文档

深度研究

AI帮你快速写综述,25分钟生成高质量综述,智能提取关键信息,辅助科研写作。

立即免费体验

神经节神经瘤的影像学:文献综述及一名青春期女孩罕见的囊性表现病例

Imaging of Ganglioneuroma: A Literature Review and a Rare Case of Cystic Presentation in an Adolescent Girl.

作者信息

Pacella Giulia, Brunese Maria Chiara, Donnarumma Federico, Barrassi Michele, Bellifemine Fabio, Sciaudone Guido, Vallone Gianfranco, Guerra Germano, Sallustio Giuseppina

机构信息

Department of Medicine and Health Sciences "Vincenzo Tiberio", University of Molise, 86100 Campobasso, Italy.

Fondazione Potito, 86100 Campobasso, Italy.

出版信息

Diagnostics (Basel). 2023 Jun 27;13(13):2190. doi: 10.3390/diagnostics13132190.

DOI:10.3390/diagnostics13132190
PMID:37443583
原文链接:https://pmc.ncbi.nlm.nih.gov/articles/PMC10341194/
Abstract

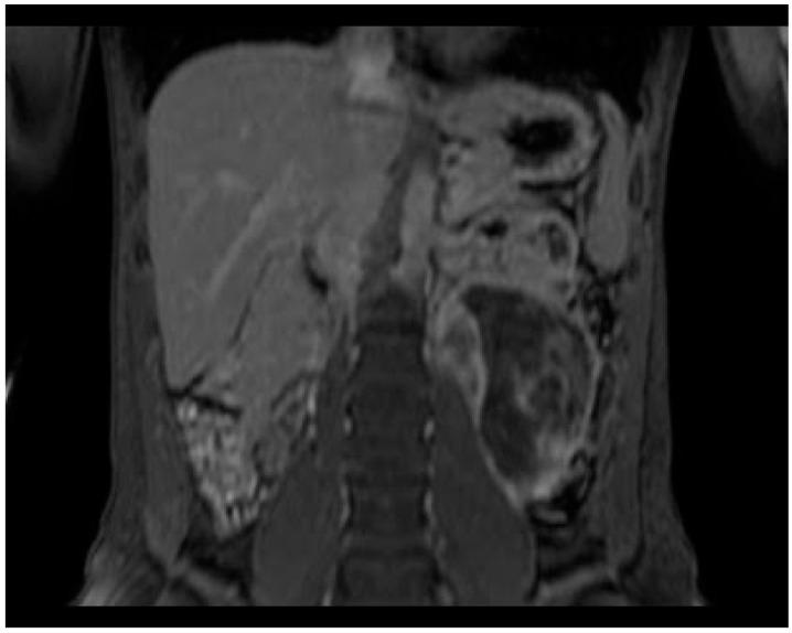
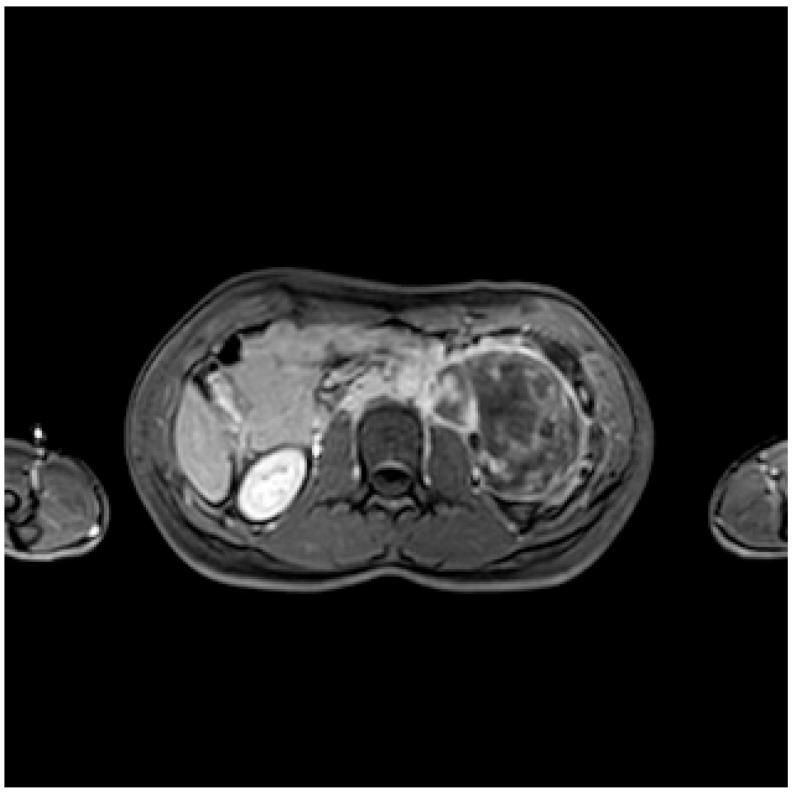
Retroperitoneal ganglioneuroma is a rare neuroectodermal tumor with a benign nature. We performed a literature review among 338 studies. We included 9 studies, whose patients underwent CT and/or MRI to characterize a retroperitoneal mass, which was confirmed to be a ganglioneuroma by histologic exam. The most common features of ganglioneuroma are considered to be a solid nature, oval/lobulated shape, and regular margins. The ganglioneuroma shows a progressive late enhancement on CT. On MRI it appears as a hypointense mass in T1W images and with a heterogeneous high-intensity in T2W. The MRI-"whorled sign" is described in the reviewed studies in about 80% of patients. The MRI characterization of a primitive retroperitoneal cystic mass should not exclude a cystic evolution from solid masses, and in the case of paravertebral location, the differential diagnosis algorithm should include the hypothesis of ganglioneuroma. In our case, the MRI features could have oriented towards a neurogenic nature, however, the predominantly cystic-fluid aspect and the considerable longitudinal non-invasive extension between retroperitoneal structures, misled us to a lymphatic malformation. In the literature, it is reported that the cystic presentation can be due to a degeneration of a well-known solid form while maintaining a benign character: the distinguishing malignity character is the revelation of immature cells on histological examination.

摘要

腹膜后神经节细胞瘤是一种罕见的良性神经外胚层肿瘤。我们对338项研究进行了文献综述。我们纳入了9项研究,这些研究中的患者接受了CT和/或MRI检查以对腹膜后肿块进行特征性描述,该肿块经组织学检查证实为神经节细胞瘤。神经节细胞瘤最常见的特征被认为是实性、椭圆形/分叶状以及边界规则。神经节细胞瘤在CT上表现为渐进性延迟强化。在MRI上,它在T1加权图像上表现为低信号肿块,在T2加权图像上表现为不均匀高信号。在综述的研究中,约80%的患者描述有MRI“漩涡征”。原始腹膜后囊性肿块的MRI特征不应排除实性肿块的囊性演变,并且在椎旁位置的情况下,鉴别诊断算法应包括神经节细胞瘤的可能性。在我们的病例中,MRI特征可能提示为神经源性性质,然而,主要为囊液成分以及腹膜后结构之间相当大的纵向无侵袭性延伸,使我们误诊为淋巴管畸形。在文献中,据报道囊性表现可能是由于已知实性形式的退变同时保持良性特征:区分恶性特征是组织学检查中出现未成熟细胞。

https://cdn.ncbi.nlm.nih.gov/pmc/blobs/41bd/10341194/dab0af032ecf/diagnostics-13-02190-g005.jpg
https://cdn.ncbi.nlm.nih.gov/pmc/blobs/41bd/10341194/8113c56ce4c2/diagnostics-13-02190-g001.jpg
https://cdn.ncbi.nlm.nih.gov/pmc/blobs/41bd/10341194/34e6f186f602/diagnostics-13-02190-g002.jpg
https://cdn.ncbi.nlm.nih.gov/pmc/blobs/41bd/10341194/53837df1682d/diagnostics-13-02190-g003.jpg
https://cdn.ncbi.nlm.nih.gov/pmc/blobs/41bd/10341194/f195f695dde4/diagnostics-13-02190-g004.jpg
https://cdn.ncbi.nlm.nih.gov/pmc/blobs/41bd/10341194/dab0af032ecf/diagnostics-13-02190-g005.jpg
https://cdn.ncbi.nlm.nih.gov/pmc/blobs/41bd/10341194/8113c56ce4c2/diagnostics-13-02190-g001.jpg
https://cdn.ncbi.nlm.nih.gov/pmc/blobs/41bd/10341194/34e6f186f602/diagnostics-13-02190-g002.jpg
https://cdn.ncbi.nlm.nih.gov/pmc/blobs/41bd/10341194/53837df1682d/diagnostics-13-02190-g003.jpg
https://cdn.ncbi.nlm.nih.gov/pmc/blobs/41bd/10341194/f195f695dde4/diagnostics-13-02190-g004.jpg
https://cdn.ncbi.nlm.nih.gov/pmc/blobs/41bd/10341194/dab0af032ecf/diagnostics-13-02190-g005.jpg

相似文献

1
Imaging of Ganglioneuroma: A Literature Review and a Rare Case of Cystic Presentation in an Adolescent Girl.神经节神经瘤的影像学:文献综述及一名青春期女孩罕见的囊性表现病例
Diagnostics (Basel). 2023 Jun 27;13(13):2190. doi: 10.3390/diagnostics13132190.
2
Imaging of retroperitoneal ganglioneuroma.腹膜后神经节细胞瘤的影像学表现
Eur Radiol. 2001;11(6):940-5. doi: 10.1007/s003300000698.
3
Adrenal ganglioneuroma. A neoplasia to exclude in patients with adrenal incidentaloma.肾上腺神经节细胞瘤。肾上腺偶发瘤患者需排除的一种肿瘤。
Acta Chir Belg. 2007 Nov-Dec;107(6):670-4. doi: 10.1080/00015458.2007.11680144.
4
Imaging diagnosis of retroperitoneal ganglioneuroma in childhood.儿童腹膜后神经节细胞瘤的影像学诊断
Pediatr Radiol. 2001 Feb;31(2):106-10. doi: 10.1007/s002470000381.
5
Retroperitoneal ganglioneuroma presenting as an obstructive pyelonephritis: a case report.表现为梗阻性肾盂肾炎的腹膜后神经节细胞瘤:一例报告
J Surg Case Rep. 2021 Apr 24;2021(4):rjab104. doi: 10.1093/jscr/rjab104. eCollection 2021 Apr.
6
CT and MRI findings of thoracic ganglioneuroma.胸部神经节细胞瘤的 CT 和 MRI 表现。
Br J Radiol. 2012 Aug;85(1016):e365-72. doi: 10.1259/bjr/53395088. Epub 2012 May 9.
7
Retroperitoneal Ganglioneuroma (GN): Case report in 14 years old boy.腹膜后神经节细胞瘤(GN):一名14岁男孩的病例报告。
Int J Surg Case Rep. 2019;60:130-132. doi: 10.1016/j.ijscr.2019.06.011. Epub 2019 Jun 12.
8
Total laparoscopic excision of retroperitoneal ganglioneuroma: A case report.腹腔镜完全切除腹膜后神经节细胞瘤:病例报告
Int J Surg Case Rep. 2021 Jun;83:106053. doi: 10.1016/j.ijscr.2021.106053. Epub 2021 May 29.
9
Composite paraganglioma-ganglioneuroma in the retroperitoneum.腹膜后复合副神经节瘤-节细胞神经瘤。
World J Surg Oncol. 2009 Nov 5;7:81. doi: 10.1186/1477-7819-7-81.
10
Robotic and standard surgical intervention as adjunct therapies for retroperitoneal ganglioneuroma resection: a case report.机器人和标准手术干预作为腹膜后神经节瘤切除的辅助治疗:病例报告。
BMC Surg. 2021 Mar 19;21(1):143. doi: 10.1186/s12893-021-01146-x.

引用本文的文献

1
Rare Presentation of Cervical Ganglioneuroma: A Case Report.颈部神经节神经瘤的罕见表现:一例报告
Cureus. 2025 Jul 21;17(7):e88427. doi: 10.7759/cureus.88427. eCollection 2025 Jul.
2
A rare presentation of a sacral mass: Ganglioneuroma.骶骨肿物的罕见表现:神经节神经瘤。
Radiol Case Rep. 2025 Jun 9;20(9):4252-4256. doi: 10.1016/j.radcr.2025.05.055. eCollection 2025 Sep.
3
Adolescent thoracic scoliosis due to giant ganglioneuroma: a two-case report and literature review.巨大神经节神经瘤所致青少年胸段脊柱侧弯:两例报告及文献复习

本文引用的文献

1
Identification and validation of radiomic features from computed tomography for preoperative classification of neuroblastic tumors in children.从 CT 中识别和验证放射组学特征,用于儿童神经母细胞瘤的术前分类。
BMC Pediatr. 2023 May 24;23(1):262. doi: 10.1186/s12887-023-04057-3.
2
Whole-tumor radiomics analysis of T2-weighted imaging in differentiating neuroblastoma from ganglioneuroblastoma/ganglioneuroma in children: an exploratory study.儿童T2加权成像全肿瘤放射组学分析在鉴别神经母细胞瘤与神经节神经母细胞瘤/神经节神经瘤中的应用:一项探索性研究
Abdom Radiol (NY). 2023 Apr;48(4):1372-1382. doi: 10.1007/s00261-023-03862-9. Epub 2023 Mar 9.
3
Nagoya J Med Sci. 2024 Nov;86(4):711-719. doi: 10.18999/nagjms.86.4.711.
Augmented Reality-Assisted Resection of a Large Presacral Ganglioneuroma: 2-Dimensional Operative Video.
增强现实辅助下骶前大型神经节细胞瘤切除术:二维手术视频
Oper Neurosurg. 2023 Apr 1;24(4):e284-e285. doi: 10.1227/ons.0000000000000542. Epub 2022 Dec 12.
4
Demystifying neuroblastoma malignancy through fractal dimension, entropy, and lacunarity.通过分形维数、熵和空隙度来揭开神经母细胞瘤恶性程度的神秘面纱。
Tumori. 2023 Aug;109(4):370-378. doi: 10.1177/03008916221146208. Epub 2023 Jan 16.
5
Prognostic factors in patients receiving surgery and radiation therapy for retroperitoneal sarcoma: A machine-learning analysis.接受手术和放射治疗的腹膜后肉瘤患者的预后因素:机器学习分析。
Surgery. 2023 Mar;173(3):640-644. doi: 10.1016/j.surg.2022.08.037. Epub 2022 Nov 8.
6
Radiomic Features From Diffusion-Weighted MRI of Retroperitoneal Soft-Tissue Sarcomas Are Repeatable and Exhibit Change After Radiotherapy.腹膜后软组织肉瘤扩散加权磁共振成像的影像组学特征具有可重复性且在放疗后会发生变化。
Front Oncol. 2022 Jul 18;12:899180. doi: 10.3389/fonc.2022.899180. eCollection 2022.
7
Retrospective Analysis of Retroperitoneal-Abdominal-Pelvic Ganglioneuromas: An International Study by the Transatlantic Australasian Retroperitoneal Sarcoma Working Group (TARPSWG).腹膜后-腹腔-盆腔神经节瘤的回顾性分析:跨大西洋澳大拉西亚腹膜后肉瘤工作组(TARPSWG)的国际研究。
Ann Surg. 2023 Aug 1;278(2):267-273. doi: 10.1097/SLA.0000000000005625. Epub 2022 Jul 22.
8
Early Diagnosis of Liver Metastases from Colorectal Cancer through CT Radiomics and Formal Methods: A Pilot Study.通过CT影像组学和形式方法对结直肠癌肝转移进行早期诊断:一项初步研究
J Clin Med. 2021 Dec 22;11(1):31. doi: 10.3390/jcm11010031.
9
Retroperitoneal ganglioneuroma with nodal involvement in an adult patient with human immunodeficiency virus: a case report and review of the literature.成人人类免疫缺陷病毒感染患者伴腹膜后节细胞神经瘤伴淋巴结累及:病例报告及文献复习。
J Med Case Rep. 2021 Dec 28;15(1):634. doi: 10.1186/s13256-021-03134-4.
10
[Computed tomography-based radiomics for differential of retroperitoneal neuroblastoma and ganglioneuroblastoma in children].基于计算机断层扫描的儿童腹膜后神经母细胞瘤与神经节神经母细胞瘤鉴别诊断的影像组学研究
Nan Fang Yi Ke Da Xue Xue Bao. 2021 Oct 20;41(10):1569-1576. doi: 10.12122/j.issn.1673-4254.2021.10.17.