• 文献检索
  • 文档翻译
  • 深度研究
  • 学术资讯
  • Suppr Zotero 插件Zotero 插件
  • 邀请有礼
  • 套餐&价格
  • 历史记录
应用&插件
Suppr Zotero 插件Zotero 插件浏览器插件Mac 客户端Windows 客户端微信小程序
定价
高级版会员购买积分包购买API积分包
服务
文献检索文档翻译深度研究API 文档MCP 服务
关于我们
关于 Suppr公司介绍联系我们用户协议隐私条款
关注我们

Suppr 超能文献

核心技术专利:CN118964589B侵权必究
粤ICP备2023148730 号-1Suppr @ 2026

文献检索

告别复杂PubMed语法,用中文像聊天一样搜索,搜遍4000万医学文献。AI智能推荐,让科研检索更轻松。

立即免费搜索

文件翻译

保留排版,准确专业,支持PDF/Word/PPT等文件格式,支持 12+语言互译。

免费翻译文档

深度研究

AI帮你快速写综述,25分钟生成高质量综述,智能提取关键信息,辅助科研写作。

立即免费体验

甲状腺功能正常的患者诊断出胎儿甲状腺肿:胎儿甲状腺疾病的一种罕见表现

Fetal Goiter Diagnosed in a Euthyroid Patient: An Unusual Presentation of the Fetal Thyroid Disease.

作者信息

Parra Meza Carolina, Africano León Martha L, Quintero Reyes Natalia, Suarez Mantilla Silvia N, Alvarez Orduz Claudia Patricia

机构信息

Gynecology and Obstetrics, Hospital Universitario de Santander, Bucaramanga, COL.

Maternal and Fetal Medicine, Universidad Industrial de Santander, Bucaramanga, COL.

出版信息

Cureus. 2023 Jul 6;15(7):e41483. doi: 10.7759/cureus.41483. eCollection 2023 Jul.

DOI:10.7759/cureus.41483
PMID:37551241
原文链接:https://pmc.ncbi.nlm.nih.gov/articles/PMC10404307/
Abstract

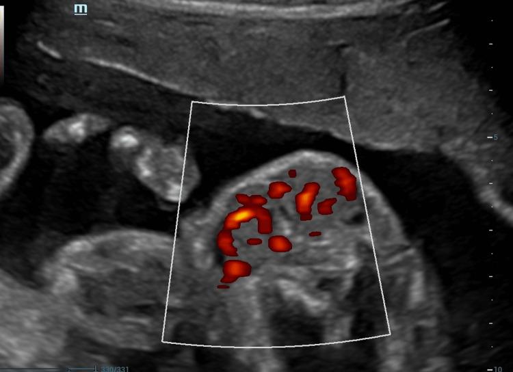
Fetal thyroid disease is rare, and the disease is mostly contextualized in the setting of a treated maternal thyroid disease. The presentation of thyroid disease in the fetus of a euthyroid mother is unusual. This paper presents the case of a 21-week pregnant woman with an incidental finding from a detailed anatomy ultrasound and evaluates available diagnostic and therapeutic management options. There is no consensus with sufficient evidence given the unusual presentation of this type of pathology. In most cases, the evidence is in the etiology of a mother with previous thyroid pathology that modifies the fetal outcome. Hence, it is important to describe cases to accumulate and, at some point, sufficient evidence of different treatments, with the intention of improving the quality of the recommendations. The management of fetal euthyroid goiter is a complex challenge. Most specialists manage the information on a case-by-case basis, with the same general goals as in patients with other thyroid pathologies.

摘要

胎儿甲状腺疾病较为罕见,且该疾病大多与已接受治疗的母体甲状腺疾病相关。甲状腺功能正常的母亲所怀胎儿出现甲状腺疾病的情况并不常见。本文介绍了一名21周孕妇的病例,该孕妇在详细的解剖超声检查中意外发现相关情况,并评估了现有的诊断和治疗管理方案。鉴于这类病理情况的不寻常表现,目前尚无足够证据支持的共识。在大多数情况下,证据存在于有既往甲状腺病理情况的母亲的病因中,这会改变胎儿的结局。因此,描述病例以积累不同治疗方法的充分证据很重要,目的是提高建议的质量。胎儿甲状腺功能正常的甲状腺肿的管理是一项复杂的挑战。大多数专家逐案处理信息,其总体目标与其他甲状腺疾病患者相同。

https://cdn.ncbi.nlm.nih.gov/pmc/blobs/753c/10404307/f30fa501d64c/cureus-0015-00000041483-i05.jpg
https://cdn.ncbi.nlm.nih.gov/pmc/blobs/753c/10404307/fa7ddba1856a/cureus-0015-00000041483-i01.jpg
https://cdn.ncbi.nlm.nih.gov/pmc/blobs/753c/10404307/1f024b3d1e7f/cureus-0015-00000041483-i02.jpg
https://cdn.ncbi.nlm.nih.gov/pmc/blobs/753c/10404307/92c18d882923/cureus-0015-00000041483-i03.jpg
https://cdn.ncbi.nlm.nih.gov/pmc/blobs/753c/10404307/3cf954abaf5e/cureus-0015-00000041483-i04.jpg
https://cdn.ncbi.nlm.nih.gov/pmc/blobs/753c/10404307/f30fa501d64c/cureus-0015-00000041483-i05.jpg
https://cdn.ncbi.nlm.nih.gov/pmc/blobs/753c/10404307/fa7ddba1856a/cureus-0015-00000041483-i01.jpg
https://cdn.ncbi.nlm.nih.gov/pmc/blobs/753c/10404307/1f024b3d1e7f/cureus-0015-00000041483-i02.jpg
https://cdn.ncbi.nlm.nih.gov/pmc/blobs/753c/10404307/92c18d882923/cureus-0015-00000041483-i03.jpg
https://cdn.ncbi.nlm.nih.gov/pmc/blobs/753c/10404307/3cf954abaf5e/cureus-0015-00000041483-i04.jpg
https://cdn.ncbi.nlm.nih.gov/pmc/blobs/753c/10404307/f30fa501d64c/cureus-0015-00000041483-i05.jpg

相似文献

1
Fetal Goiter Diagnosed in a Euthyroid Patient: An Unusual Presentation of the Fetal Thyroid Disease.甲状腺功能正常的患者诊断出胎儿甲状腺肿:胎儿甲状腺疾病的一种罕见表现
Cureus. 2023 Jul 6;15(7):e41483. doi: 10.7759/cureus.41483. eCollection 2023 Jul.
2
Prenatal diagnosis of thyroid hormone resistance.甲状腺激素抵抗的产前诊断
J Clin Endocrinol Metab. 1999 Feb;84(2):405-10. doi: 10.1210/jcem.84.2.5479.
3
Antenatal diagnosis and treatment of hypothyroid fetal goiter in an euthyroid mother: a case report and review of literature.甲状腺功能正常母亲的胎儿甲状腺肿的产前诊断与治疗:一例病例报告及文献复习
J Matern Fetal Neonatal Med. 2015;28(18):2214-20. doi: 10.3109/14767058.2014.983062. Epub 2014 Dec 8.
4
Fetal hydrops, associated with maternal propylthiouracil exposure, reversed by intrauterine therapy.与母亲接触丙硫氧嘧啶相关的胎儿水肿,经宫内治疗后逆转。
Ultrasound Obstet Gynecol. 2004 Feb;23(2):198-201. doi: 10.1002/uog.977.
5
Fetal goiter conservatively monitored during the prenatal period associated with maternal and neonatal euthyroid status.胎儿甲状腺肿在孕期进行保守监测,与母体及新生儿甲状腺功能正常状态相关。
Obstet Gynecol Sci. 2016 Jan;59(1):54-7. doi: 10.5468/ogs.2016.59.1.54. Epub 2016 Jan 15.
6
Intrauterine diagnosis and management of congenital goitrous hypothyroidism.先天性甲状腺肿性甲状腺功能减退症的宫内诊断与管理
Ultrasound Obstet Gynecol. 2002 May;19(5):501-5. doi: 10.1046/j.1469-0705.2002.00717.x.
7
Serial in utero ultrasonographic measurements of the fetal thyroid: a new complementary tool in the management of maternal hyperthyroidism in pregnancy.胎儿甲状腺的子宫内超声连续测量:妊娠合并母体甲状腺功能亢进管理中的一种新的辅助工具。
Prenat Diagn. 2003 Sep;23(9):740-2. doi: 10.1002/pd.685.
8
Prenatal diagnosis and early in utero management of fetal dyshormonogenetic goiter.胎儿激素生成障碍性甲状腺肿的产前诊断及宫内早期处理
Eur J Obstet Gynecol Reprod Biol. 2001 Feb;94(2):309-14. doi: 10.1016/s0301-2115(00)00346-8.
9
Two cases of fetal goiter.两例胎儿甲状腺肿。
Indian J Endocrinol Metab. 2012 Dec;16(Suppl 2):S358-60. doi: 10.4103/2230-8210.104092.
10
Fetal euthyroid goiter.胎儿甲状腺肿。
Indian J Pediatr. 2009 Dec;76(12):1259-60. doi: 10.1007/s12098-009-0331-7. Epub 2010 Jan 28.

本文引用的文献

1
Thyroid Function During the Fetal and Neonatal Periods.胎儿和新生儿期的甲状腺功能。
Neoreviews. 2020 Jan;21(1):e30-e36. doi: 10.1542/neo.21-1-e30.
2
Maternal and Fetal Thyroid Physiology.母婴甲状腺生理学
Clin Obstet Gynecol. 2019 Jun;62(2):302-307. doi: 10.1097/GRF.0000000000000439.
3
Prenatal Diagnosis and Management of a Fetal Goiter Hypothyroidism due to Dyshormonogenesis.因激素合成障碍导致的胎儿甲状腺肿性甲状腺功能减退症的产前诊断与管理
Case Rep Endocrinol. 2018 Dec 19;2018:9564737. doi: 10.1155/2018/9564737. eCollection 2018.
4
Fetal thyroid disorders: Pathophysiology, diagnosis and therapeutic approaches.胎儿甲状腺疾病:病理生理学、诊断及治疗方法
J Gynecol Obstet Hum Reprod. 2019 Apr;48(4):231-233. doi: 10.1016/j.jogoh.2019.01.001. Epub 2019 Jan 8.
5
Management of fetal goiters: 6-year retrospective observational study in three prenatal diagnosis and treatment centers of the Pays De Loire Perinatal Network.胎儿甲状腺肿的管理:卢瓦尔河地区围产期网络三个产前诊断与治疗中心的6年回顾性观察研究
J Matern Fetal Neonatal Med. 2020 Aug;33(15):2561-2569. doi: 10.1080/14767058.2018.1555803. Epub 2019 Jan 8.
6
Intrauterine death following intraamniotic triiodothyronine and thyroxine therapy for fetal goitrous hypothyroidism associated with polyhydramnios and caused by a thyroglobulin mutation.羊膜腔内注射三碘甲状腺原氨酸和甲状腺素治疗胎儿甲状腺肿性甲状腺功能减退症(与羊水过多相关且由甲状腺球蛋白突变引起)后发生的宫内死亡
Endocrinol Diabetes Metab Case Rep. 2017 Jun 7;2017. doi: 10.1530/EDM-17-0040. eCollection 2017.
7
Fetal neonatal hyperthyroidism: diagnostic and therapeutic approachment.胎儿及新生儿甲状腺功能亢进症:诊断与治疗方法
Turk Pediatri Ars. 2017 Mar 1;52(1):1-9. doi: 10.5152/TurkPediatriArs.2017.2513. eCollection 2017 Mar.
8
In utero treatment of fetal goitrous hypothyroidism in a euthyroid mother: a case report.甲状腺功能正常的母亲子宫内胎儿甲状腺肿性甲状腺功能减退症的治疗:病例报告
J Clin Ultrasound. 2012 Nov-Dec;40(9):603-6. doi: 10.1002/jcu.21921. Epub 2012 Apr 14.
9
Fetal thyroid in two-dimensional ultrasonography: nomograms according to gestational age and biparietal diameter.二维超声检查中的胎儿甲状腺:根据孕周和双顶径绘制的列线图
Eur J Obstet Gynecol Reprod Biol. 2012 Jun;162(2):131-8. doi: 10.1016/j.ejogrb.2012.02.013. Epub 2012 Mar 23.
10
Use of ultrasound to distinguish between fetal hyperthyroidism and hypothyroidism on discovery of a goiter.利用超声在发现甲状腺肿时鉴别胎儿甲状腺功能亢进症和甲状腺功能减退症。
Ultrasound Obstet Gynecol. 2009 Apr;33(4):412-20. doi: 10.1002/uog.6315.