Suppr超能文献

大鼠肺中不锈钢焊接烟尘的溶解:一项X射线微量分析研究。

Dissolution of stainless steel welding fumes in the rat lung: an x ray microanalytical study.

作者信息

Anttila S

出版信息

Br J Ind Med. 1986 Sep;43(9):592-6. doi: 10.1136/oem.43.9.592.

Abstract

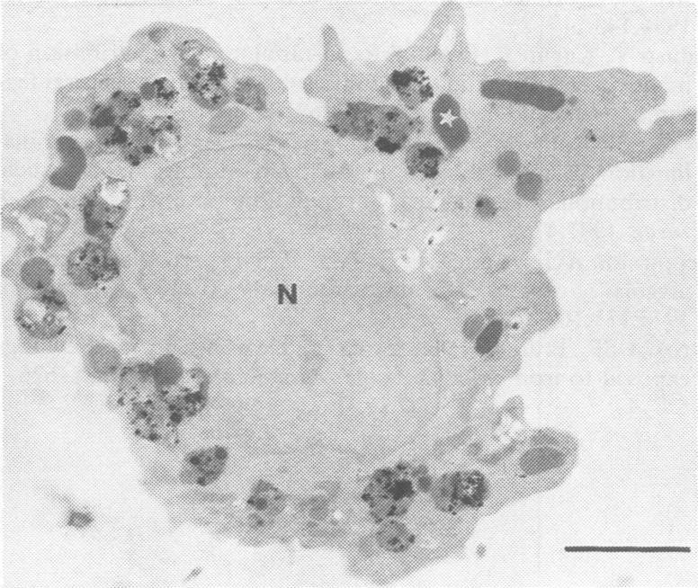
The dissolution of stainless steel welding fumes produced by manual metal arc (MMA) and metal inert gas (MIG) techniques was studied by transmission electron microscopy and quantitative x ray microanalysis in the lungs of rats after inhalation exposure. Rats exposed to stainless steel fumes generated by MMA were found to have two particle populations of different behaviour in their lung tissue. The particles of the principal population (size 100-250 nm) dissolved in both alveolar macrophages and type 1 epithelial cells in about two months. Fast and slowly dissolving components of chromium, manganese, and iron were detected within these particles; they obviously represent different chemical compounds. The particles of the minor population (size 5-100 nm) showed no signs of dissolution during three months follow up. Rats exposed to stainless steel fumes generated by MIG had only one particle population in their lung tissue; they were similar to those of the minor population in the MMA/SS fumes and no solubility could be detected within three months.

摘要

通过透射电子显微镜和定量X射线微分析,研究了手工金属电弧焊(MMA)和金属惰性气体保护焊(MIG)技术产生的不锈钢焊接烟尘在大鼠吸入暴露后肺组织中的溶解情况。发现暴露于MMA产生的不锈钢烟尘的大鼠肺组织中有两种行为不同的颗粒群体。主要群体的颗粒(尺寸为100 - 250纳米)在大约两个月内溶解于肺泡巨噬细胞和I型上皮细胞中。在这些颗粒中检测到铬、锰和铁的快速和缓慢溶解成分;它们显然代表不同的化合物。次要群体的颗粒(尺寸为5 - 100纳米)在三个月的随访期间没有溶解迹象。暴露于MIG产生的不锈钢烟尘的大鼠肺组织中只有一种颗粒群体;它们与MMA/SS烟尘中次要群体的颗粒相似,在三个月内未检测到溶解性。

https://cdn.ncbi.nlm.nih.gov/pmc/blobs/c6b0/1007717/61928a61ad0f/brjindmed00173-0018-a.jpg

文献检索

告别复杂PubMed语法,用中文像聊天一样搜索,搜遍4000万医学文献。AI智能推荐,让科研检索更轻松。

立即免费搜索

文件翻译

保留排版,准确专业,支持PDF/Word/PPT等文件格式,支持 12+语言互译。

免费翻译文档

深度研究

AI帮你快速写综述,25分钟生成高质量综述,智能提取关键信息,辅助科研写作。

立即免费体验