• 文献检索
  • 文档翻译
  • 深度研究
  • 学术资讯
  • Suppr Zotero 插件Zotero 插件
  • 邀请有礼
  • 套餐&价格
  • 历史记录
应用&插件
Suppr Zotero 插件Zotero 插件浏览器插件Mac 客户端Windows 客户端微信小程序
定价
高级版会员购买积分包购买API积分包
服务
文献检索文档翻译深度研究API 文档MCP 服务
关于我们
关于 Suppr公司介绍联系我们用户协议隐私条款
关注我们

Suppr 超能文献

核心技术专利:CN118964589B侵权必究
粤ICP备2023148730 号-1Suppr @ 2026

文献检索

告别复杂PubMed语法,用中文像聊天一样搜索,搜遍4000万医学文献。AI智能推荐,让科研检索更轻松。

立即免费搜索

文件翻译

保留排版,准确专业,支持PDF/Word/PPT等文件格式,支持 12+语言互译。

免费翻译文档

深度研究

AI帮你快速写综述,25分钟生成高质量综述,智能提取关键信息,辅助科研写作。

立即免费体验

对于非常小的婴儿难治性川崎病,我们有最佳治疗方法吗? 病例报告及文献综述。

Have we got the optimal treatment for refractory Kawasaki disease in very young infants? A case report and literature review.

作者信息

Lersch Robert, Mandilaras Guido, Schrader Meike, Anselmino Felicitas, Haas Nikolaus A, Jakob André

机构信息

Department of Paediatric Cardiology and Paediatric Intensive Care, Ludwig-Maximillian-University Munich, Munich, Germany.

Department of Paediatrics, Clinic Starnberg, Starnberg, Germany.

出版信息

Front Pediatr. 2023 Jul 28;11:1210940. doi: 10.3389/fped.2023.1210940. eCollection 2023.

DOI:10.3389/fped.2023.1210940
PMID:37576144
原文链接:https://pmc.ncbi.nlm.nih.gov/articles/PMC10419265/
Abstract

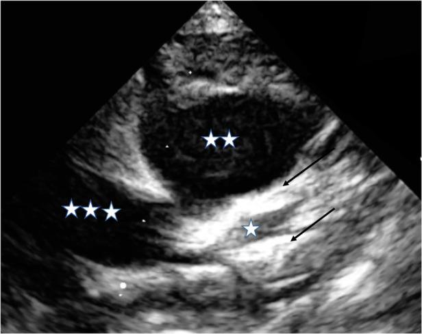
A small group of patients with Kawasaki disease (KD) demonstrates resistance to standard therapy, putting them at high risk for an unfavorable prognosis, especially regarding coronary artery aneurysms. Although adding corticosteroids to first-line i.v. immunoglobulins (IVIGs) is considered beneficial, and despite timely treatment initiation, very young infants, in particular, can present an unfavorable clinical course. We report on a 3-month-old boy with a clinically severe KD phenotype involving the early development of giant coronary artery aneurysms. Because of his poor response to the first course of IVIG and prednisolone, we administered infliximab. His clinical condition improved after that, and his temperature dropped. Inflammatory markers however did not recover completely, and he remained subfebrile. In addition, as the coronary artery dimensions deteriorated, a second IVIG course was administered and prednisolone continued at the initial dosage. Although fever and routine inflammatory parameters normalized, close follow-up investigations revealed both still increasing coronary artery dimensions and renewed rise in inflammatory parameters, necessitating two more infliximab administrations in addition to continuous prednisolone. Because of the coronary artery dimensions (left anterior descending artery, 4.9 mm, Z-score 11.1; right coronary artery 5.8 mm, Z-score 15.5), dual platelet inhibitory therapy with ASA and later clopidogrel combined with low-molecular heparin was indicated. Four weeks after his initial KD diagnosis, we detected no renewed increase in inflammatory markers; at that time, we observed a slight reduction in coronary dimensions. In summary, despite timely guideline-fulfilling therapy, the prolonged clinical course of this very young infant with KD entailing the development of giant coronary artery aneurysms makes us question whether this age group may benefit from early, even more intense therapy.

摘要

一小部分川崎病(KD)患者对标准治疗表现出耐药性,这使他们面临不良预后的高风险,尤其是在冠状动脉瘤方面。尽管在一线静脉注射免疫球蛋白(IVIG)中添加皮质类固醇被认为是有益的,而且尽管及时开始治疗,但特别是非常小的婴儿可能会出现不良的临床病程。我们报告了一名3个月大的男孩,其临床症状严重,患有KD,伴有巨大冠状动脉瘤的早期形成。由于他对第一疗程的IVIG和泼尼松龙反应不佳,我们给予了英夫利昔单抗。此后他的临床状况有所改善,体温下降。然而,炎症标志物并未完全恢复,他仍有低热。此外,随着冠状动脉尺寸恶化,给予了第二疗程的IVIG,并继续按初始剂量使用泼尼松龙。尽管发热和常规炎症参数恢复正常,但密切的随访调查显示冠状动脉尺寸仍在增加,炎症参数再次升高,因此除了持续使用泼尼松龙外,还需要再给予两次英夫利昔单抗。由于冠状动脉尺寸(左前降支动脉,4.9 mm,Z评分11.1;右冠状动脉5.8 mm,Z评分15.5),因此建议联合使用阿司匹林和氯吡格雷进行双重血小板抑制治疗,并联合低分子肝素。在他最初被诊断为KD四周后,我们未检测到炎症标志物再次升高;此时,我们观察到冠状动脉尺寸略有减小。总之,尽管及时进行了符合指南的治疗,但这名患有KD且伴有巨大冠状动脉瘤形成的非常小的婴儿的临床病程延长,这使我们质疑这个年龄组是否可能从早期、甚至更强化的治疗中获益。

https://cdn.ncbi.nlm.nih.gov/pmc/blobs/b929/10419265/4da1d70ea6d0/fped-11-1210940-g002.jpg
https://cdn.ncbi.nlm.nih.gov/pmc/blobs/b929/10419265/1464272aea82/fped-11-1210940-g001.jpg
https://cdn.ncbi.nlm.nih.gov/pmc/blobs/b929/10419265/4da1d70ea6d0/fped-11-1210940-g002.jpg
https://cdn.ncbi.nlm.nih.gov/pmc/blobs/b929/10419265/1464272aea82/fped-11-1210940-g001.jpg
https://cdn.ncbi.nlm.nih.gov/pmc/blobs/b929/10419265/4da1d70ea6d0/fped-11-1210940-g002.jpg

相似文献

1
Have we got the optimal treatment for refractory Kawasaki disease in very young infants? A case report and literature review.对于非常小的婴儿难治性川崎病,我们有最佳治疗方法吗? 病例报告及文献综述。
Front Pediatr. 2023 Jul 28;11:1210940. doi: 10.3389/fped.2023.1210940. eCollection 2023.
2
Giant bilateral axillary artery aneurysms with left complete obstructive thrombus in intravenous immunoglobulin-sensitive Kawasaki disease: a case report.静脉注射免疫球蛋白敏感型川崎病致巨大双侧腋动脉动脉瘤伴左侧完全性血栓形成:病例报告。
Pediatr Rheumatol Online J. 2021 Nov 8;19(1):157. doi: 10.1186/s12969-021-00643-w.
3
Intravenous immunoglobulin for the treatment of Kawasaki disease.静脉注射免疫球蛋白治疗川崎病。
Cochrane Database Syst Rev. 2023 Jan 25;1(1):CD014884. doi: 10.1002/14651858.CD014884.pub2.
4
Anakinra And Etanercept Combination Treatment in a Child With Severe, Nonresponsive Kawasaki Disease.阿那白滞素与依那西普联合治疗一名重症、无反应性川崎病患儿
Pediatr Infect Dis J. 2020 Oct;39(10):e310-e313. doi: 10.1097/INF.0000000000002810.
5
Kawasaki disease in Turkish children: a single center experience with emphasis on intravenous immunoglobulin resistance and giant coronary aneurysms.土耳其儿童川崎病:单中心经验,重点关注静脉注射免疫球蛋白抵抗和巨大冠状动脉瘤
Turk J Pediatr. 2019;61(5):648-656. doi: 10.24953/turkjped.2019.05.002.
6
Infliximab Plus Intravenous Immunoglobulin (IVIG) Versus IVIG Alone as Initial Therapy in Children With Kawasaki Disease Presenting With Coronary Artery Lesions: Is Dual Therapy More Effective?英夫利昔单抗联合静脉注射免疫球蛋白(IVIG)与单独 IVIG 作为有冠状动脉损伤的川崎病患儿初始治疗的比较:双治疗更有效吗?
Pediatr Infect Dis J. 2018 Oct;37(10):976-980. doi: 10.1097/INF.0000000000001951.
7
Intravenous Immunoglobulin Gamma (IVIG) versus IVIG Plus Infliximab in Young Children with Kawasaki Disease.静脉注射免疫球蛋白γ(IVIG)与 IVIG 联合英夫利昔单抗治疗川崎病患儿的比较
Med Sci Monit. 2018 Oct 11;24:7264-7270. doi: 10.12659/MSM.908678.
8
Infliximab for intensification of primary therapy for Kawasaki disease: a phase 3 randomised, double-blind, placebo-controlled trial.英夫利昔单抗强化川崎病一线治疗:一项 3 期随机、双盲、安慰剂对照试验。
Lancet. 2014 May 17;383(9930):1731-8. doi: 10.1016/S0140-6736(13)62298-9. Epub 2014 Feb 24.
9
Atypical Kawasaki Disease Complicated With Coronary Artery Aneurysm: A Case Report and Review of Literature.非典型川崎病合并冠状动脉瘤:一例报告并文献复习
Cureus. 2021 Feb 27;13(2):e13589. doi: 10.7759/cureus.13589.
10
Kawasaki disease: a comprehensive review of treatment options.川崎病:治疗选择的全面综述
J Clin Pharm Ther. 2015 Dec;40(6):620-5. doi: 10.1111/jcpt.12334. Epub 2015 Nov 7.

引用本文的文献

1
Linking Kawasaki Disease to Mental Health: A Nationwide Study on Long-Term Neurological Risks.川崎病与心理健康的关联:一项关于长期神经风险的全国性研究。
Medicina (Kaunas). 2025 Mar 26;61(4):604. doi: 10.3390/medicina61040604.

本文引用的文献

1
Clinical characteristics of patients with recurrent Kawasaki disease: a nationwide cohort study of 19 456 patients with minimum 3-year follow up.具有复发性川崎病患者的临床特征:一项全国性队列研究,共纳入 19456 例至少随访 3 年的患者。
Arch Dis Child. 2023 Apr;108(4):307-312. doi: 10.1136/archdischild-2022-324467. Epub 2022 Dec 22.
2
[Updated recommendations for action according to the S2k guidelines on Kawasaki syndrome].[根据川崎综合征S2k指南更新的行动建议]
Monatsschr Kinderheilkd. 2022;170(12):1122-1124. doi: 10.1007/s00112-022-01490-z. Epub 2022 Apr 28.
3
Acute phase of Kawasaki disease: a review of national guideline recommendations.
川崎病急性期:国家指南推荐综述。
Eur J Pediatr. 2022 Jul;181(7):2563-2573. doi: 10.1007/s00431-022-04458-z. Epub 2022 Apr 11.
4
Infliximab versus second intravenous immunoglobulin for treatment of resistant Kawasaki disease in the USA (KIDCARE): a randomised, multicentre comparative effectiveness trial.英夫利昔单抗与第二剂静脉注射免疫球蛋白治疗美国难治性川崎病(KIDCARE):一项随机、多中心比较有效性试验。
Lancet Child Adolesc Health. 2021 Dec;5(12):852-861. doi: 10.1016/S2352-4642(21)00270-4. Epub 2021 Oct 27.
5
Higher efficacy of infliximab than immunoglobulin on Kawasaki disease, a meta-analysis.英夫利昔单抗治疗川崎病的疗效优于免疫球蛋白:荟萃分析。
Eur J Pharmacol. 2021 May 15;899:173985. doi: 10.1016/j.ejphar.2021.173985. Epub 2021 Feb 27.
6
Anakinra And Etanercept Combination Treatment in a Child With Severe, Nonresponsive Kawasaki Disease.阿那白滞素与依那西普联合治疗一名重症、无反应性川崎病患儿
Pediatr Infect Dis J. 2020 Oct;39(10):e310-e313. doi: 10.1097/INF.0000000000002810.
7
Kawasaki disease in infants less than one year of age: an Italian cohort from a single center.一岁以下婴儿川崎病:单中心意大利队列研究。
BMC Pediatr. 2019 Sep 7;19(1):321. doi: 10.1186/s12887-019-1695-0.
8
Kawasaki disease: guidelines of the Italian Society of Pediatrics, part I - definition, epidemiology, etiopathogenesis, clinical expression and management of the acute phase.川崎病:意大利儿科学会指南,第一部分-定义、流行病学、病因发病机制、急性期临床表现和治疗。
Ital J Pediatr. 2018 Aug 30;44(1):102. doi: 10.1186/s13052-018-0536-3.
9
The use of interleukin 1 receptor antagonist (anakinra) in Kawasaki disease: A retrospective cases series.白细胞介素 1 受体拮抗剂(阿那白滞素)在川崎病中的应用:一项回顾性病例系列研究。
Autoimmun Rev. 2018 Aug;17(8):768-774. doi: 10.1016/j.autrev.2018.01.024. Epub 2018 Jun 6.
10
Failure to Predict High-risk Kawasaki Disease Patients in a Population-based Study Cohort in Germany.未能在德国基于人群的研究队列中预测高危川崎病患者。
Pediatr Infect Dis J. 2018 Sep;37(9):850-855. doi: 10.1097/INF.0000000000001923.