Department of Cell, Developmental, and Integrative Biology.
Department of Pathology.
JCI Insight. 2023 Oct 9;8(19):e161563. doi: 10.1172/jci.insight.161563.
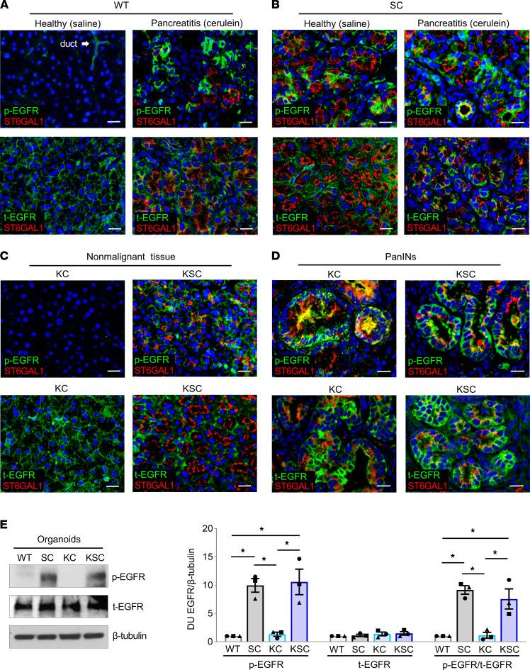
The role of aberrant glycosylation in pancreatic ductal adenocarcinoma (PDAC) remains an under-investigated area of research. In this study, we determined that ST6 β-galactoside α2,6 sialyltransferase 1 (ST6GAL1), which adds α2,6-linked sialic acids to N-glycosylated proteins, was upregulated in patients with early-stage PDAC and was further increased in advanced disease. A tumor-promoting function for ST6GAL1 was elucidated using tumor xenograft experiments with human PDAC cells. Additionally, we developed a genetically engineered mouse (GEM) model with transgenic expression of ST6GAL1 in the pancreas and found that mice with dual expression of ST6GAL1 and oncogenic KRASG12D had greatly accelerated PDAC progression compared with mice expressing KRASG12D alone. As ST6GAL1 imparts progenitor-like characteristics, we interrogated ST6GAL1's role in acinar to ductal metaplasia (ADM), a process that fosters neoplasia by reprogramming acinar cells into ductal, progenitor-like cells. We verified ST6GAL1 promotes ADM using multiple models including the 266-6 cell line, GEM-derived organoids and tissues, and an in vivo model of inflammation-induced ADM. EGFR is a key driver of ADM and is known to be activated by ST6GAL1-mediated sialylation. Importantly, EGFR activation was dramatically increased in acinar cells and organoids from mice with transgenic ST6GAL1 expression. These collective results highlight a glycosylation-dependent mechanism involved in early stages of pancreatic neoplasia.
异常糖基化在胰腺导管腺癌(PDAC)中的作用仍然是一个研究不足的领域。在这项研究中,我们确定了 ST6β-半乳糖苷α2,6 唾液酸转移酶 1(ST6GAL1),它在 N-糖基化蛋白上添加α2,6 连接的唾液酸,在早期 PDAC 患者中上调,在晚期疾病中进一步增加。使用人 PDAC 细胞的肿瘤异种移植实验阐明了 ST6GAL1 的促肿瘤功能。此外,我们开发了一种带有胰腺中转基因表达 ST6GAL1 的基因工程小鼠(GEM)模型,并发现同时表达 ST6GAL1 和致癌 KRASG12D 的小鼠与仅表达 KRASG12D 的小鼠相比,PDAC 进展大大加速。由于 ST6GAL1 赋予祖细胞样特征,我们研究了 ST6GAL1 在胰腺腺泡到导管化生(ADM)中的作用,该过程通过将腺泡细胞重新编程为导管、祖细胞样细胞来促进肿瘤发生。我们使用包括 266-6 细胞系、GEM 衍生的类器官和组织以及炎症诱导的 ADM 体内模型在内的多种模型证实了 ST6GAL1 促进 ADM。EGFR 是 ADM 的关键驱动因素,已知其通过 ST6GAL1 介导的唾液酸化而被激活。重要的是,在具有转基因 ST6GAL1 表达的小鼠的腺泡细胞和类器官中,EGFR 激活显著增加。这些综合结果突出了一个与胰腺肿瘤早期阶段相关的糖基化依赖性机制。