• 文献检索
  • 文档翻译
  • 深度研究
  • 学术资讯
  • Suppr Zotero 插件Zotero 插件
  • 邀请有礼
  • 套餐&价格
  • 历史记录
应用&插件
Suppr Zotero 插件Zotero 插件浏览器插件Mac 客户端Windows 客户端微信小程序
定价
高级版会员购买积分包购买API积分包
服务
文献检索文档翻译深度研究API 文档MCP 服务
关于我们
关于 Suppr公司介绍联系我们用户协议隐私条款
关注我们

Suppr 超能文献

核心技术专利:CN118964589B侵权必究
粤ICP备2023148730 号-1Suppr @ 2026

文献检索

告别复杂PubMed语法,用中文像聊天一样搜索,搜遍4000万医学文献。AI智能推荐,让科研检索更轻松。

立即免费搜索

文件翻译

保留排版,准确专业,支持PDF/Word/PPT等文件格式,支持 12+语言互译。

免费翻译文档

深度研究

AI帮你快速写综述,25分钟生成高质量综述,智能提取关键信息,辅助科研写作。

立即免费体验

食管鳞状细胞癌转移至口腔:一例报告及文献综述

Esophageal squamous cell carcinoma metastasizing to the oral cavity: a case report and literature review.

作者信息

Sittitrai Pichit, Ruenmarkkaew Donyarat, Lekawanvijit Suree

机构信息

Department of Otolaryngology.

Department of Pathology, Faculty of Medicine, Chiang Mai University, Chiang Mai, Thailand.

出版信息

Ann Med Surg (Lond). 2023 Jul 15;85(9):4603-4607. doi: 10.1097/MS9.0000000000001086. eCollection 2023 Sep.

DOI:10.1097/MS9.0000000000001086
PMID:37663702
原文链接:https://pmc.ncbi.nlm.nih.gov/articles/PMC10473335/
Abstract

INTRODUCTION AND IMPORTANCE

Metastatic esophageal carcinoma to the oral cavity has been rarely reported, and most cases were adenocarcinoma metastasizing to the mandible. This first report of a case of metastatic esophageal squamous cell carcinoma to the floor of the mouth is crucial due to its rarity and difficulties in diagnosing and managing this condition.

CASE PRESENTATION

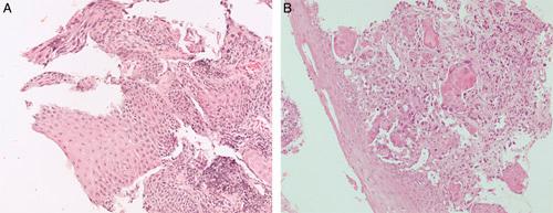
A 53-year-old male had a painful submucosal mass on the left side of the floor of the mouth for 2 months. A biopsy indicated a moderately differentiated squamous cell carcinoma. Six months before the intraoral mass appeared, the patient had a moderately differentiated squamous cell carcinoma of the thoracic esophagus and was treated with concurrent chemoradiotherapy. With the previous history and pathological review, the diagnosis of metastatic esophageal squamous cell carcinoma to the floor of the mouth was made. Panendoscopy and an 18F-fluorodeoxyglucose positron emission tomography-computed tomography scan revealed no other abnormality or other distant metastasis. The patient underwent surgical resection with postoperative chemoradiotherapy. He was able to take a regular diet and had good speech function. Ten months after treatment completion, he has had recurrent disease at the floor of the mouth with lung metastasis.

CONCLUSIONS

Oral metastasis from esophageal squamous cell carcinoma is very rare and should be differentiated from primary oral cancer using clinical and pathological features. 18F-fluorodeoxyglucose positron emission tomography-computed tomography scanning is the preferred imaging method to exclude primary tumor persistence and other metastases. Treatment is usually palliative; however, function-preserving surgery may be an option for a patient with limited disease in the oral cavity.

摘要

引言与重要性

口腔转移性食管癌鲜有报道,大多数病例为转移至下颌骨的腺癌。这例口腔底部转移性食管鳞状细胞癌的首例报告至关重要,因其罕见且在诊断和处理该病症方面存在困难。

病例介绍

一名53岁男性,口腔底部左侧有一疼痛性黏膜下肿物2个月。活检显示为中分化鳞状细胞癌。在口腔肿物出现前6个月,该患者患有胸段食管中分化鳞状细胞癌,并接受了同步放化疗。结合既往病史及病理检查结果,诊断为口腔底部转移性食管鳞状细胞癌。全面内镜检查及18F - 氟脱氧葡萄糖正电子发射断层扫描 - 计算机断层扫描显示无其他异常或远处转移。患者接受了手术切除及术后放化疗。他能够正常饮食,言语功能良好。治疗结束10个月后,其口腔底部出现复发病灶并伴有肺转移。

结论

食管鳞状细胞癌的口腔转移非常罕见,应根据临床和病理特征与原发性口腔癌相鉴别。18F - 氟脱氧葡萄糖正电子发射断层扫描 - 计算机断层扫描是排除原发性肿瘤残留及其他转移的首选影像学检查方法。治疗通常为姑息性治疗;然而,对于口腔病变局限的患者,保留功能的手术可能是一种选择。

https://cdn.ncbi.nlm.nih.gov/pmc/blobs/d3f9/10473335/58e25c405ffa/ms9-85-4603-g003.jpg
https://cdn.ncbi.nlm.nih.gov/pmc/blobs/d3f9/10473335/5be9022d173b/ms9-85-4603-g001.jpg
https://cdn.ncbi.nlm.nih.gov/pmc/blobs/d3f9/10473335/eb3a82e95642/ms9-85-4603-g002.jpg
https://cdn.ncbi.nlm.nih.gov/pmc/blobs/d3f9/10473335/58e25c405ffa/ms9-85-4603-g003.jpg
https://cdn.ncbi.nlm.nih.gov/pmc/blobs/d3f9/10473335/5be9022d173b/ms9-85-4603-g001.jpg
https://cdn.ncbi.nlm.nih.gov/pmc/blobs/d3f9/10473335/eb3a82e95642/ms9-85-4603-g002.jpg
https://cdn.ncbi.nlm.nih.gov/pmc/blobs/d3f9/10473335/58e25c405ffa/ms9-85-4603-g003.jpg

相似文献

1
Esophageal squamous cell carcinoma metastasizing to the oral cavity: a case report and literature review.食管鳞状细胞癌转移至口腔:一例报告及文献综述
Ann Med Surg (Lond). 2023 Jul 15;85(9):4603-4607. doi: 10.1097/MS9.0000000000001086. eCollection 2023 Sep.
2
A case of long-term survival after surgical resection for solitary adrenal recurrence of esophageal squamous carcinoma.一例食管鳞状细胞癌孤立性肾上腺转移灶手术切除后长期生存的病例。
Surg Case Rep. 2017 Dec;3(1):61. doi: 10.1186/s40792-017-0337-8. Epub 2017 May 5.
3
Phantom simulation of liver metastasis on a positron emission tomography with computed tomography scan after neoadjuvant chemoradiotherapy for distal esophageal cancer: a case report.新辅助放化疗治疗远端食管癌后正电子发射断层扫描/计算机断层扫描的肝转移假影模拟:病例报告。
J Med Case Rep. 2020 Jul 7;14(1):106. doi: 10.1186/s13256-020-02391-z.
4
Cutaneous metastasis from esophageal basaloid squamous cell carcinoma: A case report.食管基底样鳞状细胞癌的皮肤转移:一例报告。
Int J Surg Case Rep. 2021 Mar;80:105621. doi: 10.1016/j.ijscr.2021.02.007. Epub 2021 Feb 5.
5
Muscular metastasis of superficial esophageal squamous cell carcinoma: a rare case of recurrence after endoscopic submucosal dissection with additional chemoradiotherapy.浅表性食管鳞状细胞癌的肌肉转移:内镜下黏膜下剥离术联合放化疗后复发的罕见病例
Clin J Gastroenterol. 2023 Apr;16(2):130-135. doi: 10.1007/s12328-022-01735-0. Epub 2022 Nov 12.
6
Case report: A case of rectal metastatic squamous cell carcinoma from the esophagus.病例报告:一例来自食管的直肠转移性鳞状细胞癌。
Front Oncol. 2023 Feb 17;13:1092868. doi: 10.3389/fonc.2023.1092868. eCollection 2023.
7
Squamous cell carcinoma of the tongue with cardiac metastasis on 18F-FDG PET/CT: A case report and literature review.舌部鳞状细胞癌伴心脏转移 18F-FDG PET/CT 表现:病例报告并文献复习
Medicine (Baltimore). 2021 Apr 16;100(15):e25529. doi: 10.1097/MD.0000000000025529.
8
Rare presentation of esophageal squamous cell carcinoma with rectal metastasis: A case report.食管鳞状细胞癌伴直肠转移的罕见病例报告
Oncol Lett. 2023 Oct 12;26(6):510. doi: 10.3892/ol.2023.14097. eCollection 2023 Dec.
9
Discovery of the primary site of esophageal squamous cell carcinoma based on axillary lymph nodes metastasis detected with fluorodeoxyglucose positron-emission tomography: report of a case.基于氟脱氧葡萄糖正电子发射断层扫描检测到的腋窝淋巴结转移发现食管鳞状细胞癌的原发部位:一例报告
J Nippon Med Sch. 2014;81(6):395-400. doi: 10.1272/jnms.81.395.
10
Long-term survival after definitive proton beam therapy for oligorecurrent esophageal squamous cell carcinoma: a case report.明确质子束治疗寡复发性食管鳞癌的长期生存:1 例报告。
J Med Case Rep. 2022 Feb 14;16(1):68. doi: 10.1186/s13256-022-03275-0.

本文引用的文献

1
Incidence rate of metastases in the oral cavity: a review of all metastatic lesions in the oral cavity.口腔转移瘤的发生率:对所有口腔转移病变的回顾。
Med Oral Patol Oral Cir Bucal. 2021 Sep 1;26(5):e619-e625. doi: 10.4317/medoral.24625.
2
Esophageal Cancer: An Updated Review.食管癌:更新综述。
South Med J. 2021 Mar;114(3):161-168. doi: 10.14423/SMJ.0000000000001226.
3
The SCARE 2020 Guideline: Updating Consensus Surgical CAse REport (SCARE) Guidelines.SCARE 2020 指南:更新共识手术病例报告(SCARE)指南。
Int J Surg. 2020 Dec;84:226-230. doi: 10.1016/j.ijsu.2020.10.034. Epub 2020 Nov 9.
4
Two rare cases of oral metastasis arising from lung adenocarcinoma and esophageal carcinoma.两例罕见的由肺腺癌和食管癌引起的口腔转移病例。
J Clin Exp Dent. 2020 Oct 1;12(10):e999-e1004. doi: 10.4317/jced.57125. eCollection 2020 Oct.
5
Case Report and Literature Review of a Pathologic Mandibular Fracture from Metastatic Esophageal Adenocarcinoma.转移性食管腺癌致病理性下颌骨骨折的病例报告及文献综述
Case Rep Otolaryngol. 2018 Dec 23;2018:7860384. doi: 10.1155/2018/7860384. eCollection 2018.
6
Esophageal Cancer Metastases to Unexpected Sites: A Systematic Review.食管癌转移至意外部位:一项系统综述
Gastroenterol Res Pract. 2017;2017:1657310. doi: 10.1155/2017/1657310. Epub 2017 Jun 4.
7
Metastatic tumors to the jaws and mouth.转移至颌骨和口腔的肿瘤。
Head Neck Pathol. 2014 Dec;8(4):463-74. doi: 10.1007/s12105-014-0591-z. Epub 2014 Nov 20.
8
Tongue metastasis as an initial manifestation of Distant metastasis in Oesophageal Adenocarcinoma.舌转移作为食管腺癌远处转移的首发表现。
Pak J Med Sci. 2014 Jul;30(4):920-3.
9
Tumors metastasizing to the oral cavity: a study of 16 cases.转移至口腔的肿瘤:16例病例研究
J Oral Maxillofac Surg. 2013 Sep;71(9):1545-51. doi: 10.1016/j.joms.2013.03.017. Epub 2013 Jun 22.
10
Delayed metastasis to the mandible of esophageal adenocarcinoma.食管腺癌延迟转移至下颌骨。
Head Neck Pathol. 2013 Dec;7(4):416-20. doi: 10.1007/s12105-013-0450-3. Epub 2013 Jun 6.