Suppr超能文献

熏蒸接触二甲基醇和戊二醛后发生的化学性肺炎和反应性气道功能障碍综合征:一种被揭开面纱的隐匿威胁。

Chemical Pneumonitis and Reactive Airways Dysfunction Syndrome After Fumigation Exposure to Dimethanol and Glutaraldehyde: A Silent Menace Unmasked.

作者信息

Saboo Keyur, Gemnani Rinkle R, Sharma Soumya, Kumar Sunil, Acharya Sourya

机构信息

Medicine, Jawaharlal Nehru Medical College, Wardha, IND.

Ophthalmology, Jawaharlal Nehru Medical College, Wardha, IND.

出版信息

Cureus. 2023 Aug 4;15(8):e42939. doi: 10.7759/cureus.42939. eCollection 2023 Aug.

Abstract

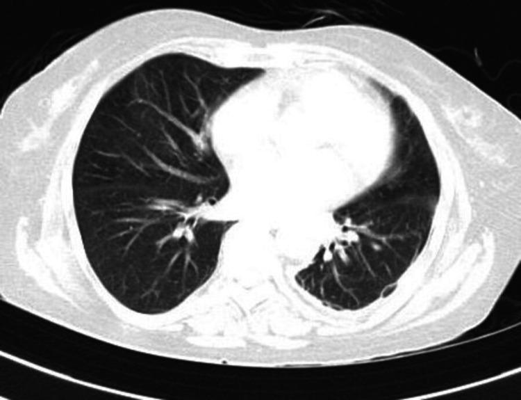
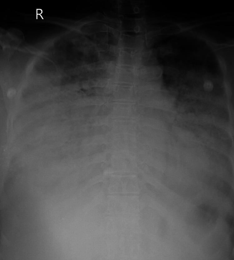
Chemical pneumonitis caused by dimethanol and glutaraldehyde exposure is a serious medical condition that requires prompt and effective treatment. As per a literature search in Google Scholar, PubMed, and Scopus, this is the first instance of chemical pneumonitis caused after fumigation with dimethanol and glutaraldehyde inhalation. This article discusses the factors that can contribute to the development of chemical pneumonitis and outlines the diagnostic and treatment options available to healthcare professionals. By understanding the causes and consequences of dimethanol- and glutaraldehyde-induced chemical pneumonitis, medical professionals can provide better care to their patients and help prevent future cases of this potentially life-threatening condition. This describes a case of a 60-year-old female who presented to the emergency department complaining of acute onset of shortness of breath approximately 48 hours after being exposed to dimethanol and glutaraldehyde while working in intensive care. After 13 days, the patient's symptoms subsided and she was discharged. On follow-up, after 1 month, there was a marked resolution of the initial symptoms.

摘要

接触二甲醇和戊二醛引起的化学性肺炎是一种严重的病症,需要及时有效的治疗。根据在谷歌学术、PubMed和Scopus上的文献检索,这是首次因吸入二甲醇和戊二醛熏蒸后引发化学性肺炎的案例。本文讨论了可能导致化学性肺炎发生的因素,并概述了医疗专业人员可用的诊断和治疗方案。通过了解二甲醇和戊二醛引起的化学性肺炎的病因和后果,医学专业人员可以为患者提供更好的护理,并有助于预防这种潜在的危及生命病症的未来病例。本文描述了一名60岁女性的病例,她在重症监护病房工作时接触二甲醇和戊二醛后约48小时出现急性呼吸急促,前往急诊科就诊。13天后,患者症状消退并出院。在1个月后的随访中,初始症状明显缓解。

https://cdn.ncbi.nlm.nih.gov/pmc/blobs/96e5/10475320/ca023f0e645f/cureus-0015-00000042939-i01.jpg

相似文献

3
Hydrocarbon toxicity: A review.
Clin Toxicol (Phila). 2014 Jun;52(5):479-89. doi: 10.3109/15563650.2014.923904.
6
Delayed Paclitaxel-trastuzumab-induced interstitial pneumonitis in breast cancer.
Case Rep Oncol. 2011 Apr 2;4(1):186-91. doi: 10.1159/000326063.
8
Diesel siphoning induced chemical pneumonitis: a case report.
Ann Med Surg (Lond). 2023 Jun 20;85(7):3725-3727. doi: 10.1097/MS9.0000000000001010. eCollection 2023 Jul.
9
Interstitial pneumonitis from treatment with gemcitabine.
Hosp Pharm. 2014 Oct;49(9):847-50. doi: 10.1310/hpj4909-847.
10
Influence of Non-invasive Ventilation in an Adult Patient With Acute Epiglottitis: A Case Report.
Cureus. 2022 Oct 22;14(10):e30595. doi: 10.7759/cureus.30595. eCollection 2022 Oct.

本文引用的文献

2
Acenocoumarol-Induced Diffuse Alveolar Hemorrhage: A Case Report.
Cureus. 2023 Apr 14;15(4):e37581. doi: 10.7759/cureus.37581. eCollection 2023 Apr.
3
Viral Myocarditis in the Setting of Delayed Manifestation of Hamman-Rich Syndrome.
Cureus. 2023 Feb 13;15(2):e34916. doi: 10.7759/cureus.34916. eCollection 2023 Feb.
4
2018 Annual Report of the American Association of Poison Control Centers' National Poison Data System (NPDS): 36th Annual Report.
Clin Toxicol (Phila). 2019 Dec;57(12):1220-1413. doi: 10.1080/15563650.2019.1677022. Epub 2019 Nov 21.
5
Household chemicals, persistent wheezing and lung function: effect modification by atopy?
Eur Respir J. 2008 Mar;31(3):547-54. doi: 10.1183/09031936.00086807. Epub 2007 Oct 24.
7
Severe asthma and ARDS triggered by acute short-term exposure to commonly used cleaning detergents.
Eur Respir J. 2000 Sep;16(3):570-2. doi: 10.1034/j.1399-3003.2000.016003570.x.
8
Respiratory toxicity of fabric softener emissions.
J Toxicol Environ Health A. 2000 May 26;60(2):121-36. doi: 10.1080/009841000156538.

文献AI研究员

20分钟写一篇综述,助力文献阅读效率提升50倍。

立即体验

用中文搜PubMed

大模型驱动的PubMed中文搜索引擎

马上搜索

文档翻译

学术文献翻译模型,支持多种主流文档格式。

立即体验