Suppr超能文献

缝线材料对肠吻合口愈合影响的比较:一项实验研究。

The comparison of the suture materials on intestinal anastomotic healing: an experimental study.

机构信息

Department of Pediatric Surgery, Pamukkale University, School of Medicine, Denizli-Türkiye.

Department of Pediatric Surgery, Namık Kemal University, School of Medicine, Tekirdağ-Türkiye.

出版信息

Ulus Travma Acil Cerrahi Derg. 2023 Sep;29(9):956-962. doi: 10.14744/tjtes.2023.86579.

Abstract

BACKGROUND

This experimental comparative study was to evaluate the local effects of three different suture materials on in-testinal anastomosis healing.

METHODS

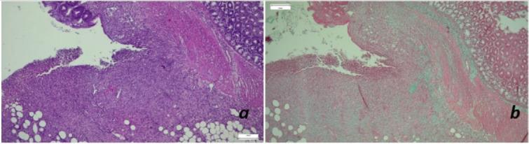
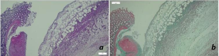
Ethical approval was obtained from the University of Ethical Committee (E-60758568-020-176720). A prospective, experimental comparative analysis was conducted on 24 rats. They were divided into three equal groups; Group 1 underwent colonic anastomosis with Vicryl suture material, Group 2 underwent colonic anastomosis with polypropylene suture; and Group 3 underwent colonic anastomosis with polydioxanone (PDS) suture. The second operation underwent the 7th post-operative day. Adhesion score, anastomotic leakage, anastomotic bursting pressure, hydroxyproline levels, and histopathologic examination were evaluated.

RESULTS

All animals survived, and no leakage, intestinal obstruction, or wound infection was observed during the experiment. The adhesion score was evaluated according to the Diamond classification and same in all groups. Median anastomotic bursting pressure was 125.75 mmHg (10-241) in the Vicryl group, 159.25 mmHg (113-190) in the polypropylene group, and 154.50 mmHg (20-212) in the PDS group. Hydroxyproline tissue concentrations were in the Vicryl group 1699.92±220.8 ng/mg (range: 1509.81-2186.47), in the polypropylene group 1126.24±607.12 ng/mg (range: 53.22-1815.63), and 1547.86±335.2 ng/mg (range: 973.66-1973.2) in PDS group. There was no difference among groups regarding the inflammatory response evaluated by histopathology. There was no statistical significance in all variables evaluated.

CONCLUSION

This experimental study demonstrates that suture materials did not worsen tissue healing during intestinal anastomosis. Absorbable, slowly-absorbable, and non-absorbable suture materials could be used safely in every situation.

摘要

背景

本实验性对比研究旨在评估三种不同缝线材料对肠吻合口愈合的局部影响。

方法

本研究获得了大学伦理委员会(E-60758568-020-176720)的伦理批准。对 24 只大鼠进行前瞻性、实验性对比分析。将它们分为三组;第 1 组使用薇乔缝线进行结肠吻合术,第 2 组使用聚丙烯缝线进行结肠吻合术;第 3 组使用聚二氧杂环已酮(PDS)缝线进行结肠吻合术。第 2 次手术在术后第 7 天进行。评估粘连评分、吻合口漏、吻合口破裂压、羟脯氨酸水平和组织病理学检查。

结果

所有动物均存活,实验过程中未观察到漏液、肠梗阻或伤口感染。根据 Diamond 分类法评估粘连评分,三组结果相同。薇乔组吻合口破裂压中位数为 125.75mmHg(10-241),聚丙烯组为 159.25mmHg(113-190),PDS 组为 154.50mmHg(20-212)。羟脯氨酸组织浓度在薇乔组为 1699.92±220.8ng/mg(范围:1509.81-2186.47),在聚丙烯组为 1126.24±607.12ng/mg(范围:53.22-1815.63),在 PDS 组为 1547.86±335.2ng/mg(范围:973.66-1973.2)。组织病理学评估的炎症反应在各组之间无差异。所有评估变量均无统计学意义。

结论

本实验研究表明,缝线材料不会加重肠吻合口的组织愈合不良。可吸收、缓慢吸收和不可吸收的缝线材料在任何情况下都可以安全使用。

https://cdn.ncbi.nlm.nih.gov/pmc/blobs/cfdb/10560814/5e29142996b1/TJTES-29-956-g001.jpg

文献AI研究员

20分钟写一篇综述,助力文献阅读效率提升50倍。

立即体验

用中文搜PubMed

大模型驱动的PubMed中文搜索引擎

马上搜索

文档翻译

学术文献翻译模型,支持多种主流文档格式。

立即体验