UWA Dental School, The University of Western Australia, Perth, Western Australia, Australia; Department of Dental Medicine, Perth Children's Hospital, Perth, Western Australia, Australia.
Office of Global and Population Health, Henry M. Goldman School of Dental Medicine, Boston University, Boston, MA, United States.
Int Dent J. 2024 Feb;74(1):95-101. doi: 10.1016/j.identj.2023.07.006. Epub 2023 Sep 23.
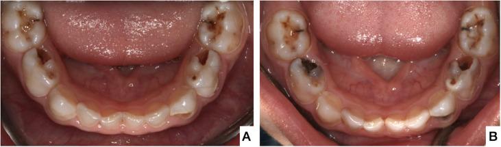
Staining after silver diamine fluoride (SDF) treatment limits treatment acceptability but is also used as a clinical indicator of lesion stability. Potassium iodide (KI) has been postulated to modify SDF staining. Understanding the natural history and resultant shade of SDF/KI-treated lesions will inform clinical decision-making. This study describes the change in colour of carious lesions in primary teeth treated with SDF and KI.
One hundred carious lesions in primary teeth were treated with SDF + KI (Riva Star, SDI) and followed up over 6 months. Lesion shade was determined using standardised intraoral photography and broadly categorised into 4 shades: yellow, light brown, dark brown, and black. Lesions were digitally isolated, and colour was evaluated using CIELAB (L*: lightness, a*/b*: hue) and perceptible colour change (ΔE).
One hundred valid observations were analysed on 129 lesions included in the study. Lesions were excluded if subsequently restored (n = 15), teeth exfoliated (n = 2), exhibited pulpal exposure (n = 1), or failed to attend at follow-up visits (n = 11). At baseline, the shade of carious lesions was yellow (n = 22), light brown (n = 19), dark brown (n = 29), or black (n = 30). The changes in shade between baseline and 6 months were clinically perceptible to the human eye, with the mean ΔE being 12.2 (SD = 6.9). Neither tooth type, lesion severity, nor baseline shade was statistically associated with the degree of perceptible change at 6 months.
Carious lesions exhibited clinically significant changes in colour after application of SDF + KI, primarily attributed to differences in L* of lesions over the 6 months.
银胺氟化物(SDF)处理后的染色会降低治疗的可接受性,但也可作为病变稳定性的临床指标。碘化钾(KI)被认为可以改变 SDF 的染色。了解 SDF/KI 处理后的病变的自然史和最终颜色将为临床决策提供信息。本研究描述了用 SDF 和 KI 处理乳牙龋齿病变颜色的变化。
用 SDF+KI(Riva Star,SDI)处理 100 颗乳牙龋齿,并在 6 个月内进行随访。使用标准化的口腔内摄影术确定病变的颜色,并大致分为 4 种颜色:黄色、浅棕色、深棕色和黑色。病变被数字化隔离,使用 CIELAB(L*:亮度,a*/b*:色调)和可察觉的颜色变化(ΔE)进行颜色评估。
对纳入研究的 129 个病变中的 100 个有效观察结果进行了分析。如果随后进行了修复(n=15)、牙齿脱落(n=2)、出现牙髓暴露(n=1)或未能按时随访(n=11),则将病变排除在外。在基线时,龋齿病变的颜色为黄色(n=22)、浅棕色(n=19)、深棕色(n=29)或黑色(n=30)。与基线相比,6 个月时的颜色变化在临床上可被人眼察觉,平均ΔE 为 12.2(SD=6.9)。无论是牙齿类型、病变严重程度还是基线颜色,与 6 个月时可察觉的变化程度均无统计学关联。
SDF+KI 处理后,龋齿病变的颜色发生了临床显著的变化,主要归因于病变在 6 个月内 L*的差异。