• 文献检索
  • 文档翻译
  • 深度研究
  • 学术资讯
  • Suppr Zotero 插件Zotero 插件
  • 邀请有礼
  • 套餐&价格
  • 历史记录
应用&插件
Suppr Zotero 插件Zotero 插件浏览器插件Mac 客户端Windows 客户端微信小程序
定价
高级版会员购买积分包购买API积分包
服务
文献检索文档翻译深度研究API 文档MCP 服务
关于我们
关于 Suppr公司介绍联系我们用户协议隐私条款
关注我们

Suppr 超能文献

核心技术专利:CN118964589B侵权必究
粤ICP备2023148730 号-1Suppr @ 2026

文献检索

告别复杂PubMed语法,用中文像聊天一样搜索,搜遍4000万医学文献。AI智能推荐,让科研检索更轻松。

立即免费搜索

文件翻译

保留排版,准确专业,支持PDF/Word/PPT等文件格式,支持 12+语言互译。

免费翻译文档

深度研究

AI帮你快速写综述,25分钟生成高质量综述,智能提取关键信息,辅助科研写作。

立即免费体验

“奥密克戎+流感”:首例尸检病例报告

Flurona: The First Autopsied Case.

机构信息

Department of Anatomy and Embryology, Iuliu Hatieganu University of Medicine and Pharmacy, 400006 Cluj-Napoca, Romania.

Department of Pathology, Iuliu Hatieganu University of Medicine and Pharmacy, 400006 Cluj-Napoca, Romania.

出版信息

Medicina (Kaunas). 2023 Sep 7;59(9):1616. doi: 10.3390/medicina59091616.

DOI:10.3390/medicina59091616
PMID:37763736
原文链接:https://pmc.ncbi.nlm.nih.gov/articles/PMC10537609/
Abstract

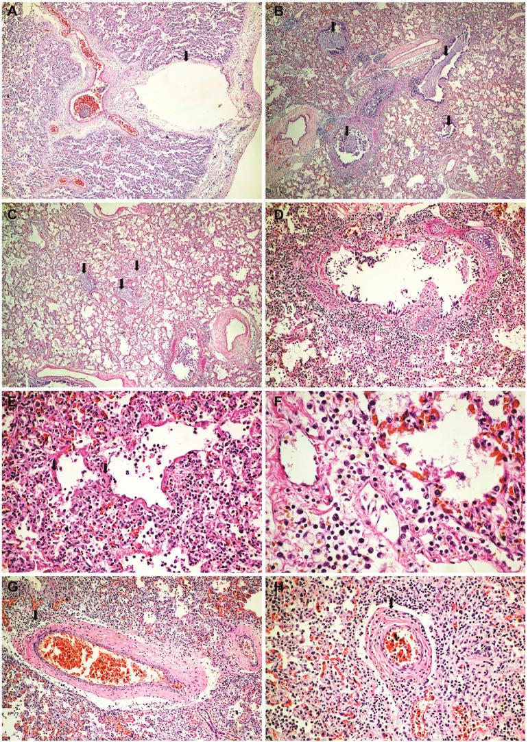
COVID-19-associated coinfections increase the patient's risk of developing a severe form of the disease and, consequently, the risk of death. The term "flurona" was proposed to describe the coinfection of the influenza virus and SARS-CoV-2. This report is about a case of a 7-month-old female infant who died due to flurona coinfection. A histopathological exam showed activation of microglia (becoming CD45 positive), bronchial inflammation, diffuse alveolar damage in proliferative phase with vasculitis, a peribronchial infiltrate that was predominantly CD20-positive, and a vascular wall infiltrate that was predominantly CD3-positive. The aggressiveness of the two respiratory viruses added up and they caused extensive lung inflammation, which led to respiratory failure, multiple organ failure, and death. Tissues injuries caused by both the influenza virus and SARS-CoV-2 could be observed, without the ability to certify the dominance of the aggression of one of the two viruses.

摘要

COVID-19 相关合并感染会增加患者发展为严重疾病的风险,进而增加死亡风险。“flurona”一词被用来描述流感病毒和 SARS-CoV-2 的合并感染。本报告介绍了一例因 flurona 合并感染而死亡的 7 个月大女婴病例。组织病理学检查显示小胶质细胞激活(CD45 阳性)、支气管炎症、弥漫性肺泡损伤伴增生期血管炎、以 CD20 阳性为主的支气管周围浸润和以 CD3 阳性为主的血管壁浸润。两种呼吸道病毒的侵袭性相加,导致广泛的肺部炎症,进而导致呼吸衰竭、多器官衰竭和死亡。可以观察到流感病毒和 SARS-CoV-2 引起的组织损伤,而无法确定两种病毒中哪一种的侵袭性占主导地位。

https://cdn.ncbi.nlm.nih.gov/pmc/blobs/df5c/10537609/fe11dcb6837e/medicina-59-01616-g004.jpg
https://cdn.ncbi.nlm.nih.gov/pmc/blobs/df5c/10537609/86ea67a4bc3d/medicina-59-01616-g001.jpg
https://cdn.ncbi.nlm.nih.gov/pmc/blobs/df5c/10537609/ee113c6628c2/medicina-59-01616-g002.jpg
https://cdn.ncbi.nlm.nih.gov/pmc/blobs/df5c/10537609/633bad00b717/medicina-59-01616-g003a.jpg
https://cdn.ncbi.nlm.nih.gov/pmc/blobs/df5c/10537609/fe11dcb6837e/medicina-59-01616-g004.jpg
https://cdn.ncbi.nlm.nih.gov/pmc/blobs/df5c/10537609/86ea67a4bc3d/medicina-59-01616-g001.jpg
https://cdn.ncbi.nlm.nih.gov/pmc/blobs/df5c/10537609/ee113c6628c2/medicina-59-01616-g002.jpg
https://cdn.ncbi.nlm.nih.gov/pmc/blobs/df5c/10537609/633bad00b717/medicina-59-01616-g003a.jpg
https://cdn.ncbi.nlm.nih.gov/pmc/blobs/df5c/10537609/fe11dcb6837e/medicina-59-01616-g004.jpg

相似文献

1
Flurona: The First Autopsied Case.“奥密克戎+流感”:首例尸检病例报告
Medicina (Kaunas). 2023 Sep 7;59(9):1616. doi: 10.3390/medicina59091616.
2
Disease of influenza virus and SARS-CoV-2 coinfection: Flurona or Flucovid?流感病毒与新冠病毒双重感染疾病:弗洛罗纳还是弗卢科维德?
J Med Virol. 2022 Sep;94(9):4056-4057. doi: 10.1002/jmv.27874. Epub 2022 Jun 2.
3
SARS-CoV-2 and Influenza A Virus Coinfections in Ferrets.SARS-CoV-2 和甲型流感病毒在雪貂中的合并感染。
J Virol. 2022 Mar 9;96(5):e0179121. doi: 10.1128/JVI.01791-21. Epub 2021 Dec 22.
4
High prevalence of SARS-CoV-2 and influenza A virus (H1N1) coinfection in dead patients in Northeastern Iran.伊朗东北部死亡患者中严重急性呼吸综合征冠状病毒 2 型和甲型流感病毒(H1N1)合并感染的高发生率。
J Med Virol. 2021 Feb;93(2):1008-1012. doi: 10.1002/jmv.26364. Epub 2020 Aug 13.
5
Coinfection With SARS-CoV-2 and Influenza A(H1N1) in a Patient Seen at an Influenza-like Illness Surveillance Site in Egypt: Case Report.埃及流感样疾病监测点发现的 SARS-CoV-2 和甲型 H1N1 流感病毒双重感染病例报告。
JMIR Public Health Surveill. 2021 Apr 28;7(4):e27433. doi: 10.2196/27433.
6
COVID-19 and Pulmonary Coinfection-The First Case Confirmed through Autopsy.COVID-19 与肺部合并感染——首例经尸检确认的病例。
Medicina (Kaunas). 2021 Mar 24;57(4):302. doi: 10.3390/medicina57040302.
7
Coinfection by Severe Acute Respiratory Syndrome Coronavirus 2 and Influenza A(H1N1)pdm09 Virus Enhances the Severity of Pneumonia in Golden Syrian Hamsters.严重急性呼吸综合征冠状病毒 2 与甲型 H1N1pdm09 流感病毒共感染增强金黄地鼠肺炎的严重程度。
Clin Infect Dis. 2021 Jun 15;72(12):e978-e992. doi: 10.1093/cid/ciaa1747.
8
Reciprocal enhancement of SARS-CoV-2 and influenza virus replication in human pluripotent stem cell-derived lung organoids.人多能干细胞衍生肺类器官中 SARS-CoV-2 和流感病毒复制的相互增强。
Emerg Microbes Infect. 2023 Dec;12(1):2211685. doi: 10.1080/22221751.2023.2211685.
9
Coinfection with SARS-CoV-2 and Influenza A Virus in a 32-Year-Old Man.一名32岁男性感染新型冠状病毒和甲型流感病毒的合并感染病例
Am J Case Rep. 2020 Nov 14;21:e926092. doi: 10.12659/AJCR.926092.
10
Global dynamics of IAV/SARS-CoV-2 coinfection model with eclipse phase and antibody immunity.带隐现阶段和抗体免疫的 IAV/SARS-CoV-2 共感染模型的全球动力学
Math Biosci Eng. 2023 Jan;20(2):3873-3917. doi: 10.3934/mbe.2023182. Epub 2022 Dec 13.

本文引用的文献

1
Identification of Histopathological Biomarkers in Fatal Cases of Coronavirus Disease: A Study on Lung Tissue.冠状病毒病死亡病例中组织病理学生物标志物的鉴定:一项关于肺组织的研究
Diagnostics (Basel). 2023 Jun 12;13(12):2039. doi: 10.3390/diagnostics13122039.
2
Histopathological Lung Findings in COVID-19 B.1.617.2 SARS-CoV-2 Delta Variant.新冠病毒B.1.617.2德尔塔变异株感染的肺部组织病理学表现
J Pers Med. 2023 Jan 31;13(2):279. doi: 10.3390/jpm13020279.
3
Role of T cells in severe COVID-19 disease, protection, and long term immunity.T 细胞在严重 COVID-19 疾病、保护和长期免疫中的作用。
Immunogenetics. 2023 Jun;75(3):295-307. doi: 10.1007/s00251-023-01294-9. Epub 2023 Feb 8.
4
COVID-19 Pathogen Viral Evolution Leading to Increased Infectivity.导致传染性增加的新冠病毒病原体病毒进化
Cureus. 2022 Jul 8;14(7):e26660. doi: 10.7759/cureus.26660. eCollection 2022 Jul.
5
Young COVID-19 Patients Show a Higher Degree of Microglial Activation When Compared to Controls.与对照组相比,年轻的新冠病毒肺炎患者表现出更高程度的小胶质细胞激活。
Front Neurol. 2022 Jun 16;13:908081. doi: 10.3389/fneur.2022.908081. eCollection 2022.
6
Respiratory viral co-infections in patients with COVID-19 and associated outcomes: A systematic review and meta-analysis.COVID-19 患者的呼吸道病毒合并感染及相关结局:系统评价和荟萃分析。
Rev Med Virol. 2023 Jan;33(1):e2365. doi: 10.1002/rmv.2365. Epub 2022 Jun 10.
7
Disease of influenza virus and SARS-CoV-2 coinfection: Flurona or Flucovid?流感病毒与新冠病毒双重感染疾病:弗洛罗纳还是弗卢科维德?
J Med Virol. 2022 Sep;94(9):4056-4057. doi: 10.1002/jmv.27874. Epub 2022 Jun 2.
8
SARS-CoV-2 Infection of Microglia Elicits Proinflammatory Activation and Apoptotic Cell Death.SARS-CoV-2 感染小胶质细胞引发炎症激活和细胞凋亡。
Microbiol Spectr. 2022 Jun 29;10(3):e0109122. doi: 10.1128/spectrum.01091-22. Epub 2022 May 5.
9
SARS-CoV-2 co-infection with influenza viruses, respiratory syncytial virus, or adenoviruses.严重急性呼吸综合征冠状病毒2(SARS-CoV-2)与流感病毒、呼吸道合胞病毒或腺病毒的合并感染。
Lancet. 2022 Apr 16;399(10334):1463-1464. doi: 10.1016/S0140-6736(22)00383-X. Epub 2022 Mar 25.
10
Co-infection of SARS-CoV-2 and influenza viruses: A systematic review and meta-analysis.新型冠状病毒与流感病毒的合并感染:一项系统评价与荟萃分析。
J Clin Virol Plus. 2021 Sep;1(3):100036. doi: 10.1016/j.jcvp.2021.100036. Epub 2021 Aug 9.