Suppr超能文献

麻醉诱导后因未破裂巨大肺大疱的 MASS 效应导致心血管崩溃。

Cardiovascular Collapse after the Induction of Anesthesia Due to the MASS Effect of Unruptured Giant Bullae.

机构信息

Department of Anesthesiology and Pain Medicine, Incheon St. Mary's Hospital, College of Medicine, The Catholic University of Korea, Incheon 21431, Republic of Korea.

Department of Thoracic and Cardiovascular Surgery, Incheon St. Mary's Hospital, College of Medicine, The Catholic University of Korea, Incheon 21431, Republic of Korea.

出版信息

Medicina (Kaunas). 2023 Sep 20;59(9):1689. doi: 10.3390/medicina59091689.

Abstract

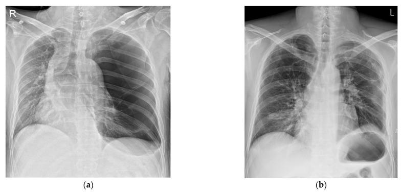
: Giant bullae rupture easily and cause tension pneumothorax, which can cause problems during general anesthesia. However, the hemodynamic instability that can occur due to the mass effect of an unruptured giant bulla should not be overlooked. : A 43-year-old male patient visited the emergency room with an abdominal wound. There was a giant emphysematous bulla in the left lung. Emergency surgery was decided upon because there was active bleeding according to abdominal CT. After tracheal intubation, the patient's blood pressure and pulse rate dramatically decreased. His blood pressure did not recover despite the use of vasopressors and discontinuation of positive pressure ventilation applied to the lungs. Thus, a bullectomy was immediately performed. The patient's blood pressure and pulse rate were normalized after the bullectomy. : If emergency surgery under general anesthesia is required in a patient with a giant emphysematous bulla, it is safe to minimize positive pressure ventilation and remove the giant emphysematous bulla as soon as possible before proceeding with the remainder of the surgery. Tension pneumothorax due to the rupturing of a bulla should be considered first. However, hemodynamic changes might occur due to the mass effect caused by a giant bulla.

摘要

: 巨大的肺大疱容易破裂并导致张力性气胸,这可能会在全身麻醉期间引发问题。然而,不应忽视未破裂的巨大肺大疱的肿块效应可能导致的血流动力学不稳定。: 一名 43 岁的男性患者因腹部伤口到急诊就诊。患者左侧肺部有巨大的气肿性肺大疱。根据腹部 CT 检查有活动性出血,决定进行紧急手术。气管插管后,患者的血压和脉搏率急剧下降。尽管使用了血管加压药并停止了对肺部的正压通气,但患者的血压仍未恢复。因此,立即进行了肺大疱切除术。肺大疱切除术后,患者的血压和脉搏率恢复正常。: 如果需要在巨大的气肿性肺大疱患者中进行全身麻醉下的紧急手术,在进行手术的其余部分之前,通过最小化正压通气并尽快切除巨大的气肿性肺大疱,这样做是安全的。首先应考虑因肺大疱破裂导致的张力性气胸。然而,由于巨大的肺大疱引起的肿块效应,可能会发生血流动力学变化。

https://cdn.ncbi.nlm.nih.gov/pmc/blobs/03c2/10535054/20b52aa72531/medicina-59-01689-g001.jpg

文献AI研究员

20分钟写一篇综述,助力文献阅读效率提升50倍。

立即体验

用中文搜PubMed

大模型驱动的PubMed中文搜索引擎

马上搜索

文档翻译

学术文献翻译模型,支持多种主流文档格式。

立即体验