Suppr超能文献

对一名患有胰岛素瘤且存在餐后低血糖无意识现象的患者进行持续血糖监测。

Continuous glucose monitoring in a patient with insulinoma presenting with unawareness of postprandial hypoglycemia.

作者信息

Nakajima Rikako, Idesawa Hiroto, Sato Daisuke, Ito Jun, Ito Kei, Fujii Masanao, Suzuki Takamichi, Furuta Tomoaki, Kawai Hitomi, Takayashiki Norio, Kurata Masanao, Yagyu Hiroaki

机构信息

Department of Endocrinology and Metabolism, Tsukuba University Hospital Mito Clinical Education and Training Center, Mito Kyodo General Hospital, Miyamachi, Mito, Ibaraki, Japan.

Department of Gastrointestinal Surgery, Tsukuba University Hospital Mito Clinical Education and Training Center, Mito Kyodo General Hospital, Miyamachi, Mito, Ibaraki, Japan.

出版信息

Endocrinol Diabetes Metab Case Rep. 2023 Sep 28;2023(3). doi: 10.1530/EDM-23-0056. Print 2023 Jul 1.

Abstract

SUMMARY

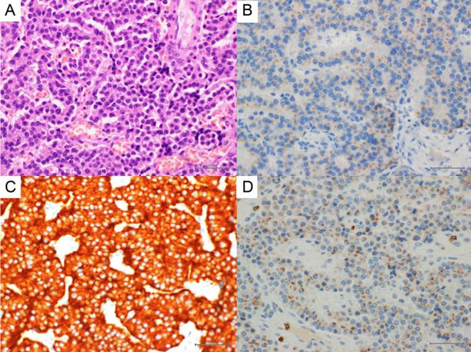
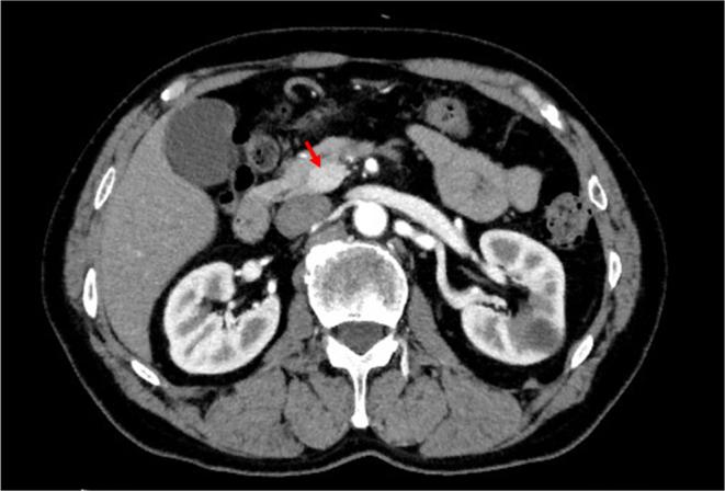
Unawareness of postprandial hypoglycemia for 5 years was identified in a 66-year-old man at a local clinic. The patient was referred to our hospital because of this first awareness of hypoglycemia (i.e. lightheadedness and impaired consciousness) developing after lunch. In a 75 g oral glucose tolerance test, the plasma glucose concentration was decreased to 32 mg/dL (1.8 mmol/L) at 150 min with relatively high concentrations of insulin (8.1 μU/mL), proinsulin (70.3 pmol/L), and C-peptide (4.63 ng/mL). In a prolonged fasting test, the plasma glucose concentration was decreased to 43 mg/dL (2.4 mmol/L) at 66 h with an insulin concentration of 1.4 μU/mL and a C-peptide concentration of 0.49 ng/mL. Computed tomography showed an 18 mm hyperenhancing tumor in the uncinate process of the pancreas. A selective arterial calcium stimulation test showed an elevated serum insulin concentration in the superior mesenteric artery. The patient was then diagnosed with insulinoma and received pancreaticoduodenectomy. Continuous glucose monitoring (CGM) using the Dexcom G6 system showed unawareness of hypoglycemia mainly during the daytime before surgery. When the sensor glucose value was reduced to 55 mg/dL (3.1 mmol/L), the Dexcom G6 system emitted an urgent low glucose alarm to the patient four times for 10 days. Two months after surgery, an overall increase in daily blood glucose concentrations and resolution of hypoglycemia were shown by CGM. We report a case of insulinoma with unawareness of postprandial hypoglycemia in the patient. The Dexcom G6 system was helpful for assessing preoperative hypoglycemia and for evaluating outcomes of treatment by surgery.

LEARNING POINTS

Insulinoma occasionally leads to postprandial hypoglycemia. The CGM system is useful for revealing the presence of unnoticed hypoglycemia and for evaluating treatment outcomes after surgical resection. The Dexcom G6 system has an urgent low glucose alarm, making it particularly suitable for patients who are unaware of hypoglycemia.

摘要

摘要

一名66岁男性在当地诊所被发现5年来一直未意识到餐后低血糖。该患者因午餐后首次出现低血糖意识(即头晕和意识障碍)而被转诊至我院。在75克口服葡萄糖耐量试验中,150分钟时血浆葡萄糖浓度降至32毫克/分升(1.8毫摩尔/升),同时胰岛素(8.1微单位/毫升)、胰岛素原(70.3皮摩尔/升)和C肽(4.63纳克/毫升)浓度相对较高。在延长禁食试验中,66小时时血浆葡萄糖浓度降至43毫克/分升(2.4毫摩尔/升),胰岛素浓度为1.4微单位/毫升,C肽浓度为0.49纳克/毫升。计算机断层扫描显示胰腺钩突部有一个18毫米的强化肿瘤。选择性动脉钙刺激试验显示肠系膜上动脉血清胰岛素浓度升高。该患者随后被诊断为胰岛素瘤并接受了胰十二指肠切除术。使用德康G6系统进行的连续血糖监测(CGM)显示,术前主要在白天存在低血糖未被察觉的情况。当传感器葡萄糖值降至55毫克/分升(3.1毫摩尔/升)时,德康G6系统在10天内四次向患者发出紧急低血糖警报。术后两个月,CGM显示每日血糖浓度总体升高,低血糖症状消失。我们报告了一例患者患有胰岛素瘤且未意识到餐后低血糖的病例。德康G6系统有助于评估术前低血糖情况以及评估手术治疗效果。

学习要点

胰岛素瘤偶尔会导致餐后低血糖。CGM系统有助于发现未被注意到的低血糖情况,并评估手术切除后的治疗效果。德康G6系统有紧急低血糖警报,使其特别适合未意识到低血糖的患者。

https://cdn.ncbi.nlm.nih.gov/pmc/blobs/2b8c/10563612/1cad9a0cbd95/EDM23-0056fig1.jpg

文献AI研究员

20分钟写一篇综述,助力文献阅读效率提升50倍。

立即体验

用中文搜PubMed

大模型驱动的PubMed中文搜索引擎

马上搜索

文档翻译

学术文献翻译模型,支持多种主流文档格式。

立即体验