Suppr超能文献

法尼醇 X 受体 (FXR) 的缺失会加速 db/db 小鼠中葡萄糖代谢紊乱和肾脏损伤。

Loss of Farnesoid X receptor (FXR) accelerates dysregulated glucose and renal injury in db/db mice.

机构信息

Department of Nephropathy, Nantong Third People's Hospital, Nantong, China.

Department of Nephropathy, Affiliated Nantong Hospital 3 of Nantong University, Nantong, China.

出版信息

PeerJ. 2023 Sep 29;11:e16155. doi: 10.7717/peerj.16155. eCollection 2023.

Abstract

BACKGROUND

End-stage renal disease is primarily caused by diabetic kidney disease (DKD). The Farnesoid X receptor (FXR), a member of the nuclear receptor superfamily, has anti-inflammatory, lipid-lowering and hypoglycemic properties. It also inhibits renal fibrosis. Although its physiological role is not fully understood, it also plays a role in the control of diabetic nephropathy (DN).

METHODS

In the present study, we examined male FXR & leptin receptor double knockout mice, in which weight, blood glucose, body fat, and other indicators were monitored. After 6 months of rearing, blood and urine samples were collected and biochemical parameters were measured. Fibrosis was assessed by Masson's stain, while the assessment of the resuscitation case's condition was performed using succinate dehydrogenase (SDHA) stain immunohistochemistry, which measures aerobic respiration. Expression of molecules such as connective tissue growth factor (CTGF), SMAD family members 3 (Smad3) and 7 (Smad7), and small heterodimer partner were detected by RT-PCR and Western blotting as part of the application.

RESULTS

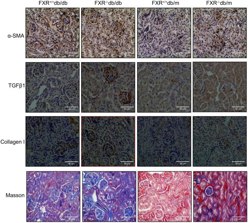
FXR knockout decreased body weight and body fat in db/db mice, but increased blood glucose, urine output, and renal fibrosis. Primary mesangial cells (P-MCs) from FXR mice stimulated with transforming growth factor 1 (TGF1) showed significantly higher levels of related fibrosis factors, TGF1 and Smad3 mRNA and protein, and significantly reduced levels of Smad7. These effects were reversed by the action of FXR agonist chenodeoxycholic acid (CDCA). P-MCs from FXR mice stimulated with TGF1 resulted in an increase in the expression and protein levels of collagen I and TGF1, and the addition of CDCA had no significant effect on TGF1 stimulation. However, compared with FXRdb/db mice, the rate of oxygen consumption, the rate of carbon dioxide production, and the rate of energy conversion were increased in FXRdb/db mice, whereas the SDHA succinate dehydrogenase, a marker enzyme for aerobic respiration, was significantly decreased.

CONCLUSIONS

These results provide evidence that FXR plays a critical role in the regulation of mesangial cells in DN. The likely mechanism is that aberrant FXR expression activates TGF1, which induces extracellular matrix accumulation through the classical Smad signaling pathway, leading to mitochondrial dysfunction.

摘要

背景

终末期肾病主要由糖尿病肾病(DKD)引起。法尼醇 X 受体(FXR)是核受体超家族的成员,具有抗炎、降脂和降血糖作用。它还能抑制肾纤维化。虽然其生理作用尚未完全阐明,但它在糖尿病肾病(DN)的控制中也起着作用。

方法

本研究检测了雄性 FXR 和瘦素受体双重敲除小鼠,监测其体重、血糖、体脂等指标。饲养 6 个月后,采集血、尿样,检测生化指标。采用 Masson 染色评估纤维化,采用琥珀酸脱氢酶(SDHA)染色免疫组化评估复苏情况,测量有氧呼吸。应用 RT-PCR 和 Western blot 检测结缔组织生长因子(CTGF)、SMAD 家族成员 3(Smad3)和 7(Smad7)和小异二聚体伴侣等分子的表达。

结果

FXR 敲除使 db/db 小鼠体重和体脂减少,但血糖、尿量和肾纤维化增加。转化生长因子 1(TGF1)刺激的 FXR 小鼠原代系膜细胞(P-MC)中相关纤维化因子 TGF1 和 Smad3 mRNA 和蛋白水平显著升高,Smad7 水平显著降低。这些作用被 FXR 激动剂鹅去氧胆酸(CDCA)逆转。TGF1 刺激的 FXR 小鼠 P-MC 胶原 I 和 TGF1 的表达和蛋白水平增加,CDCA 对 TGF1 刺激无明显影响。然而,与 FXRdb/db 小鼠相比,FXRdb/db 小鼠的耗氧率、二氧化碳产生率和能量转化率均升高,而有氧呼吸的标记酶琥珀酸脱氢酶(SDHA)明显降低。

结论

这些结果为 FXR 在 DN 系膜细胞调节中发挥关键作用提供了证据。其可能的机制是异常的 FXR 表达激活 TGF1,通过经典 Smad 信号通路诱导细胞外基质积聚,导致线粒体功能障碍。

https://cdn.ncbi.nlm.nih.gov/pmc/blobs/ab1d/10544308/e65f6953d1de/peerj-11-16155-g001.jpg

文献AI研究员

20分钟写一篇综述,助力文献阅读效率提升50倍。

立即体验

用中文搜PubMed

大模型驱动的PubMed中文搜索引擎

马上搜索

文档翻译

学术文献翻译模型,支持多种主流文档格式。

立即体验