Suppr超能文献

里奥·奥尔特加大学医院胶质母细胞瘤数据集:术前、术后早期和复发MRI扫描的综合集合(RHUH-GBM)。

The Río Hortega University Hospital Glioblastoma dataset: A comprehensive collection of preoperative, early postoperative and recurrence MRI scans (RHUH-GBM).

作者信息

Cepeda Santiago, García-García Sergio, Arrese Ignacio, Herrero Francisco, Escudero Trinidad, Zamora Tomás, Sarabia Rosario

机构信息

Department of Neurosurgery, Río Hortega University Hospital, Dulzaina 2, 47012 Valladolid, Spain.

Department of Radiology, Río Hortega University Hospital, Dulzaina 2, 47012 Valladolid, Spain.

出版信息

Data Brief. 2023 Sep 23;50:109617. doi: 10.1016/j.dib.2023.109617. eCollection 2023 Oct.

Abstract

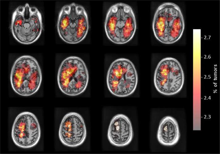
Glioblastoma, a highly aggressive primary brain tumor, is associated with poor patient outcomes. Although magnetic resonance imaging (MRI) plays a critical role in diagnosing, characterizing, and forecasting glioblastoma progression, public MRI repositories present significant drawbacks, including insufficient postoperative and follow-up studies as well as expert tumor segmentations. To address these issues, we present the "Río Hortega University Hospital Glioblastoma Dataset (RHUH-GBM)," a collection of multiparametric MRI images, volumetric assessments, molecular data, and survival details for glioblastoma patients who underwent total or near-total enhancing tumor resection. The dataset features expert-corrected segmentations of tumor subregions, offering valuable ground truth data for developing algorithms for postoperative and follow-up MRI scans.

摘要

胶质母细胞瘤是一种极具侵袭性的原发性脑肿瘤,与患者的不良预后相关。尽管磁共振成像(MRI)在胶质母细胞瘤的诊断、特征描述和进展预测中起着关键作用,但公共MRI数据库存在显著缺陷,包括术后和随访研究不足以及缺乏专家肿瘤分割。为了解决这些问题,我们展示了“里奥奥尔特加大学医院胶质母细胞瘤数据集(RHUH-GBM)”,这是一个多参数MRI图像、体积评估、分子数据以及接受了全部或接近全部增强肿瘤切除的胶质母细胞瘤患者生存细节的集合。该数据集具有经专家校正的肿瘤子区域分割,为开发术后和随访MRI扫描算法提供了有价值的地面真值数据。

https://cdn.ncbi.nlm.nih.gov/pmc/blobs/0ef7/10551826/95fd5b1ecd1c/gr1.jpg

文献AI研究员

20分钟写一篇综述,助力文献阅读效率提升50倍。

立即体验

用中文搜PubMed

大模型驱动的PubMed中文搜索引擎

马上搜索

文档翻译

学术文献翻译模型,支持多种主流文档格式。

立即体验