Suppr超能文献

子痫前期相关的长链非编码RNA FEZF1-AS1通过ELAVL1/NOC2L轴调节胎盘滋养层细胞的增殖和凋亡。

Preeclampsia-associated lncRNA FEZF1-AS1 regulates cell proliferation and apoptosis in placental trophoblast cells through the ELAVL1/NOC2L axis.

作者信息

Zhao Xudong, Su Fengyun, Guo Qing, Tao Xiuhong, Wang Huifeng, Wang Hongling, Li Qinwen, Zhang Wangmeng

机构信息

Department of Obstetrics, The Affiliated Taian City Central Hospital of Qingdao University, No.29, Longtan Road, Taian, 271000, Shandong, People's Republic of China.

Department of Pharmacy, The Second Affiliated Hospital Of Shandong First Medical University, Taian, 271000, Shandong, People's Republic of China.

出版信息

Cell Div. 2023 Oct 23;18(1):17. doi: 10.1186/s13008-023-00101-x.

Abstract

BACKGROUND

LncRNAs have been shown to be involved in and control the biological processes of multiple diseases, including preeclampsia (PE). The impairment of trophoblast cell proliferation is recognized as a significant anomaly contributing to the development of PE. LncRNA FEZF1-AS1 was found downregulated in placental tissues of PE patients. However, the precise regulatory mechanism of FEZF1-AS1 in placental trophoblast proliferation and apoptosis remains unclear.

RESULTS

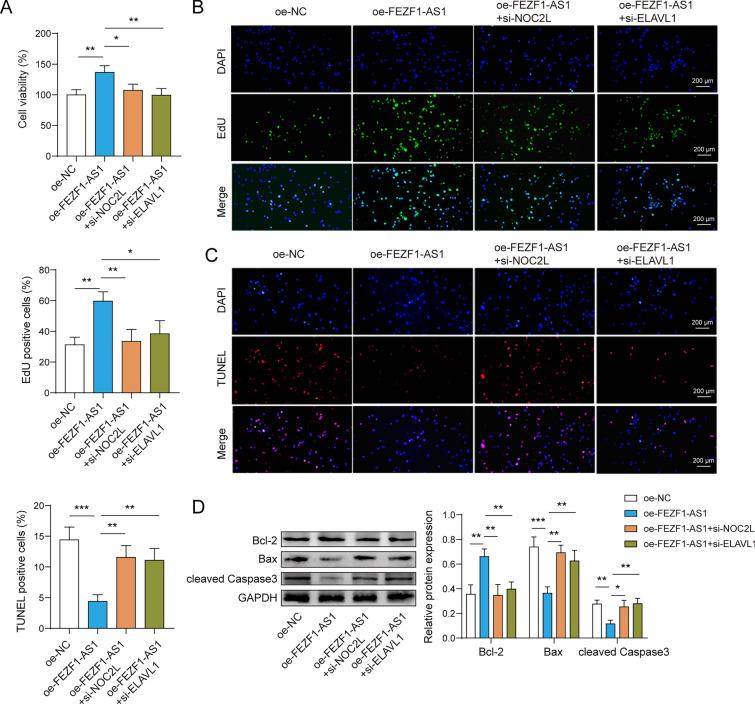
In this study, we conducted an investigation into the expression levels of FEZF1-AS1 and NOC2L in placental tissues obtained from patients diagnosed with PE. Subsequently, we employed CCK-8 and EdU assays to quantify cell proliferation, while TUNEL staining and western blot for apoptosis-related protein detection to assess apoptosis. Furthermore, the interactions between FEZF1-AS1 and ELAVL1, as well as NOC2L and ELAVL1, were confirmed through the implementation of RIP and RNA pull-down assays. We found a downregulation of lncRNA FEZF1-AS1 and NOC2L in placental tissues of PE patients. Overexpression of FEZF1-AS1 or NOC2L resulted in increased cell proliferation and inhibition of apoptosis, whereas knockdown of FEZF1-AS1 or NOC2L had the opposite effect. In addition, lncRNA FEZF1-AS1 stabilized NOC2L mRNA expression by interacting with ELAVL1. Moreover, partial reversal of the effects of FEZF1-AS1 overexpression on cell proliferation and apoptosis was observed upon suppression of ELAVL1 or NOC2L.

CONCLUSIONS

PE related lncRNA FEZF1-AS1 could regulate apoptosis and proliferation of placental trophoblast cells through the ELAVL1/NOC2L axis.

摘要

背景

长链非编码RNA(lncRNAs)已被证明参与并控制包括子痫前期(PE)在内的多种疾病的生物学过程。滋养层细胞增殖受损被认为是导致PE发生的一个重要异常因素。研究发现lncRNA FEZF1-AS1在PE患者的胎盘组织中表达下调。然而,FEZF1-AS1在胎盘滋养层细胞增殖和凋亡中的精确调控机制仍不清楚。

结果

在本研究中,我们调查了诊断为PE的患者胎盘组织中FEZF1-AS1和NOC2L的表达水平。随后,我们采用CCK-8和EdU检测来量化细胞增殖,同时通过TUNEL染色和蛋白质免疫印迹法检测凋亡相关蛋白来评估细胞凋亡。此外,通过实施RNA免疫沉淀(RIP)和RNA下拉实验,证实了FEZF1-AS1与ELAVL1以及NOC2L与ELAVL1之间的相互作用。我们发现PE患者胎盘组织中lncRNA FEZF1-AS1和NOC2L表达下调。FEZF1-AS1或NOC2L的过表达导致细胞增殖增加并抑制细胞凋亡,而FEZF1-AS1或NOC2L的敲低则产生相反的效果。此外,lncRNA FEZF1-AS1通过与ELAVL1相互作用稳定NOC2L mRNA的表达。而且,在抑制ELAVL1或NOC2L后,观察到FEZF1-AS1过表达对细胞增殖和凋亡的影响部分逆转。

结论

与PE相关的lncRNA FEZF1-AS1可通过ELAVL1/NOC2L轴调节胎盘滋养层细胞的凋亡和增殖。

https://cdn.ncbi.nlm.nih.gov/pmc/blobs/4c05/10591422/293a7a0d8538/13008_2023_101_Fig1_HTML.jpg

文献AI研究员

20分钟写一篇综述,助力文献阅读效率提升50倍。

立即体验

用中文搜PubMed

大模型驱动的PubMed中文搜索引擎

马上搜索

文档翻译

学术文献翻译模型,支持多种主流文档格式。

立即体验