• 文献检索
  • 文档翻译
  • 深度研究
  • 学术资讯
  • Suppr Zotero 插件Zotero 插件
  • 邀请有礼
  • 套餐&价格
  • 历史记录
应用&插件
Suppr Zotero 插件Zotero 插件浏览器插件Mac 客户端Windows 客户端微信小程序
定价
高级版会员购买积分包购买API积分包
服务
文献检索文档翻译深度研究API 文档MCP 服务
关于我们
关于 Suppr公司介绍联系我们用户协议隐私条款
关注我们

Suppr 超能文献

核心技术专利:CN118964589B侵权必究
粤ICP备2023148730 号-1Suppr @ 2026

文献检索

告别复杂PubMed语法,用中文像聊天一样搜索,搜遍4000万医学文献。AI智能推荐,让科研检索更轻松。

立即免费搜索

文件翻译

保留排版,准确专业,支持PDF/Word/PPT等文件格式,支持 12+语言互译。

免费翻译文档

深度研究

AI帮你快速写综述,25分钟生成高质量综述,智能提取关键信息,辅助科研写作。

立即免费体验

长链非编码 RNA FEZF1-AS1 通过调控 miR-130a-5p/SOX4 轴促进卵巢癌细胞的进展。

Long non-coding RNA FEZF1-AS1 induced progression of ovarian cancer via regulating miR-130a-5p/SOX4 axis.

机构信息

Department of Gynaecology and Obstetrics, China-Japan Union Hospital of Jilin University, Changchun, China.

出版信息

J Cell Mol Med. 2020 Apr;24(7):4275-4285. doi: 10.1111/jcmm.15088. Epub 2020 Mar 5.

DOI:10.1111/jcmm.15088
PMID:32135030
原文链接:https://pmc.ncbi.nlm.nih.gov/articles/PMC7171310/
Abstract

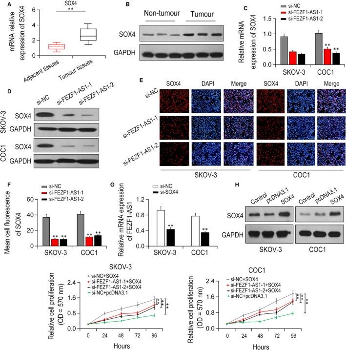
Emerging studies have revealed the critical role of long non-coding RNAs (lncRNAs) in epithelial ovarian cancer (EOC) development and progression. Till now, the roles and potential mechanisms regarding FEZF1 antisense RNA 1 (FEZF1-AS1) within ovarian cancer (OC) remain unclear. The objective of this study was to uncover the biological function and the underlying mechanism of LncRNA FEZF1-AS1 in OC progression. FEZF1-AS1 expression levels were studied in cell lines and tissues of human ovarian cancer. In vitro studies were performed to evaluate the impact of FEZF1-AS1 knock-down on the proliferation, invasion, migration and apoptosis of OC cells. Interactions of FEZF1-AS1 and its target genes were identified by luciferase reporter assays. Our data showed overexpression of FEZF1-AS1 in OC cell lines and tissues. Cell migration, proliferation, invasion, wound healing and colony formation were suppressed by silencing of FEZF1-AS1. In contrast, cell apoptosis was promoted by FEZF1-AS1 knock-down in vitro. Furthermore, online bioinformatics analysis and tools suggested that FEZF1-AS1 directly bound to miR-130a-5p and suppressed its expression. Moreover, the inhibitory effects of miR-130a-5p on the OC cell growth were reversed by FEZF1-AS1 overexpression, which was associated with the increase in SOX4 expression. In conclusion, our results revealed that FEZF1-AS1 promoted the metastasis and proliferation of OC cells by targeting miR-130a-5p and its downstream SOX4 expression.

摘要

新兴研究揭示了长非编码 RNA(lncRNA)在卵巢上皮性癌(EOC)发展和进展中的关键作用。到目前为止,FEZF1 反义 RNA 1(FEZF1-AS1)在卵巢癌(OC)中的作用和潜在机制尚不清楚。本研究旨在揭示 LncRNA FEZF1-AS1 在 OC 进展中的生物学功能和潜在机制。研究了人卵巢癌细胞系和组织中的 FEZF1-AS1 表达水平。进行了体外研究,以评估 FEZF1-AS1 敲低对 OC 细胞增殖、侵袭、迁移和凋亡的影响。通过荧光素酶报告基因测定鉴定 FEZF1-AS1 及其靶基因之间的相互作用。我们的数据显示 FEZF1-AS1 在 OC 细胞系和组织中过表达。沉默 FEZF1-AS1 抑制细胞迁移、增殖、侵袭、伤口愈合和集落形成。相比之下,FEZF1-AS1 敲低在体外促进细胞凋亡。此外,在线生物信息学分析和工具表明,FEZF1-AS1 直接与 miR-130a-5p 结合并抑制其表达。此外,FEZF1-AS1 过表达逆转了 miR-130a-5p 对 OC 细胞生长的抑制作用,这与 SOX4 表达的增加有关。总之,我们的研究结果表明,FEZF1-AS1 通过靶向 miR-130a-5p 及其下游 SOX4 表达促进 OC 细胞的转移和增殖。

https://cdn.ncbi.nlm.nih.gov/pmc/blobs/5a2c/7171310/10dae7389aa1/JCMM-24-4275-g007.jpg
https://cdn.ncbi.nlm.nih.gov/pmc/blobs/5a2c/7171310/2478ff2ca4f8/JCMM-24-4275-g001.jpg
https://cdn.ncbi.nlm.nih.gov/pmc/blobs/5a2c/7171310/2cf2759e343b/JCMM-24-4275-g002.jpg
https://cdn.ncbi.nlm.nih.gov/pmc/blobs/5a2c/7171310/8a19a945828c/JCMM-24-4275-g003.jpg
https://cdn.ncbi.nlm.nih.gov/pmc/blobs/5a2c/7171310/d1c1828de6b7/JCMM-24-4275-g004.jpg
https://cdn.ncbi.nlm.nih.gov/pmc/blobs/5a2c/7171310/f43f0dd42a6d/JCMM-24-4275-g005.jpg
https://cdn.ncbi.nlm.nih.gov/pmc/blobs/5a2c/7171310/62cdd97e20f0/JCMM-24-4275-g006.jpg
https://cdn.ncbi.nlm.nih.gov/pmc/blobs/5a2c/7171310/10dae7389aa1/JCMM-24-4275-g007.jpg
https://cdn.ncbi.nlm.nih.gov/pmc/blobs/5a2c/7171310/2478ff2ca4f8/JCMM-24-4275-g001.jpg
https://cdn.ncbi.nlm.nih.gov/pmc/blobs/5a2c/7171310/2cf2759e343b/JCMM-24-4275-g002.jpg
https://cdn.ncbi.nlm.nih.gov/pmc/blobs/5a2c/7171310/8a19a945828c/JCMM-24-4275-g003.jpg
https://cdn.ncbi.nlm.nih.gov/pmc/blobs/5a2c/7171310/d1c1828de6b7/JCMM-24-4275-g004.jpg
https://cdn.ncbi.nlm.nih.gov/pmc/blobs/5a2c/7171310/f43f0dd42a6d/JCMM-24-4275-g005.jpg
https://cdn.ncbi.nlm.nih.gov/pmc/blobs/5a2c/7171310/62cdd97e20f0/JCMM-24-4275-g006.jpg
https://cdn.ncbi.nlm.nih.gov/pmc/blobs/5a2c/7171310/10dae7389aa1/JCMM-24-4275-g007.jpg

相似文献

1
Long non-coding RNA FEZF1-AS1 induced progression of ovarian cancer via regulating miR-130a-5p/SOX4 axis.长链非编码 RNA FEZF1-AS1 通过调控 miR-130a-5p/SOX4 轴促进卵巢癌细胞的进展。
J Cell Mol Med. 2020 Apr;24(7):4275-4285. doi: 10.1111/jcmm.15088. Epub 2020 Mar 5.
2
LncRNA MNX1-AS1 promotes ovarian cancer process via targeting the miR-744-5p/SOX12 axis.长链非编码 RNA MNX1-AS1 通过靶向 miR-744-5p/SOX12 轴促进卵巢癌细胞进程。
J Ovarian Res. 2021 Nov 17;14(1):161. doi: 10.1186/s13048-021-00910-0.
3
[Overexpression of lncRNA FEZF1-AS1 promotes progression of non-small cell lung cancer the miR-130a-5p/CCND1 axis].[长链非编码RNA FEZF1-AS1的过表达通过miR-130a-5p/CCND1轴促进非小细胞肺癌进展]
Nan Fang Yi Ke Da Xue Xue Bao. 2024 May 20;44(5):841-850. doi: 10.12122/j.issn.1673-4254.2024.05.05.
4
The lncRNA FEZF1-AS1 Promotes the Progression of Colorectal Cancer Through Regulating OTX1 and Targeting miR-30a-5p.长链非编码 RNA FEZF1-AS1 通过调控 OTX1 并靶向 miR-30a-5p 促进结直肠癌的进展。
Oncol Res. 2020 Feb 7;28(1):51-63. doi: 10.3727/096504019X15619783964700. Epub 2019 Jul 3.
5
Long noncoding RNA MLK7-AS1 promotes ovarian cancer cells progression by modulating miR-375/YAP1 axis.长链非编码 RNA MLK7-AS1 通过调节 miR-375/YAP1 轴促进卵巢癌细胞的进展。
J Exp Clin Cancer Res. 2018 Sep 24;37(1):237. doi: 10.1186/s13046-018-0910-4.
6
Rhophilin rho GTPase binding protein 1-antisense RNA 1 (RHPN1-AS1) promotes ovarian carcinogenesis by sponging microRNA-485-5p and releasing DNA topoisomerase II alpha ().RHPN1-AS1 通过海绵吸附 microRNA-485-5p 并释放 DNA 拓扑异构酶 IIα()促进卵巢癌发生。
Bioengineered. 2021 Dec;12(2):12003-12022. doi: 10.1080/21655979.2021.2002494.
7
LncRNA FGD5-AS1 promotes the malignant phenotypes of ovarian cancer cells via targeting miR-142-5p.长链非编码 RNA FGD5-AS1 通过靶向 miR-142-5p 促进卵巢癌细胞的恶性表型。
Apoptosis. 2021 Jun;26(5-6):348-360. doi: 10.1007/s10495-021-01674-0. Epub 2021 May 11.
8
Long non-coding RNA FEZF1-AS1 promotes the proliferation and metastasis of hepatocellular carcinoma via targeting miR-107/Wnt/β-catenin axis.长链非编码 RNA FEZF1-AS1 通过靶向 miR-107/Wnt/β-catenin 轴促进肝癌的增殖和转移。
Aging (Albany NY). 2021 May 23;13(10):13726-13738. doi: 10.18632/aging.202960.
9
LncRNA FLVCR1-AS1 mediates miR-513/YAP1 signaling to promote cell progression, migration, invasion and EMT process in ovarian cancer.长链非编码 RNA FLVCR1-AS1 通过调节 miR-513/YAP1 信号通路促进卵巢癌细胞的进展、迁移、侵袭和 EMT 过程。
J Exp Clin Cancer Res. 2019 Aug 14;38(1):356. doi: 10.1186/s13046-019-1356-z.
10
LncRNA HOXD-AS1 promotes epithelial ovarian cancer cells proliferation and invasion by targeting miR-133a-3p and activating Wnt/β-catenin signaling pathway.长链非编码 RNA HOXD-AS1 通过靶向 miR-133a-3p 并激活 Wnt/β-catenin 信号通路促进卵巢癌细胞的增殖和侵袭。
Biomed Pharmacother. 2017 Dec;96:1216-1221. doi: 10.1016/j.biopha.2017.11.096. Epub 2017 Nov 26.

引用本文的文献

1
FEZF1-AS1 drives autophagy-mediated progression of colon cancer and reduces chemosensitivity through inhabiting the PI3K/AKT/mTOR signaling pathway.FEZF1反义RNA1通过抑制PI3K/AKT/mTOR信号通路驱动自噬介导的结肠癌进展并降低化疗敏感性。
Front Genet. 2025 Jul 24;16:1514205. doi: 10.3389/fgene.2025.1514205. eCollection 2025.
2
Latest Update on lncRNA in Epithelial Ovarian Cancer-A Scoping Review.上皮性卵巢癌中长链非编码RNA的最新进展——一项综述。
Cells. 2025 Apr 7;14(7):555. doi: 10.3390/cells14070555.
3
LncRNA THUMPD3-AS1/microRNA-4465/KPNA2 axis impacts human hepatocellular carcinoma cell phenotypes.

本文引用的文献

1
MicroRNA-140 inhibits proliferation and promotes apoptosis and cell cycle arrest of prostate cancer via degrading SOX4.微小RNA-140通过降解SOX4抑制前列腺癌的增殖并促进其凋亡和细胞周期阻滞。
J BUON. 2019 Jan-Feb;24(1):249-255.
2
Circular RNA circ-DONSON facilitates gastric cancer growth and invasion via NURF complex dependent activation of transcription factor SOX4.环状 RNA circ-DONSON 通过依赖 NURF 复合物的转录因子 SOX4 激活促进胃癌生长和侵袭。
Mol Cancer. 2019 Mar 28;18(1):45. doi: 10.1186/s12943-019-1006-2.
3
The lncRNA HOXA11-AS promotes glioma cell growth and metastasis by targeting miR-130a-5p/HMGB2.
长链非编码RNA THUMPD3-AS1/微小RNA-4465/KPNA2轴影响人肝癌细胞表型。
Regen Ther. 2025 Jan 23;28:413-420. doi: 10.1016/j.reth.2025.01.010. eCollection 2025 Mar.
4
LINC01320 facilitates cell proliferation and migration of ovarian cancer via regulating PURB/DDB2/NEDD4L/TGF-β axis.LINC01320 通过调节 PURB/DDB2/NEDD4L/TGF-β 轴促进卵巢癌细胞的增殖和迁移。
Sci Rep. 2024 Oct 31;14(1):26233. doi: 10.1038/s41598-024-78255-z.
5
Long Non-coding RNA FOXD2-AS1 Silencing Inhibits Malignant Behaviors of Ovarian Cancer Cells Via miR-324-3p/SOX4 Signaling Axis.长链非编码RNA FOXD2-AS1沉默通过miR-324-3p/SOX4信号轴抑制卵巢癌细胞的恶性行为。
Reprod Sci. 2025 Apr;32(4):1003-1012. doi: 10.1007/s43032-024-01719-0. Epub 2024 Oct 25.
6
LncRNA FEZF1-AS1 facilitates cisplatin resistance in non-small cell lung cancer through modulating the miR-32-5p-glutaminase axis.长链非编码RNA FEZF1-AS1通过调控miR-32-5p-谷氨酰胺酶轴促进非小细胞肺癌对顺铂的耐药性。
Am J Cancer Res. 2024 Jun 15;14(6):3153-3170. doi: 10.62347/WUKN6549. eCollection 2024.
7
The roles of long non-coding RNAs in ovarian cancer: from functions to therapeutic implications.长链非编码RNA在卵巢癌中的作用:从功能到治疗意义
Front Oncol. 2024 Apr 25;14:1332528. doi: 10.3389/fonc.2024.1332528. eCollection 2024.
8
MicroRNAs, long non-coding RNAs, and circular RNAs and gynecological cancers: focus on metastasis.微小RNA、长链非编码RNA和环状RNA与妇科癌症:聚焦转移
Front Oncol. 2023 Oct 3;13:1215194. doi: 10.3389/fonc.2023.1215194. eCollection 2023.
9
Long non-coding RNA FEZF1-AS1 promotes rectal cancer progression by competitively binding miR-632 with FAM83A.长链非编码 RNA FEZF1-AS1 通过与 FAM83A 竞争性结合 miR-632 促进直肠癌细胞的进展。
Acta Biochim Biophys Sin (Shanghai). 2022 Apr 25;54(4):452-462. doi: 10.3724/abbs.2022022.
10
The long and short non-coding RNAs modulating EZH2 signaling in cancer.长链和短链非编码 RNA 调节癌症中的 EZH2 信号通路。
J Hematol Oncol. 2022 Mar 2;15(1):18. doi: 10.1186/s13045-022-01235-1.
长链非编码 RNA HOXA11-AS 通过靶向 miR-130a-5p/HMGB2 促进神经胶质瘤细胞的生长和转移。
Eur Rev Med Pharmacol Sci. 2019 Jan;23(1):241-252. doi: 10.26355/eurrev_201901_16770.
4
miR-23b-3p and miR-130a-5p affect cell growth, migration and invasion by targeting CB1R via the Wnt/β-catenin signaling pathway in gastric carcinoma.在胃癌中,miR-23b-3p和miR-130a-5p通过Wnt/β-连环蛋白信号通路靶向CB1R来影响细胞的生长、迁移和侵袭。
Onco Targets Ther. 2018 Oct 25;11:7503-7512. doi: 10.2147/OTT.S181706. eCollection 2018.
5
MicroRNA‑339‑5p inhibits cell proliferation of acute myeloid leukaemia by directly targeting SOX4.微小 RNA-339-5p 通过直接靶向 SOX4 抑制急性髓系白血病细胞增殖。
Mol Med Rep. 2018 Dec;18(6):5261-5269. doi: 10.3892/mmr.2018.9552. Epub 2018 Oct 10.
6
The emerging role of lncRNAs in the regulation of cancer stem cells.长链非编码 RNA 在癌症干细胞调控中的新兴作用。
Cell Oncol (Dordr). 2018 Dec;41(6):585-603. doi: 10.1007/s13402-018-0406-4. Epub 2018 Sep 14.
7
Long non-coding RNA FEZF1-AS1 promotes cell invasion and epithelial-mesenchymal transition through JAK2/STAT3 signaling pathway in human hepatocellular carcinoma.长链非编码 RNA FEZF1-AS1 通过 JAK2/STAT3 信号通路促进人肝癌细胞侵袭和上皮间质转化。
Biomed Pharmacother. 2018 Oct;106:134-141. doi: 10.1016/j.biopha.2018.05.116. Epub 2018 Jun 26.
8
LncRNA-FEZF1-AS1 Promotes Tumor Proliferation and Metastasis in Colorectal Cancer by Regulating PKM2 Signaling.LncRNA-FEZF1-AS1 通过调节 PKM2 信号促进结直肠癌的肿瘤增殖和转移。
Clin Cancer Res. 2018 Oct 1;24(19):4808-4819. doi: 10.1158/1078-0432.CCR-17-2967. Epub 2018 Jun 18.
9
An androgen receptor negatively induced long non-coding RNA ARNILA binding to miR-204 promotes the invasion and metastasis of triple-negative breast cancer.雄激素受体负诱导长非编码 RNA ARNILA 与 miR-204 结合,促进三阴性乳腺癌的侵袭和转移。
Cell Death Differ. 2018 Dec;25(12):2209-2220. doi: 10.1038/s41418-018-0123-6. Epub 2018 May 29.
10
FEZF1-AS1/miR-107/ZNF312B axis facilitates progression and Warburg effect in pancreatic ductal adenocarcinoma.FEZF1-AS1/miR-107/ZNF312B 轴促进胰腺导管腺癌的进展和瓦博格效应。
Cell Death Dis. 2018 Jan 18;9(2):34. doi: 10.1038/s41419-017-0052-1.