• 文献检索
  • 文档翻译
  • 深度研究
  • 学术资讯
  • Suppr Zotero 插件Zotero 插件
  • 邀请有礼
  • 套餐&价格
  • 历史记录
应用&插件
Suppr Zotero 插件Zotero 插件浏览器插件Mac 客户端Windows 客户端微信小程序
定价
高级版会员购买积分包购买API积分包
服务
文献检索文档翻译深度研究API 文档MCP 服务
关于我们
关于 Suppr公司介绍联系我们用户协议隐私条款
关注我们

Suppr 超能文献

核心技术专利:CN118964589B侵权必究
粤ICP备2023148730 号-1Suppr @ 2026

文献检索

告别复杂PubMed语法,用中文像聊天一样搜索,搜遍4000万医学文献。AI智能推荐,让科研检索更轻松。

立即免费搜索

文件翻译

保留排版,准确专业,支持PDF/Word/PPT等文件格式,支持 12+语言互译。

免费翻译文档

深度研究

AI帮你快速写综述,25分钟生成高质量综述,智能提取关键信息,辅助科研写作。

立即免费体验

高迁移率族蛋白 B1(HMGB1)诱导星形胶质细胞中铁调素(hepcidin)的上调,导致缺血后大脑中出现急性铁超载和随后的铁死亡。

HMGB1 induces hepcidin upregulation in astrocytes and causes an acute iron surge and subsequent ferroptosis in the postischemic brain.

机构信息

Department of Anatomy, Inha University School of Medicine, Incheon, 22212, Korea.

Department of Biomedical Sciences, Inha University School of Medicine, Inchon, 22212, Korea.

出版信息

Exp Mol Med. 2023 Nov;55(11):2402-2416. doi: 10.1038/s12276-023-01111-z. Epub 2023 Nov 1.

DOI:10.1038/s12276-023-01111-z
PMID:37907744
原文链接:https://pmc.ncbi.nlm.nih.gov/articles/PMC10689467/
Abstract

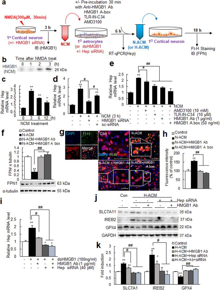
Dysregulation of brain iron levels causes functional disturbances and damages neurons. Hepcidin (a peptide hormone) plays a principal role in regulating intracellular iron levels by modulating ferroportin (FPN, the only known iron exporter) through triggering its internalization and lysosomal degradation. We observed a significant and rapid iron surge in the cortices of ischemic hemispheres at 3 h after cerebral ischemia (middle cerebral artery occlusion, MCAO) that was maintained until 4 d post-MCAO. We showed upregulation of hepcidin expression in the brain as early as 3 h post-MCAO, mainly in astrocytes, and significant hepcidin accumulation in serum from 6 h post-MCAO, and these inductions were maintained for 1 day and 7 days, respectively. High mobility group box 1 (HMGB1), a prototypic danger-associated molecular pattern, accumulates markedly after transient MCAO and plays critical roles in damage aggravation via its proinflammatory effects. Here, we demonstrated that treatment with recombinant HMGB1 stimulated astrocytes to induce hepcidin expression in a TLR4- and CXCR4-dependent manner. Furthermore, hepcidin-mediated intracellular iron accumulation in neurons was confirmed by an experiment using N-methyl-D-aspartate (NMDA)-conditioned medium-treated primary astrocytes and fresh primary cortical neurons treated with hepcidin-containing astrocyte-conditioned medium. Moreover, HMGB1-mediated local hepcidin upregulation and subsequent local iron surge were found to cause ferroptosis in the postischemic brain, which was suppressed by the functional blocking of HMGB1 using intranasally administered HMGB1 A box or anti-HMGB1 antibody. These findings show that HMGB1 serves as a ferroptosis inducer by upregulating hepcidin in astrocytes and thus aggravates acute damage in the postischemic brain.

摘要

脑铁水平失调会导致功能紊乱和神经元损伤。铁调素(一种肽激素)通过触发其内化和溶酶体降解来调节铁蛋白(FPN,已知唯一的铁输出蛋白),从而在调节细胞内铁水平方面发挥主要作用。我们观察到,脑缺血(大脑中动脉闭塞,MCAO)后 3 小时缺血半球皮质中的铁含量显著快速增加,直到 MCAO 后 4 天仍保持不变。我们发现,脑缺血后 3 小时铁调素表达上调,主要在星形胶质细胞中,MCAO 后 6 小时血清中显著积累铁调素,这些诱导分别持续 1 天和 7 天。高迁移率族蛋白 B1(HMGB1)是一种典型的危险相关分子模式,在短暂性 MCAO 后明显积累,并通过其促炎作用在损伤加重中发挥关键作用。在这里,我们证明了用重组 HMGB1 处理可刺激星形胶质细胞以 TLR4 和 CXCR4 依赖的方式诱导铁调素表达。此外,通过用 N-甲基-D-天冬氨酸(NMDA)条件培养基处理原代星形胶质细胞和用含有铁调素的星形胶质细胞条件培养基处理新鲜原代皮质神经元的实验证实了铁调素介导的神经元内铁积累。此外,发现 HMGB1 介导的局部铁调素上调和随后的局部铁激增导致缺血后脑中的铁死亡,这可以通过用鼻内给予 HMGB1 A 盒或抗 HMGB1 抗体对 HMGB1 进行功能阻断来抑制。这些发现表明,HMGB1 通过在星形胶质细胞中上调铁调素来充当铁死亡诱导剂,从而加重缺血后大脑的急性损伤。

https://cdn.ncbi.nlm.nih.gov/pmc/blobs/270e/10689467/82390cb3bb8f/12276_2023_1111_Fig8_HTML.jpg
https://cdn.ncbi.nlm.nih.gov/pmc/blobs/270e/10689467/a6682c62cba4/12276_2023_1111_Fig1_HTML.jpg
https://cdn.ncbi.nlm.nih.gov/pmc/blobs/270e/10689467/a8b80d1e120c/12276_2023_1111_Fig2_HTML.jpg
https://cdn.ncbi.nlm.nih.gov/pmc/blobs/270e/10689467/13c3e6ab0125/12276_2023_1111_Fig3_HTML.jpg
https://cdn.ncbi.nlm.nih.gov/pmc/blobs/270e/10689467/2914fe7721d4/12276_2023_1111_Fig4_HTML.jpg
https://cdn.ncbi.nlm.nih.gov/pmc/blobs/270e/10689467/b2f0b89a7105/12276_2023_1111_Fig5_HTML.jpg
https://cdn.ncbi.nlm.nih.gov/pmc/blobs/270e/10689467/5ae330657ec0/12276_2023_1111_Fig6_HTML.jpg
https://cdn.ncbi.nlm.nih.gov/pmc/blobs/270e/10689467/e83dd86594b5/12276_2023_1111_Fig7_HTML.jpg
https://cdn.ncbi.nlm.nih.gov/pmc/blobs/270e/10689467/82390cb3bb8f/12276_2023_1111_Fig8_HTML.jpg
https://cdn.ncbi.nlm.nih.gov/pmc/blobs/270e/10689467/a6682c62cba4/12276_2023_1111_Fig1_HTML.jpg
https://cdn.ncbi.nlm.nih.gov/pmc/blobs/270e/10689467/a8b80d1e120c/12276_2023_1111_Fig2_HTML.jpg
https://cdn.ncbi.nlm.nih.gov/pmc/blobs/270e/10689467/13c3e6ab0125/12276_2023_1111_Fig3_HTML.jpg
https://cdn.ncbi.nlm.nih.gov/pmc/blobs/270e/10689467/2914fe7721d4/12276_2023_1111_Fig4_HTML.jpg
https://cdn.ncbi.nlm.nih.gov/pmc/blobs/270e/10689467/b2f0b89a7105/12276_2023_1111_Fig5_HTML.jpg
https://cdn.ncbi.nlm.nih.gov/pmc/blobs/270e/10689467/5ae330657ec0/12276_2023_1111_Fig6_HTML.jpg
https://cdn.ncbi.nlm.nih.gov/pmc/blobs/270e/10689467/e83dd86594b5/12276_2023_1111_Fig7_HTML.jpg
https://cdn.ncbi.nlm.nih.gov/pmc/blobs/270e/10689467/82390cb3bb8f/12276_2023_1111_Fig8_HTML.jpg

相似文献

1
HMGB1 induces hepcidin upregulation in astrocytes and causes an acute iron surge and subsequent ferroptosis in the postischemic brain.高迁移率族蛋白 B1(HMGB1)诱导星形胶质细胞中铁调素(hepcidin)的上调,导致缺血后大脑中出现急性铁超载和随后的铁死亡。
Exp Mol Med. 2023 Nov;55(11):2402-2416. doi: 10.1038/s12276-023-01111-z. Epub 2023 Nov 1.
2
Hepatocyte activation and liver injury following cerebral ischemia promote HMGB1-mediated hepcidin upregulation in hepatocytes and regulation of systemic iron levels.脑缺血后肝细胞的激活和损伤促进了 HMGB1 介导的肝细胞内铁调素的上调和系统铁水平的调节。
Exp Mol Med. 2024 Oct;56(10):2171-2183. doi: 10.1038/s12276-024-01314-y. Epub 2024 Oct 1.
3
Role of HMGB1/TLR4 Axis in Ischemia/Reperfusion-Impaired Extracellular Glutamate Clearance in Primary Astrocytes.HMGB1/TLR4 轴在原代星形胶质细胞缺血/再灌注损伤引起的细胞外谷氨酸清除障碍中的作用。
Cells. 2020 Dec 3;9(12):2585. doi: 10.3390/cells9122585.
4
Induction and subcellular localization of high-mobility group box-1 (HMGB1) in the postischemic rat brain.高迁移率族蛋白B1(HMGB1)在大鼠脑缺血后的诱导表达及亚细胞定位
J Neurosci Res. 2008 Apr;86(5):1125-31. doi: 10.1002/jnr.21555.
5
Alarmin HMGB1 induces systemic and brain inflammatory exacerbation in post-stroke infection rat model.高迁移率族蛋白 B1(HMGB1)作为警报素可诱导卒中后感染大鼠模型发生全身及脑部炎症加重。
Cell Death Dis. 2018 Apr 1;9(4):426. doi: 10.1038/s41419-018-0438-8.
6
Intranasal delivery of HMGB1-binding heptamer peptide confers a robust neuroprotection in the postischemic brain.HMGB1 结合七肽经鼻腔给药在缺血后脑中提供强大的神经保护作用。
Neurosci Lett. 2012 Sep 13;525(2):179-83. doi: 10.1016/j.neulet.2012.07.040. Epub 2012 Jul 31.
7
Neutrophil extracellular trap induced by HMGB1 exacerbates damages in the ischemic brain.高迁移率族蛋白 B1 诱导的中性粒细胞胞外诱捕网加重缺血性脑损伤。
Acta Neuropathol Commun. 2019 Jun 10;7(1):94. doi: 10.1186/s40478-019-0747-x.
8
HMGB1, a novel cytokine-like mediator linking acute neuronal death and delayed neuroinflammation in the postischemic brain.高迁移率族蛋白B1,一种连接缺血性脑损伤后急性神经元死亡和迟发性神经炎症的新型细胞因子样介质。
J Neurosci. 2006 Jun 14;26(24):6413-21. doi: 10.1523/JNEUROSCI.3815-05.2006.
9
The systemic iron-regulatory proteins hepcidin and ferroportin are reduced in the brain in Alzheimer's disease.在阿尔茨海默病中,脑内的系统性铁调节蛋白铁调素和亚铁转运蛋白减少。
Acta Neuropathol Commun. 2013 Sep 3;1:55. doi: 10.1186/2051-5960-1-55.
10
The effect of biodegradable gelatin microspheres on the neuroprotective effects of high mobility group box 1 A box in the postischemic brain.可生物降解明胶微球对缺血后大脑高迁移率族蛋白 1 A 盒的神经保护作用的影响。
Biomaterials. 2011 Jan;32(3):899-908. doi: 10.1016/j.biomaterials.2010.09.054. Epub 2010 Oct 29.

引用本文的文献

1
The potential functions of ferroptosis on urinary stones: mechanisms and therapeutic implications.铁死亡在泌尿系统结石中的潜在作用:机制及治疗意义
Front Physiol. 2025 Aug 20;16:1633468. doi: 10.3389/fphys.2025.1633468. eCollection 2025.
2
Genes That Associated with Action of ACTH-like Peptides with Neuroprotective Potential in Rat Brain Regions with Different Degrees of Ischemic Damage.与具有神经保护潜力的促肾上腺皮质激素样肽在大鼠不同程度缺血性损伤脑区作用相关的基因。
Int J Mol Sci. 2025 Jun 28;26(13):6256. doi: 10.3390/ijms26136256.
3
Different roles of astrocytes in the blood-brain barrier during the acute and recovery phases of stroke.

本文引用的文献

1
Ferrostatin-1 Alleviates White Matter Injury Via Decreasing Ferroptosis Following Spinal Cord Injury.铁死亡抑制因子-1通过减少脊髓损伤后的铁死亡来减轻白质损伤。
Mol Neurobiol. 2022 Jan;59(1):161-176. doi: 10.1007/s12035-021-02571-y. Epub 2021 Oct 12.
2
Protective Effects of Dexazoxane on Rat Ferroptosis in Doxorubicin-Induced Cardiomyopathy Through Regulating HMGB1.右丙亚胺通过调节高迁移率族蛋白B1对阿霉素诱导的大鼠心肌病铁死亡的保护作用
Front Cardiovasc Med. 2021 Jul 14;8:685434. doi: 10.3389/fcvm.2021.685434. eCollection 2021.
3
Mitochondrial ferritin attenuates cerebral ischaemia/reperfusion injury by inhibiting ferroptosis.
星形胶质细胞在中风急性期和恢复期血脑屏障中的不同作用。
Neural Regen Res. 2026 Apr 1;21(4):1359-1372. doi: 10.4103/NRR.NRR-D-24-01417. Epub 2025 Jun 19.
4
O-GlcNAcylation with ubiquitination stabilizes METTL3 to promoting HMGB1 degradation to inhibit ferroptosis and enhance gemcitabine resistance in pancreatic cancer.O-连接的N-乙酰葡糖胺化与泛素化协同作用使METTL3稳定,促进HMGB1降解,从而抑制铁死亡并增强胰腺癌对吉西他滨的耐药性。
Mol Med. 2025 Jun 10;31(1):228. doi: 10.1186/s10020-025-01285-4.
5
Acteoside ameliorates hepatocyte ferroptosis and hepatic ischemia-reperfusion injury targeting PCBP2.毛蕊花糖苷通过靶向PCBP2改善肝细胞铁死亡和肝缺血再灌注损伤。
Acta Pharm Sin B. 2025 Apr;15(4):2077-2094. doi: 10.1016/j.apsb.2025.03.002. Epub 2025 Mar 7.
6
Damage-associated molecular patterns (DAMPs) in vascular diseases.血管疾病中的损伤相关分子模式(DAMPs)
J Biol Chem. 2025 May 15;301(6):110241. doi: 10.1016/j.jbc.2025.110241.
7
Involvement of circadian clock protein PER2 in controlling sleep deprivation induced HMGB1 up-regulation by targeting p300 in the cortex.昼夜节律蛋白PER2通过靶向皮层中的p300参与控制睡眠剥夺诱导的HMGB1上调。
Sci Rep. 2025 Apr 10;15(1):12253. doi: 10.1038/s41598-025-96931-6.
8
Aerobic Exercise Activates Fibroblast Growth Factor 21 and Alleviates Cardiac Ischemia/Reperfusion-induced Neuronal Oxidative Stress and Ferroptosis in Paraventricular Nucleus.有氧运动激活成纤维细胞生长因子21并减轻心脏缺血/再灌注诱导的室旁核神经元氧化应激和铁死亡。
Mol Neurobiol. 2025 Feb 26. doi: 10.1007/s12035-025-04780-1.
9
Intricating connections: the role of ferroptosis in systemic lupus erythematosus.错综复杂的联系:铁死亡在系统性红斑狼疮中的作用
Front Immunol. 2025 Feb 4;16:1534926. doi: 10.3389/fimmu.2025.1534926. eCollection 2025.
10
Blocking peptidyl arginine deiminase 4 confers neuroprotective effect in the post-ischemic brain through both NETosis-dependent and -independent mechanisms.阻断肽基精氨酸脱亚氨酶4通过依赖和不依赖中性粒细胞胞外陷阱形成的机制在缺血后大脑中发挥神经保护作用。
Acta Neuropathol Commun. 2025 Feb 18;13(1):33. doi: 10.1186/s40478-025-01951-y.
线粒体铁蛋白通过抑制铁死亡减轻脑缺血/再灌注损伤。
Cell Death Dis. 2021 May 5;12(5):447. doi: 10.1038/s41419-021-03725-5.
4
Inflaming the Brain with Iron.铁引发脑部炎症
Antioxidants (Basel). 2021 Jan 6;10(1):61. doi: 10.3390/antiox10010061.
5
HMGB1 regulates erastin-induced ferroptosis via RAS-JNK/p38 signaling in HL-60/NRAS cells.HMGB1通过RAS-JNK/p38信号通路在HL-60/NRAS细胞中调节埃拉司亭诱导的铁死亡。
Am J Cancer Res. 2019 Apr 1;9(4):730-739. eCollection 2019.
6
Deciphering the Iron Side of Stroke: Neurodegeneration at the Crossroads Between Iron Dyshomeostasis, Excitotoxicity, and Ferroptosis.解读中风的铁元素影响:铁稳态失衡、兴奋性毒性和铁死亡交叉点上的神经退行性变
Front Neurosci. 2019 Feb 19;13:85. doi: 10.3389/fnins.2019.00085. eCollection 2019.
7
Different Characteristics of Hepcidin Expression in IL-6+/+ and IL-6-/- Neurons and Astrocytes Treated with Lipopolysaccharides.白细胞介素 6(IL-6)+/+ 神经元和星形胶质细胞与脂多糖(LPS)共同孵育后,其铁调素表达呈现不同特征。白细胞介素 6(IL-6)-/- 神经元和星形胶质细胞与脂多糖(LPS)共同孵育后,其铁调素表达呈现不同特征。
Neurochem Res. 2018 Aug;43(8):1624-1630. doi: 10.1007/s11064-018-2577-9. Epub 2018 Jun 19.
8
Alarmin HMGB1 induces systemic and brain inflammatory exacerbation in post-stroke infection rat model.高迁移率族蛋白 B1(HMGB1)作为警报素可诱导卒中后感染大鼠模型发生全身及脑部炎症加重。
Cell Death Dis. 2018 Apr 1;9(4):426. doi: 10.1038/s41419-018-0438-8.
9
Iron released from reactive microglia by noggin improves myelin repair in the ischemic brain.脑源性神经营养因子通过激活小胶质细胞释放铁离子促进缺血性脑损伤中的髓鞘修复。
Neuropharmacology. 2018 May 1;133:202-215. doi: 10.1016/j.neuropharm.2018.01.038. Epub 2018 Jan 31.
10
Iron-loaded transferrin (Tf) is detrimental whereas iron-free Tf confers protection against brain ischemia by modifying blood Tf saturation and subsequent neuronal damage.铁结合转铁蛋白(Tf)是有害的,而无铁 Tf 通过改变血液 Tf 饱和度和随后的神经元损伤对脑缺血提供保护。
Redox Biol. 2018 May;15:143-158. doi: 10.1016/j.redox.2017.11.026. Epub 2017 Dec 2.