Suppr超能文献

妊娠期急性心肌梗死一例:成功的治疗策略。

A Rare Case of Acute Myocardial Infarction in Pregnancy: Successful Treatment Strategies.

机构信息

Department of Anatomy Collegium Medicum, Jan Kochanowski University, Kielce, Poland.

General, Oncological and Endocrinological Surgery Clinic, Voivodeship Hospital, Kielce, Poland.

出版信息

Am J Case Rep. 2023 Nov 14;24:e940790. doi: 10.12659/AJCR.940790.

Abstract

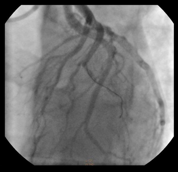
BACKGROUND Acute myocardial infarction during pregnancy is rare, but is associated with a high mortality rate, particularly during labor and delivery. This article concerns a 23-year-old woman with a history of insulin-treated gestational diabetes and hypothyroidism treated with levothyroxine presenting at 32 weeks of pregnancy with acute chest pain and coronary artery occlusion requiring angioplasty followed by cesarean delivery. The aim of this report is to outline the diagnostic difficulties of acute coronary syndromes during pregnancy and to present their treatment. CASE REPORT A 23-year-old female patient at 32 weeks' gestation treated for insulin-dependent diabetes mellitus and hypothyroidism was admitted to the hospital due to acute chest pain. The ECG showed ST-segment elevation in leads I, aVL, and V4-V6 and elevated troponin T. Based on this, the patient was diagnosed with myocardial infarction and given low-molecular heparin, followed by primary coronary angioplasty with revascularization. After the procedure, she received dual antiplatelet therapy (DAPT) with acetylsalicylic acid and clopidogrel. The pregnancy was terminated at 38 weeks by cesarean section, delivering a healthy baby. CONCLUSIONS This report shows the importance of rapid and accurate diagnosis and management of acute myocardial infarction during pregnancy, and delivery by cesarean section, to ensure survival of the mother and the child.

摘要

背景

妊娠合并急性心肌梗死较为罕见,但死亡率较高,尤其是在分娩期间。本文报道了一位 23 岁女性,患有胰岛素治疗的妊娠期糖尿病和甲状腺功能减退症,用左甲状腺素治疗,在妊娠 32 周时出现急性胸痛和冠状动脉闭塞,需要进行血管成形术,随后进行剖宫产。本文旨在概述妊娠期间急性冠状动脉综合征的诊断困难,并介绍其治疗方法。

病例报告

一位 23 岁的女性患者,患有胰岛素依赖型糖尿病和甲状腺功能减退症,在妊娠 32 周时因急性胸痛住院。心电图显示 I、aVL 和 V4-V6 导联的 ST 段抬高和肌钙蛋白 T 升高。基于此,患者被诊断为心肌梗死,并给予低分子肝素,随后进行经皮冠状动脉介入治疗以实现血运重建。手术后,她接受了阿司匹林和氯吡格雷双联抗血小板治疗。在 38 周时通过剖宫产终止妊娠,分娩出一个健康的婴儿。

结论

本报告显示了妊娠期间急性心肌梗死快速准确诊断和管理的重要性,以及通过剖宫产分娩以确保母婴生存的重要性。

https://cdn.ncbi.nlm.nih.gov/pmc/blobs/71ef/10658055/ef2dab6d47ab/amjcaserep-24-e940790-g001.jpg

相似文献

1
A Rare Case of Acute Myocardial Infarction in Pregnancy: Successful Treatment Strategies.
Am J Case Rep. 2023 Nov 14;24:e940790. doi: 10.12659/AJCR.940790.
2
[Myocardial infarction in the 34th week of gestation: case report].
Z Geburtshilfe Neonatol. 2011 Oct;215(5):209-11. doi: 10.1055/s-0031-1271738. Epub 2011 Oct 25.
3
[Chest pain at 32 weeks' gestation: pregnancy-related spontaneous coronary artery dissection].
Anaesthesist. 2016 Sep;65(9):690-5. doi: 10.1007/s00101-016-0209-9. Epub 2016 Aug 2.
5
Acute myocardial infarction associated with pregnancy successfully treated with percutaneous coronary intervention.
Intern Med. 2009;48(16):1383-6. doi: 10.2169/internalmedicine.48.2208. Epub 2009 Aug 17.
6
Myocardial infarction in the 31st week of pregnancy--case report.
Rev Bras Anestesiol. 2011 Mar-Apr;61(2):225-7, 228-31, 120-3. doi: 10.1016/S0034-7094(11)70027-7.
7
Acute myocardial infarction during pregnancy: a clinical checkmate.
Indian Heart J. 2013 Jul-Aug;65(4):464-8. doi: 10.1016/j.ihj.2013.06.016. Epub 2013 Jul 12.
8
[Rapid assessment of thoracic pain. Is it a myocardial infarct?].
MMW Fortschr Med. 2002 Apr 25;144(17):27-30.
9
Peripartum myocardial infarction associated with coronary spasm and acquired protein S deficiency: A case report.
Medicine (Baltimore). 2019 Nov;98(48):e18108. doi: 10.1097/MD.0000000000018108.

本文引用的文献

1
Perioperative management of acute myocardial infarction in the 31st week of pregnancy: A case report and literature review.
Front Surg. 2022 Nov 2;9:1023551. doi: 10.3389/fsurg.2022.1023551. eCollection 2022.
2
Premature Myocardial Infarction: A Rising Threat.
Balkan Med J. 2022 Mar 14;39(2):83-95. doi: 10.4274/balkanmedj.galenos.2022-2-19.
3
Acute Myocardial Infarction in a Patient with Twin Pregnancy: A Case Report.
Clin Pract Cases Emerg Med. 2021 Nov;5(4):507-510. doi: 10.5811/cpcem.2021.6.52939.
4
Recurrent spontaneous coronary artery dissection in the United States.
Int J Cardiol. 2020 Feb 15;301:34-37. doi: 10.1016/j.ijcard.2019.10.052. Epub 2019 Nov 13.
5
Ticagrelor and tirofiban in pregnancy and delivery: beyond labels.
J Thromb Thrombolysis. 2020 Jan;49(1):145-148. doi: 10.1007/s11239-019-01939-1.
6
2018 ESC Guidelines for the management of cardiovascular diseases during pregnancy.
Kardiol Pol. 2019;77(3):245-326. doi: 10.5603/KP.2019.0049.
8
[Fourth universal definition of myocardial infarction (2018)].
Kardiol Pol. 2018;76(10):1383-1415. doi: 10.5603/KP.2018.0203.
9
Spontaneous Coronary Artery Dissection Associated With Pregnancy.
J Am Coll Cardiol. 2017 Jul 25;70(4):426-435. doi: 10.1016/j.jacc.2017.05.055.
10
Hereditary thrombophilia (factor V R2-mutation) as a contributing factor in premature myocardial infarction associated with pregnancy.
Anadolu Kardiyol Derg. 2014 Nov;14(7):652-4. doi: 10.5152/akd.2014.5506. Epub 2014 Aug 22.

文献AI研究员

20分钟写一篇综述,助力文献阅读效率提升50倍。

立即体验

用中文搜PubMed

大模型驱动的PubMed中文搜索引擎

马上搜索

文档翻译

学术文献翻译模型,支持多种主流文档格式。

立即体验