Ma Zhouji, Ding Youjun, Ding Xiaofeng, Mou Haining, Mo Ran, Tan Qian
Department of Burns and Plastic Surgery, Nanjing Drum Tower Hospital Clinical College of Nanjing Medical University, NO. 321, Zhongshan Road, Nanjing, Jiangsu, China.
Department of Burns and Plastic Surgery, Nanjing Drum Tower Hospital Clinical College of Jiangsu University, NO. 321, Zhongshan Road, 210008, Nanjing, Jiangsu, China.
Cell Death Discov. 2023 Nov 25;9(1):424. doi: 10.1038/s41420-023-01725-2.
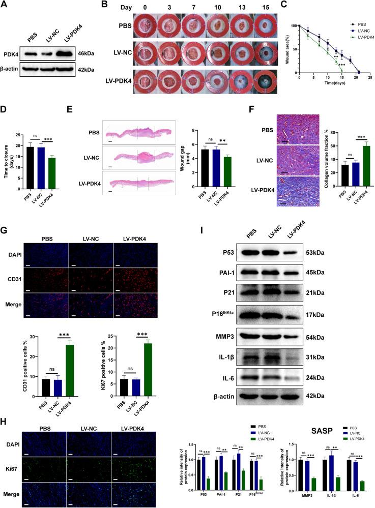
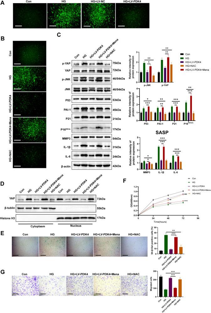
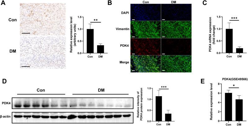
During the process of wound healing, fibroblasts migrate to the wound site and perform essential functions in promoting cell proliferation, as well as synthesizing and secreting the extracellular matrix (ECM). However, in diabetic wounds, senescent fibroblasts exhibit impaired proliferative capacity and fail to synthesize essential ECM components. Pyruvate dehydrogenase kinase 4 (PDK4), a key enzyme regulating energy metabolism, has been implicated in modulating cellular senescence and fibroblast function. However, its specific role in diabetic wounds remains poorly understood. In this study, we conducted a series of in vivo and in vitro experiments using STZ-induced diabetic mice and human dermal fibroblasts. We evaluated cellular senescence markers, including SA-β-gal, P53, P16, P21, and PAI-1, as well as senescence-associated secretory phenotype (SASP) factors. Finally, we observed that PDK4 increased in normal wound healing, but its expression was insufficient in diabetic wounds. Significantly, the overexpression of PDK4 demonstrated the potential to accelerate diabetic wound healing and improve the senescence phenotype both in vivo and in vitro. Furthermore, our study elucidated the underlying mechanism by which PDK4 improved the senescent phenotype through the enhancement of glycolysis and regulation of YAP and JNK pathway. The effect was dependent on metabolic reprogramming and subsequent reduction of reactive oxygen species (ROS), which was mediated by PDK4. Overall, our findings highlight the potential of PDK4 as a promising therapeutic target for addressing diabetic wounds.
在伤口愈合过程中,成纤维细胞迁移至伤口部位,并在促进细胞增殖以及合成和分泌细胞外基质(ECM)方面发挥重要作用。然而,在糖尿病伤口中,衰老的成纤维细胞增殖能力受损,无法合成必需的ECM成分。丙酮酸脱氢酶激酶4(PDK4)是一种调节能量代谢的关键酶,与调节细胞衰老和成纤维细胞功能有关。然而,其在糖尿病伤口中的具体作用仍知之甚少。在本研究中,我们使用链脲佐菌素诱导的糖尿病小鼠和人皮肤成纤维细胞进行了一系列体内和体外实验。我们评估了细胞衰老标志物,包括SA-β-半乳糖苷酶、P53、P16、P21和PAI-1,以及衰老相关分泌表型(SASP)因子。最后,我们观察到PDK4在正常伤口愈合过程中增加,但其在糖尿病伤口中的表达不足。值得注意的是,PDK4的过表达显示出在体内和体外加速糖尿病伤口愈合和改善衰老表型的潜力。此外,我们的研究阐明了PDK4通过增强糖酵解以及调节YAP和JNK途径改善衰老表型的潜在机制。这种作用依赖于代谢重编程以及随后由PDK4介导的活性氧(ROS)的减少。总体而言,我们的研究结果突出了PDK4作为治疗糖尿病伤口的有前景的治疗靶点的潜力。