Suppr超能文献

乳腺局部晚期腺样囊性癌一例报告并文献复习。

Locally Advanced Adenoid Cystic Carcinoma of the Breast-A Case Report with a Review of the Literature.

机构信息

Department of Internal Medicine and Oncological Chemotherapy, Medical University of Silesia in Katowice, 40-055 Katowice, Poland.

Department of Pathomorphology, Medical University of Silesia in Katowice, 40-055 Katowice, Poland.

出版信息

Medicina (Kaunas). 2023 Nov 15;59(11):2005. doi: 10.3390/medicina59112005.

Abstract

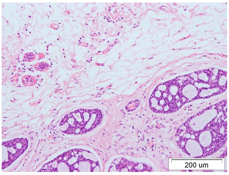
Breast cancer (BC) is a heterogeneous disease distinguished by four main subtypes based on the expression of estrogen, progesterone receptors, and human epidermal growth factor-2 on the cancer cells. Triple-negative breast cancer (TNBC) consists of approximately 10-20% of all BCs and is characterized by a poor prognosis. Adenoid cystic carcinoma (ACC) of the breast is a rare, special type of TNBC with low metastatic potential and usually favorable prognosis. There are no established recommendations concerning systemic therapy in advanced ACC. We present a case of a 70-year-old woman with locally advanced ACC with progression after radical mastectomy, and review the literature concerning the treatment of metastatic disease focused on systemic therapy.

摘要

乳腺癌(BC)是一种异质性疾病,根据癌细胞上雌激素、孕激素受体和人表皮生长因子-2的表达,可分为四个主要亚型。三阴性乳腺癌(TNBC)约占所有 BC 的 10-20%,其预后较差。乳腺腺样囊性癌(ACC)是一种罕见的特殊类型的 TNBC,转移潜能低,通常预后良好。对于晚期 ACC,尚无系统治疗的既定建议。我们报告了一例 70 岁局部晚期 ACC 女性患者,根治性乳房切除术后进展,并复习了转移性疾病治疗的文献,重点关注系统治疗。

https://cdn.ncbi.nlm.nih.gov/pmc/blobs/809b/10673311/e7005775948b/medicina-59-02005-g001.jpg

文献AI研究员

20分钟写一篇综述,助力文献阅读效率提升50倍。

立即体验

用中文搜PubMed

大模型驱动的PubMed中文搜索引擎

马上搜索

文档翻译

学术文献翻译模型,支持多种主流文档格式。

立即体验