• 文献检索
  • 文档翻译
  • 深度研究
  • 学术资讯
  • Suppr Zotero 插件Zotero 插件
  • 邀请有礼
  • 套餐&价格
  • 历史记录
应用&插件
Suppr Zotero 插件Zotero 插件浏览器插件Mac 客户端Windows 客户端微信小程序
定价
高级版会员购买积分包购买API积分包
服务
文献检索文档翻译深度研究API 文档MCP 服务
关于我们
关于 Suppr公司介绍联系我们用户协议隐私条款
关注我们

Suppr 超能文献

核心技术专利:CN118964589B侵权必究
粤ICP备2023148730 号-1Suppr @ 2026

文献检索

告别复杂PubMed语法,用中文像聊天一样搜索,搜遍4000万医学文献。AI智能推荐,让科研检索更轻松。

立即免费搜索

文件翻译

保留排版,准确专业,支持PDF/Word/PPT等文件格式,支持 12+语言互译。

免费翻译文档

深度研究

AI帮你快速写综述,25分钟生成高质量综述,智能提取关键信息,辅助科研写作。

立即免费体验

针对星形胶质细胞中的 CB2R 治疗帕金森病:通过自噬介导的 NLRP3 降解揭示 Foxg1 介导的神经保护机制。

Targeting CB2R in astrocytes for Parkinson's disease therapy: unraveling the Foxg1-mediated neuroprotective mechanism through autophagy-mediated NLRP3 degradation.

机构信息

Department of Neurosurgery, The Second Affiliated Hospital, Jiangxi Medical College, Nanchang University, 1# Minde Road, Nanchang, Jiangxi, People's Republic of China.

Jiangxi Key Laboratory of Neurological Tumors and Cerebrovascular Diseases, Nanchang, China.

出版信息

J Neuroinflammation. 2023 Dec 19;20(1):304. doi: 10.1186/s12974-023-02989-2.

DOI:10.1186/s12974-023-02989-2
PMID:38110963
原文链接:https://pmc.ncbi.nlm.nih.gov/articles/PMC10729372/
Abstract

BACKGROUND

Inflammasomes in astrocytes have been shown to play a crucial role in the pathogenesis of neurodegenerative diseases such as Parkinson's disease (PD) and Alzheimer's disease (AD). Cannabinoid Receptor 2(CB2R), a G protein-coupled receptor (GPCR), is considered a promising therapeutic target in inflammation-related disorders. This study aims to explore the role of CB2R in regulating NOD-like receptor family pyrin domain containing 3 (NLRP3)-mediated neuroinflammation in astrocytes.

METHODS

In an in vivo animal model, specific targeting of astrocytic CB2R was achieved by injecting CB2R-specific adenovirus (or fork head box g1(foxg1) adenovirus) to knock down CB2R or administering CB2R agonists, inhibitors, etc., in the substantia nigra pars compacta (SNc) of mice. A PD mouse model was established using 1-methyl-4-phenyl-1,2,3,6-tetrahydropyridine (MPTP) induction. Animal behavioral tests, western blot, immunofluorescence, and other experiments were performed to assess the loss of midbrain tyrosine hydroxylase (TH) neurons, activation of astrocytes, and activation of the NLRP3 pathway. Primary astrocytes were cultured in vitro, and NLRP3 inflammasomes were activated using 1-methyl-4-phenylpyridinium (MPP) or lipopolysaccharide (LPS) and adenosine triphosphate (ATP). Western blot and ELISA experiments were conducted to assess the release of inflammatory factors. Transcriptomic sequencing and CUT&RUN techniques were employed to study the CB2R regulation of the foxg1 binding site on the autophagy molecule microtubule-associated protein 1 light chain 3 beta (MAP1LC3B).

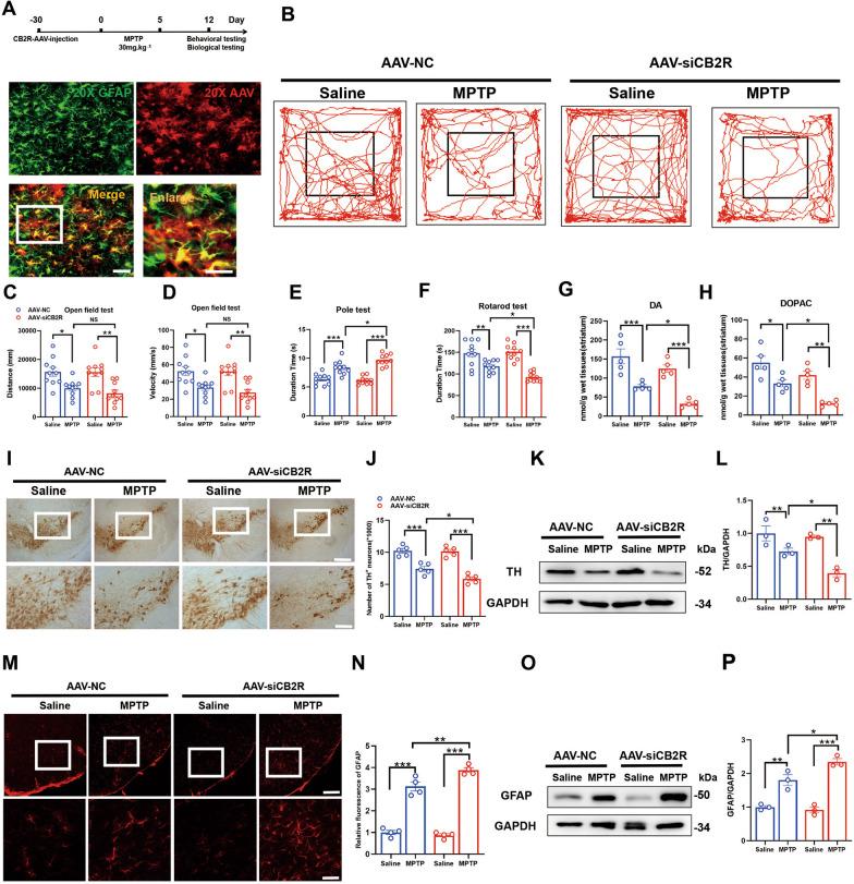
RESULTS

Astrocytic CB2R knockdown impaired the motor abilities of MPTP-induced mice, exacerbated the loss of TH neurons, and induced activation of the NLRP3/Caspase-1/interleukin 1 (IL-1β) pathway. Activation of CB2R significantly alleviated motor impairments in mice while reducing NLRP3 deposition on astrocytes. In vitro cell experiments showed that CB2R activation attenuated the activation of the NLRP3/Caspase-1/IL-1β pathway induced by LPS + ATP or MPP. Additionally, it inhibited the binding of foxg1 to MAP1LC3B, increased astrocytic autophagy levels, and facilitated NLRP3 degradation through the autophagy-lysosome pathway.

CONCLUSION

Activation of CB2R on astrocytes effectively mitigates NLRP3-mediated neuroinflammation and ameliorates the disease characteristics of PD in mice. CB2R represents a potential therapeutic target for treating PD.

摘要

背景

星形胶质细胞中的炎症小体在帕金森病(PD)和阿尔茨海默病(AD)等神经退行性疾病的发病机制中起着至关重要的作用。大麻素受体 2(CB2R),一种 G 蛋白偶联受体(GPCR),被认为是炎症相关疾病的有希望的治疗靶点。本研究旨在探讨 CB2R 在调节星形胶质细胞中 NOD 样受体家族 pyrin 结构域包含 3(NLRP3)介导的神经炎症中的作用。

方法

在体内动物模型中,通过向小鼠黑质致密部(SNc)注射 CB2R 特异性腺病毒(或叉头框 G1(foxg1)腺病毒)来特异性靶向星形胶质细胞的 CB2R,以敲低 CB2R 或给予 CB2R 激动剂、抑制剂等,从而实现 CB2R 的下调或激活。使用 1-甲基-4-苯基-1,2,3,6-四氢吡啶(MPTP)诱导建立 PD 小鼠模型。进行动物行为测试、western blot、免疫荧光等实验,以评估中脑酪氨酸羟化酶(TH)神经元的丧失、星形胶质细胞的激活和 NLRP3 途径的激活。体外培养原代星形胶质细胞,用 1-甲基-4-苯基吡啶(MPP)或脂多糖(LPS)和三磷酸腺苷(ATP)激活 NLRP3 炎症小体。进行 western blot 和 ELISA 实验以评估炎症因子的释放。采用转录组测序和 CUT&RUN 技术研究 CB2R 对自噬分子微管相关蛋白 1 轻链 3 型β(MAP1LC3B)上的 foxg1 结合位点的调控。

结果

星形胶质细胞 CB2R 敲低损害了 MPTP 诱导的小鼠的运动能力,加剧了 TH 神经元的丧失,并诱导 NLRP3/Caspase-1/白细胞介素 1β(IL-1β)途径的激活。CB2R 的激活显著减轻了小鼠的运动障碍,同时减少了 LPS+ATP 或 MPP 诱导的 NLRP3 在星形胶质细胞上的沉积。此外,它抑制了 foxg1 与 MAP1LC3B 的结合,增加了星形胶质细胞的自噬水平,并通过自噬溶酶体途径促进 NLRP3 的降解。

结论

星形胶质细胞上 CB2R 的激活可有效减轻 NLRP3 介导的神经炎症,并改善 PD 小鼠的疾病特征。CB2R 是治疗 PD 的潜在治疗靶点。

https://cdn.ncbi.nlm.nih.gov/pmc/blobs/f098/10729372/770aaa532c41/12974_2023_2989_Fig9_HTML.jpg
https://cdn.ncbi.nlm.nih.gov/pmc/blobs/f098/10729372/18318ca4e1c2/12974_2023_2989_Fig1_HTML.jpg
https://cdn.ncbi.nlm.nih.gov/pmc/blobs/f098/10729372/ff61215f567e/12974_2023_2989_Fig2_HTML.jpg
https://cdn.ncbi.nlm.nih.gov/pmc/blobs/f098/10729372/b606a0f1c676/12974_2023_2989_Fig3_HTML.jpg
https://cdn.ncbi.nlm.nih.gov/pmc/blobs/f098/10729372/11c803ba3964/12974_2023_2989_Fig4_HTML.jpg
https://cdn.ncbi.nlm.nih.gov/pmc/blobs/f098/10729372/452f27af5796/12974_2023_2989_Fig5_HTML.jpg
https://cdn.ncbi.nlm.nih.gov/pmc/blobs/f098/10729372/e622f9f27dfa/12974_2023_2989_Fig6_HTML.jpg
https://cdn.ncbi.nlm.nih.gov/pmc/blobs/f098/10729372/174d7c8e2654/12974_2023_2989_Fig7_HTML.jpg
https://cdn.ncbi.nlm.nih.gov/pmc/blobs/f098/10729372/d9afe6e2c747/12974_2023_2989_Fig8_HTML.jpg
https://cdn.ncbi.nlm.nih.gov/pmc/blobs/f098/10729372/770aaa532c41/12974_2023_2989_Fig9_HTML.jpg
https://cdn.ncbi.nlm.nih.gov/pmc/blobs/f098/10729372/18318ca4e1c2/12974_2023_2989_Fig1_HTML.jpg
https://cdn.ncbi.nlm.nih.gov/pmc/blobs/f098/10729372/ff61215f567e/12974_2023_2989_Fig2_HTML.jpg
https://cdn.ncbi.nlm.nih.gov/pmc/blobs/f098/10729372/b606a0f1c676/12974_2023_2989_Fig3_HTML.jpg
https://cdn.ncbi.nlm.nih.gov/pmc/blobs/f098/10729372/11c803ba3964/12974_2023_2989_Fig4_HTML.jpg
https://cdn.ncbi.nlm.nih.gov/pmc/blobs/f098/10729372/452f27af5796/12974_2023_2989_Fig5_HTML.jpg
https://cdn.ncbi.nlm.nih.gov/pmc/blobs/f098/10729372/e622f9f27dfa/12974_2023_2989_Fig6_HTML.jpg
https://cdn.ncbi.nlm.nih.gov/pmc/blobs/f098/10729372/174d7c8e2654/12974_2023_2989_Fig7_HTML.jpg
https://cdn.ncbi.nlm.nih.gov/pmc/blobs/f098/10729372/d9afe6e2c747/12974_2023_2989_Fig8_HTML.jpg
https://cdn.ncbi.nlm.nih.gov/pmc/blobs/f098/10729372/770aaa532c41/12974_2023_2989_Fig9_HTML.jpg

相似文献

1
Targeting CB2R in astrocytes for Parkinson's disease therapy: unraveling the Foxg1-mediated neuroprotective mechanism through autophagy-mediated NLRP3 degradation.针对星形胶质细胞中的 CB2R 治疗帕金森病:通过自噬介导的 NLRP3 降解揭示 Foxg1 介导的神经保护机制。
J Neuroinflammation. 2023 Dec 19;20(1):304. doi: 10.1186/s12974-023-02989-2.
2
Small molecule-driven NLRP3 inflammation inhibition via interplay between ubiquitination and autophagy: implications for Parkinson disease.小分子通过泛素化和自噬相互作用抑制 NLRP3 炎症:对帕金森病的影响。
Autophagy. 2019 Nov;15(11):1860-1881. doi: 10.1080/15548627.2019.1596481. Epub 2019 Apr 9.
3
TREM2 Deficiency Aggravates NLRP3 Inflammasome Activation and Pyroptosis in MPTP-Induced Parkinson's Disease Mice and LPS-Induced BV2 Cells.TREM2缺陷加重MPTP诱导的帕金森病小鼠和LPS诱导的BV2细胞中的NLRP3炎性小体激活和细胞焦亡。
Mol Neurobiol. 2024 May;61(5):2590-2605. doi: 10.1007/s12035-023-03713-0. Epub 2023 Nov 2.
4
Dopamine D2 receptor restricts astrocytic NLRP3 inflammasome activation via enhancing the interaction of β-arrestin2 and NLRP3.多巴胺 D2 受体通过增强β-arrestin2 和 NLRP3 的相互作用来限制星形胶质细胞 NLRP3 炎性小体的激活。
Cell Death Differ. 2018 Nov;25(11):2037-2049. doi: 10.1038/s41418-018-0127-2. Epub 2018 May 21.
5
Echinacoside protects dopaminergic neurons by inhibiting NLRP3/Caspase-1/IL-1β signaling pathway in MPTP-induced Parkinson's disease model.松果菊苷通过抑制 MPTP 诱导的帕金森病模型中的 NLRP3/Caspase-1/IL-1β 信号通路保护多巴胺能神经元。
Brain Res Bull. 2020 Nov;164:55-64. doi: 10.1016/j.brainresbull.2020.08.015. Epub 2020 Aug 23.
6
Wuzi Yanzong Pill relieves MPTP-induced motor dysfunction and neuron loss by inhibiting NLRP3 inflammasome-mediated neuroinflammation.五子衍宗丸通过抑制 NLRP3 炎性小体介导的神经炎症缓解 MPTP 诱导的运动功能障碍和神经元丢失。
Metab Brain Dis. 2023 Oct;38(7):2211-2222. doi: 10.1007/s11011-023-01266-8. Epub 2023 Jul 20.
7
[Macrophage migration inhibitory factor meditates MPP+/MPTP-induced NLRP3 inflammasome activation in microglia cells].[巨噬细胞移动抑制因子介导MPP+/MPTP诱导的小胶质细胞NLRP3炎性小体激活]
Nan Fang Yi Ke Da Xue Xue Bao. 2021 Jul 20;41(7):972-979. doi: 10.12122/j.issn.1673-4254.2021.07.02.
8
Pramipexole inhibits astrocytic NLRP3 inflammasome activation via Drd3-dependent autophagy in a mouse model of Parkinson's disease.普拉克索通过 Drd3 依赖性自噬抑制帕金森病小鼠模型中星形胶质细胞的 NLRP3 炎性小体激活。
Acta Pharmacol Sin. 2023 Jan;44(1):32-43. doi: 10.1038/s41401-022-00951-1. Epub 2022 Jul 27.
9
Asiaticoside exerts neuroprotection through targeting NLRP3 inflammasome activation.积雪草苷通过靶向 NLRP3 炎性小体激活发挥神经保护作用。
Phytomedicine. 2024 May;127:155494. doi: 10.1016/j.phymed.2024.155494. Epub 2024 Feb 28.
10
Targeting microglial NLRP3 in the SNc region as a promising disease-modifying therapy for Parkinson's disease.以 SNc 区小胶质细胞 NLRP3 为靶点作为治疗帕金森病的一种有前景的疾病修饰疗法。
Brain Behav. 2022 Nov;12(11):e2784. doi: 10.1002/brb3.2784. Epub 2022 Oct 5.

引用本文的文献

1
Activity and Heterogeneity of Astrocytes in Neurological Diseases: Molecular Mechanisms and Therapeutic Targets.神经疾病中星形胶质细胞的活性与异质性:分子机制与治疗靶点
MedComm (2020). 2025 Aug 22;6(9):e70329. doi: 10.1002/mco2.70329. eCollection 2025 Sep.
2
Astrocyte alterations in α-synucleinopathies.α-突触核蛋白病中的星形胶质细胞改变。
Front Cell Neurosci. 2025 Aug 6;19:1650326. doi: 10.3389/fncel.2025.1650326. eCollection 2025.
3
Single-Cell Sequencing Screening of Biomarkers Associated with Lipophagy in the MPTP Model Mice of Parkinson's Disease.

本文引用的文献

1
An astrocyte BMAL1-BAG3 axis protects against alpha-synuclein and tau pathology.星形胶质细胞 BMAL1-BAG3 轴可预防 α-突触核蛋白和 tau 病理。
Neuron. 2023 Aug 2;111(15):2383-2398.e7. doi: 10.1016/j.neuron.2023.05.006. Epub 2023 Jun 13.
2
CB2R activation ameliorates late adolescent chronic alcohol exposure-induced anxiety-like behaviors during withdrawal by preventing morphological changes and suppressing NLRP3 inflammasome activation in prefrontal cortex microglia in mice.CB2R 激活通过防止形态变化和抑制前额叶皮层小胶质细胞中 NLRP3 炎性体激活,改善了青少年晚期慢性酒精暴露戒断期间的焦虑样行为。
Brain Behav Immun. 2023 May;110:60-79. doi: 10.1016/j.bbi.2023.02.001. Epub 2023 Feb 6.
3
帕金森病MPTP模型小鼠中与脂噬相关生物标志物的单细胞测序筛选
Mol Neurobiol. 2025 Jun 19. doi: 10.1007/s12035-025-05014-0.
4
Electroacupuncture exerts antipruritic and anti-inflammatory effects on atopic dermatitis by activating CB2 receptor.电针通过激活CB2受体对特应性皮炎发挥止痒和抗炎作用。
Chin Med. 2025 May 26;20(1):72. doi: 10.1186/s13020-025-01102-4.
5
Obesity-associated reduction of miR-150-5p in extracellular vesicles promotes ventilator-induced lung injury by modulating the lysosomal degradation of VE-cadherin.细胞外囊泡中与肥胖相关的miR-150-5p减少通过调节血管内皮钙黏蛋白的溶酶体降解促进呼吸机诱导的肺损伤。
Cell Death Discov. 2025 May 6;11(1):220. doi: 10.1038/s41420-025-02499-5.
6
Astrocytes-associated research in Parkinson's disease: an explored trends analysis.帕金森病中星形胶质细胞相关研究:探索性趋势分析
Front Aging Neurosci. 2025 Mar 27;17:1563142. doi: 10.3389/fnagi.2025.1563142. eCollection 2025.
7
Parkinson's disease models and death signaling: what do we know until now?帕金森病模型与死亡信号传导:截至目前我们了解到了什么?
Front Neuroanat. 2024 Oct 29;18:1419108. doi: 10.3389/fnana.2024.1419108. eCollection 2024.
8
Withaferin a modulation of microglia autophagy mitigates neuroinflammation and enhances cognitive function in POCD.Withaferin A 通过调节小胶质细胞自噬减轻神经炎症并改善术后认知障碍的认知功能。
Sci Rep. 2024 Oct 30;14(1):26112. doi: 10.1038/s41598-024-75284-6.
9
FUBP3 mediates the amyloid-β-induced neuronal NLRP3 expression.FUBP3介导淀粉样蛋白β诱导的神经元NLRP3表达。
Neural Regen Res. 2025 Jul 1;20(7):2068-2083. doi: 10.4103/NRR.NRR-D-23-01799. Epub 2024 May 13.
10
A Comprehensive Exploration of the Multifaceted Neuroprotective Role of Cannabinoids in Alzheimer's Disease across a Decade of Research.全面探索大麻素在阿尔茨海默病中的多方面神经保护作用:十年研究综述。
Int J Mol Sci. 2024 Aug 7;25(16):8630. doi: 10.3390/ijms25168630.
Update on the controversial identity of cells expressing cnr2 gene in the nervous system.
关于神经系统中表达 cnr2 基因的细胞的争议性身份的最新进展。
CNS Neurosci Ther. 2023 Mar;29(3):760-770. doi: 10.1111/cns.13977. Epub 2023 Jan 5.
4
Cannabinoid Receptor 2-Centric Molecular Feedback Loop Drives Necroptosis in Diabetic Heart Injuries.以大麻素受体2为中心的分子反馈回路驱动糖尿病性心脏损伤中的坏死性凋亡。
Circulation. 2023 Jan 10;147(2):158-174. doi: 10.1161/CIRCULATIONAHA.122.059304. Epub 2022 Nov 30.
5
Molecular basis of astrocyte diversity and morphology across the CNS in health and disease.中枢神经系统中星形胶质细胞多样性和形态的分子基础:在健康和疾病中的表现。
Science. 2022 Nov 4;378(6619):eadc9020. doi: 10.1126/science.adc9020.
6
The NLRP3 inflammasome: activation and regulation.NLRP3 炎性小体:激活与调控。
Trends Biochem Sci. 2023 Apr;48(4):331-344. doi: 10.1016/j.tibs.2022.10.002. Epub 2022 Nov 4.
7
The mechanisms and roles of selective autophagy in mammals.哺乳动物中选择性自噬的机制与作用。
Nat Rev Mol Cell Biol. 2023 Mar;24(3):167-185. doi: 10.1038/s41580-022-00542-2. Epub 2022 Oct 27.
8
Beyond autophagy: LC3-associated phagocytosis and endocytosis.超越自噬:LC3 相关的吞噬作用和内吞作用。
Sci Adv. 2022 Oct 28;8(43):eabn1702. doi: 10.1126/sciadv.abn1702. Epub 2022 Oct 26.
9
Cannabinoid receptor-2 attenuates neuroinflammation by promoting autophagy-mediated degradation of the NLRP3 inflammasome post spinal cord injury.大麻素受体 2 通过促进脊髓损伤后自噬介导的 NLRP3 炎性小体降解来减轻神经炎症。
Front Immunol. 2022 Sep 26;13:993168. doi: 10.3389/fimmu.2022.993168. eCollection 2022.
10
Parkinson's disease: connecting mitochondria to inflammasomes.帕金森病:连接线粒体与炎症小体。
Trends Immunol. 2022 Nov;43(11):877-885. doi: 10.1016/j.it.2022.09.010. Epub 2022 Oct 11.