Huang Yun, Guo Shan, Lin Ying, Huo Liyun, Yan Hongmei, Lin Zhanwen, Chen Zishuo, Cai Junchao, Wu Jueheng, Yuan Jie, Guan Hongyu, Wu Guoyong, Wu Weibin, Tao Tianyu
Precision Medicine Institute, The First Affiliated Hospital, Sun Yat-sen University, Guangzhou 510000, China.
Advanced Medical Technology Center, The First Affiliated Hospital, Zhongshan School of Medicine, Sun Yat-sen University, Guangzhou 510000, China.
Cancers (Basel). 2023 Dec 9;15(24):5781. doi: 10.3390/cancers15245781.
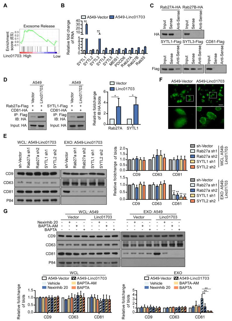
Metastasis, a major cause of cancer-related mortality worldwide, frequently occurs early in the diagnosis of lung adenocarcinoma (LUAD). However, the precise molecular mechanisms governing the aggressive metastatic behavior of LUAD remain incompletely understood. In this study, we present compelling evidence indicating that the long noncoding RNA linc01703 is significantly downregulated in metastatic lung cancer cells. Intriguingly, in vivo experiments revealed that Linc01703 exerted a profound inhibitory effect on lung cancer metastasis without discernible impact on the in vitro proliferation or invasion capacities of LUAD cells. Mechanistically, Linc01703 enhanced the interaction between Rab27a, SYTL1, and CD81, consequently promoting the secretion of CD81 exosomes. These exosomes, in turn, suppressed the infiltration of immune cells within the tumor microenvironment, thereby impeding LUAD metastasis. Importantly, our analysis of lung cancer tissues revealed a correlation between reduced CD81 expression and an unfavorable patient prognosis. Collectively, our findings suggest that Linc01703 functions as a metastasis suppressor by facilitating the secretion of CD81 exosomes through the formation of the Rab27a/SYTL1/CD81 complex.
转移是全球癌症相关死亡的主要原因,在肺腺癌(LUAD)诊断早期经常发生。然而,控制LUAD侵袭性转移行为的精确分子机制仍未完全了解。在本研究中,我们提供了令人信服的证据,表明长链非编码RNA linc01703在转移性肺癌细胞中显著下调。有趣的是,体内实验表明,Linc01703对肺癌转移具有深远的抑制作用,而对LUAD细胞的体外增殖或侵袭能力没有明显影响。从机制上讲,Linc01703增强了Rab27a、SYTL1和CD81之间的相互作用,从而促进了CD81外泌体的分泌。这些外泌体反过来抑制了肿瘤微环境中免疫细胞的浸润,从而阻碍了LUAD转移。重要的是,我们对肺癌组织的分析揭示了CD81表达降低与患者预后不良之间的相关性。总的来说,我们的研究结果表明,Linc01703通过形成Rab27a/SYTL1/CD81复合物促进CD81外泌体的分泌,从而发挥转移抑制作用。