Suppr超能文献

马尾海绵状畸形1例病例报告

A rare case of cavernous malformation of the cauda equina a case report.

作者信息

Calderon Chrystal, Baron Jodi, Ramdass Ariane, Ramcharan Robert, Ramnarine Devindra

机构信息

Eric Williams Medical Sciences Complex, Mount Hope, Trinidad and Tobago.

Eric Williams Medical Sciences Complex, Mount Hope, Trinidad and Tobago.

出版信息

Int J Surg Case Rep. 2024 Jan;114:109200. doi: 10.1016/j.ijscr.2023.109200. Epub 2023 Dec 24.

Abstract

INTRODUCTION

Cavernous malformation of the cauda equina is a rare neurosurgical condition. We sought to highlight one of these cases and its resultant diagnosis and management. Additionally, to recommend the need for raised clinical suspicion of these rare masses when an extramedullary lesion is noted on imaging.

PRESENTATION OF CASE

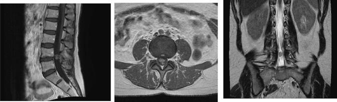
A 42-year-old female presented to our institution with a 9-month history of lower back pain. Her examination findings revealed a loss of right ankle jerk reflex. Magnetic resonance imaging (MRI) of her lumbosacral spine demonstrated an intradural, extramedullary tumor involving the cauda equina, at the L4/L5 level. The main differential diagnosis at this time was an ependymoma. An L4/5 laminectomy and resection of the cauda equina mass was scheduled. Intra-operatively, a mulberry - like mass was noted involving a single nerve root. A gross total resection was performed, with resolution of most of her symptoms. Histopathological diagnosis of a cavernous malformation was ascertained.

DISCUSSION

The accurate diagnosis of a cavernous malformation of the cauda equina was only suspected intra-operatively, following gross inspection. Cauda equina masses usually include myxopapillary ependymomas and schwannomas, making this vascular extramedullary lesion low on the possible differentials list. Very few cases have been published in modern literature.

CONCLUSION

Cavernous malformations of the cauda equina are an extremely uncommon, benign vascular malformation. These malformations have key characteristics on MRI that can aid its differentiation from other intradural lesions. However, because it is so rare, it does not usually make the list of differentials when considering likely extramedullary lesions.

摘要

引言

马尾海绵状血管畸形是一种罕见的神经外科疾病。我们试图重点介绍其中一例病例及其最终的诊断和治疗情况。此外,建议在影像学检查发现髓外病变时,提高对这些罕见肿块的临床怀疑度。

病例介绍

一名42岁女性因下背部疼痛9个月就诊于我院。检查发现其右踝反射消失。腰骶椎磁共振成像(MRI)显示L4/L5水平硬膜内、髓外肿瘤累及马尾。此时主要的鉴别诊断为室管膜瘤。计划行L4/5椎板切除术及马尾肿块切除术。术中发现一个桑葚样肿块累及单一神经根。行肿瘤全切,其大部分症状得到缓解。术后病理诊断为海绵状血管畸形。

讨论

马尾海绵状血管畸形的准确诊断仅在术中肉眼检查后才被怀疑。马尾肿块通常包括黏液乳头型室管膜瘤和神经鞘瘤,使得这种血管性髓外病变在可能的鉴别诊断清单中排位靠后。现代文献中发表的病例极少。

结论

马尾海绵状血管畸形是一种极其罕见的良性血管畸形。这些畸形在MRI上具有关键特征,有助于与其他硬膜内病变相鉴别。然而,由于其极为罕见,在考虑可能的髓外病变时,通常不会出现在鉴别诊断清单中。

https://cdn.ncbi.nlm.nih.gov/pmc/blobs/ca99/10800712/9ac63c9d867f/gr1.jpg

文献AI研究员

20分钟写一篇综述,助力文献阅读效率提升50倍。

立即体验

用中文搜PubMed

大模型驱动的PubMed中文搜索引擎

马上搜索

文档翻译

学术文献翻译模型,支持多种主流文档格式。

立即体验