• 文献检索
  • 文档翻译
  • 深度研究
  • 学术资讯
  • Suppr Zotero 插件Zotero 插件
  • 邀请有礼
  • 套餐&价格
  • 历史记录
应用&插件
Suppr Zotero 插件Zotero 插件浏览器插件Mac 客户端Windows 客户端微信小程序
定价
高级版会员购买积分包购买API积分包
服务
文献检索文档翻译深度研究API 文档MCP 服务
关于我们
关于 Suppr公司介绍联系我们用户协议隐私条款
关注我们

Suppr 超能文献

核心技术专利:CN118964589B侵权必究
粤ICP备2023148730 号-1Suppr @ 2026

文献检索

告别复杂PubMed语法,用中文像聊天一样搜索,搜遍4000万医学文献。AI智能推荐,让科研检索更轻松。

立即免费搜索

文件翻译

保留排版,准确专业,支持PDF/Word/PPT等文件格式,支持 12+语言互译。

免费翻译文档

深度研究

AI帮你快速写综述,25分钟生成高质量综述,智能提取关键信息,辅助科研写作。

立即免费体验

早期和晚期妊娠时无肝功能障碍的肝细胞气球样变和脂肪变性:低蛋白/高碳水化合物饮食的影响。

Hepatocyte ballooning and steatosis in early and late gestation without liver malfunction: Effects of low protein/high carbohydrate diet.

机构信息

Departamento de Promoción, Preservación y Desarrollo de la Salud, División Ciencias de la Salud, Laboratorio C de Memoria y Neuronutrición. Centro Universitario del Sur, Universidad de Guadalajara, Ciudad Guzmán, Jalisco, México.

Departamento de Neurobiología Celular y Molecular, Instituto de Neurobiología, Universidad Nacional Autónoma de México, Querétaro, México.

出版信息

PLoS One. 2024 Jan 2;19(1):e0294062. doi: 10.1371/journal.pone.0294062. eCollection 2024.

DOI:10.1371/journal.pone.0294062
PMID:38166013
原文链接:https://pmc.ncbi.nlm.nih.gov/articles/PMC10760903/
Abstract

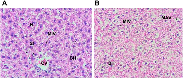
Pregnancy is a challenging metabolic and physiological condition. The aim of this study was to include a second demanding situation as a low protein/high carbohydrate diet (LPHCD) to characterize the histological and functional responses of the maternal liver. It is unknown how the maternal liver responds during early and late pregnancy to LPHCD intake. We explored early pregnancy (3 and 8 gestational age, G) and late pregnancy (15 and 20 G). The results indicated that pregnant rats under control diet showed an evident presence of ballooned hepatocytes, lipid vesicles and edema at late pregnancy (15G); in contrast, pregnant rats under LPHCD showed similar pattern of histological modification but at early pregnancy (3G). Unexpectedly, the serum biomarkers didn't display functional alterations in either group, despite of the evident histological changes no liver malfunction was detected. We conclude that pregnant rats fed with control diet and experimental LPHCD, are subjected to metabolic and physiological conditions that impact the histopathological condition of the maternal liver. Control diet promoted the histological modifications during late pregnancy whereas LPCHCD advanced the onset of these changes. Further experiments are needed to explore the biochemical mechanisms that underlie these histological modifications. Our results are also an example of the resilience associated with the pregnancy: since no functional hepatic alterations accompanied the histopathological changes, another conclusion is that no evident pathological condition was detected in this nutritional protocol.

摘要

妊娠是一种具有挑战性的代谢和生理状态。本研究的目的是纳入第二种苛刻的情况,即低蛋白/高碳水化合物饮食(LPHCD),以描述母体肝脏的组织学和功能反应。目前尚不清楚母体肝脏在妊娠早期和晚期对 LPHCD 摄入的反应如何。我们探讨了妊娠早期(3 天和 8 天妊娠期,G)和妊娠晚期(15 天和 20 天 G)。结果表明,在妊娠晚期(15G),接受对照饮食的妊娠大鼠表现出明显的气球样肝细胞、脂滴和水肿;相比之下,在妊娠早期(3G)接受 LPHCD 的妊娠大鼠表现出类似的组织学改变模式。出乎意料的是,尽管组织学变化明显,但两组血清生物标志物均未显示出功能改变,没有检测到肝功能障碍。我们得出结论,接受对照饮食和实验性 LPHCD 的妊娠大鼠受到代谢和生理条件的影响,这些条件会影响母体肝脏的组织病理学状况。对照饮食促进了妊娠晚期的组织学改变,而 LPHCD 则提前了这些变化的发生。需要进一步的实验来探讨导致这些组织学改变的生化机制。我们的结果也是与妊娠相关的弹性的一个例子:由于组织病理学变化没有伴随肝功能改变,因此可以得出另一个结论,即在这种营养方案中没有检测到明显的病理状况。

https://cdn.ncbi.nlm.nih.gov/pmc/blobs/7862/10760903/409c628306c1/pone.0294062.g006.jpg
https://cdn.ncbi.nlm.nih.gov/pmc/blobs/7862/10760903/2fe1b2e259bf/pone.0294062.g001.jpg
https://cdn.ncbi.nlm.nih.gov/pmc/blobs/7862/10760903/43e69908d0a4/pone.0294062.g002.jpg
https://cdn.ncbi.nlm.nih.gov/pmc/blobs/7862/10760903/3922335a2ff9/pone.0294062.g003.jpg
https://cdn.ncbi.nlm.nih.gov/pmc/blobs/7862/10760903/71d10f4063f7/pone.0294062.g004.jpg
https://cdn.ncbi.nlm.nih.gov/pmc/blobs/7862/10760903/3fe1ac68c617/pone.0294062.g005.jpg
https://cdn.ncbi.nlm.nih.gov/pmc/blobs/7862/10760903/409c628306c1/pone.0294062.g006.jpg
https://cdn.ncbi.nlm.nih.gov/pmc/blobs/7862/10760903/2fe1b2e259bf/pone.0294062.g001.jpg
https://cdn.ncbi.nlm.nih.gov/pmc/blobs/7862/10760903/43e69908d0a4/pone.0294062.g002.jpg
https://cdn.ncbi.nlm.nih.gov/pmc/blobs/7862/10760903/3922335a2ff9/pone.0294062.g003.jpg
https://cdn.ncbi.nlm.nih.gov/pmc/blobs/7862/10760903/71d10f4063f7/pone.0294062.g004.jpg
https://cdn.ncbi.nlm.nih.gov/pmc/blobs/7862/10760903/3fe1ac68c617/pone.0294062.g005.jpg
https://cdn.ncbi.nlm.nih.gov/pmc/blobs/7862/10760903/409c628306c1/pone.0294062.g006.jpg

相似文献

1
Hepatocyte ballooning and steatosis in early and late gestation without liver malfunction: Effects of low protein/high carbohydrate diet.早期和晚期妊娠时无肝功能障碍的肝细胞气球样变和脂肪变性:低蛋白/高碳水化合物饮食的影响。
PLoS One. 2024 Jan 2;19(1):e0294062. doi: 10.1371/journal.pone.0294062. eCollection 2024.
2
Lieber-DeCarli Diet Promotes Different Hepatic Histological Changes During Early and Late Pregnancy: An Example of Maternal Resilience.利伯-德卡里饮食在妊娠早、晚期促进不同的肝脏组织学变化:母体韧性的一个例子。
In Vivo. 2022 Sep-Oct;36(5):2232-2242. doi: 10.21873/invivo.12950.
3
Changes in amino acid profiles and liver alterations in pregnant rats with a high carbohydrate/low protein diet.高碳水化合物/低蛋白饮食对妊娠大鼠氨基酸谱和肝脏变化的影响。
Ann Hepatol. 2019 Mar-Apr;18(2):345-353. doi: 10.1016/j.aohep.2018.11.004. Epub 2019 Apr 17.
4
Effects of Low Protein-High Carbohydrate Diet during Early and Late Pregnancy on Respiratory Quotient and Visceral Adiposity.早孕期和晚孕期低蛋白-高碳水化合物饮食对呼吸商和内脏脂肪的影响。
Oxid Med Cell Longev. 2022 Apr 7;2022:3878581. doi: 10.1155/2022/3878581. eCollection 2022.
5
Transcription profiling in the liver of undernourished male rat offspring reveals altered lipid metabolism pathways and predisposition to hepatic steatosis.营养不良雄性大鼠子代肝脏转录组谱分析显示脂质代谢途径改变和肝脂肪变性易感性。
Am J Physiol Endocrinol Metab. 2019 Dec 1;317(6):E1094-E1107. doi: 10.1152/ajpendo.00291.2019. Epub 2019 Oct 22.
6
Effects of maternal dietary manipulation during different periods of pregnancy on hepatic glucogenic capacity in fetal and pregnant rats near term.孕期不同阶段母体饮食调控对足月胎儿及孕鼠肝脏糖异生能力的影响。
Nutr Metab Cardiovasc Dis. 2009 Oct;19(8):555-62. doi: 10.1016/j.numecd.2008.11.001. Epub 2009 Jan 28.
7
Supplementation of the maternal diet during pregnancy with chocolate and fructose interacts with the high-fat diet of the young to facilitate the onset of metabolic disorders in rat offspring.孕期母体饮食中补充巧克力和果糖会与幼鼠的高脂肪饮食相互作用,促进子代代谢紊乱的发生。
Clin Exp Pharmacol Physiol. 2013 Sep;40(9):652-61. doi: 10.1111/1440-1681.12147.
8
A maternal "junk food" diet in pregnancy and lactation promotes nonalcoholic Fatty liver disease in rat offspring.孕期和哺乳期的母体“垃圾食品”饮食会促进大鼠后代的非酒精性脂肪肝疾病。
Endocrinology. 2010 Apr;151(4):1451-61. doi: 10.1210/en.2009-1192. Epub 2010 Mar 5.
9
Interactive effects of maternal and weaning high linoleic acid intake on hepatic lipid metabolism, oxylipins profile and hepatic steatosis in offspring.母体和断奶期高亚油酸摄入对后代肝脏脂质代谢、氧化脂类谱和肝脂肪变性的交互影响。
J Nutr Biochem. 2020 Jan;75:108241. doi: 10.1016/j.jnutbio.2019.108241. Epub 2019 Oct 26.
10
Relative and combined effects of selenium, protein deficiency and ethanol on hepatocyte ballooning and liver steatosis.硒、蛋白质缺乏和乙醇对肝细胞气球样变和肝脂肪变性的相对和联合作用。
Biol Trace Elem Res. 2013 Aug;154(2):281-7. doi: 10.1007/s12011-013-9734-4. Epub 2013 Jul 3.

本文引用的文献

1
Pregnancy and Metabolic-associated Fatty Liver Disease: A Clinical Update.妊娠与代谢相关脂肪性肝病:临床最新进展
J Clin Transl Hepatol. 2022 Oct 28;10(5):947-954. doi: 10.14218/JCTH.2022.00052. Epub 2022 May 26.
2
Adiponectin deficiency induces hepatic steatosis during pregnancy and gestational diabetes in mice.脂联素缺乏会在小鼠孕期和妊娠期糖尿病期间诱发肝脏脂肪变性。
Diabetologia. 2022 Apr;65(4):733-747. doi: 10.1007/s00125-021-05649-3. Epub 2022 Jan 28.
3
Lipolysis: cellular mechanisms for lipid mobilization from fat stores.
脂肪分解:从脂肪储存中动员脂质的细胞机制。
Nat Metab. 2021 Nov;3(11):1445-1465. doi: 10.1038/s42255-021-00493-6. Epub 2021 Nov 19.
4
Systematic review with meta-analysis: Non-alcoholic fatty liver disease and the association with pregnancy outcomes.系统评价与荟萃分析:非酒精性脂肪性肝病与妊娠结局的关系。
Clin Mol Hepatol. 2022 Jan;28(1):52-66. doi: 10.3350/cmh.2021.0205. Epub 2021 Sep 17.
5
Modeling Diet-Induced NAFLD and NASH in Rats: A Comprehensive Review.大鼠饮食诱导性非酒精性脂肪性肝病和非酒精性脂肪性肝炎的建模:综述
Biomedicines. 2021 Apr 2;9(4):378. doi: 10.3390/biomedicines9040378.
6
Changes in hepatic triglyceride content with the activation of ER stress and increased FGF21 secretion during pregnancy.孕期内质网应激激活及成纤维细胞生长因子21分泌增加时肝脏甘油三酯含量的变化。
Nutr Metab (Lond). 2021 Apr 13;18(1):40. doi: 10.1186/s12986-021-00570-3.
7
Nutrition and Metabolic Adaptations in Physiological and Complicated Pregnancy: Focus on Obesity and Gestational Diabetes.生理和复杂妊娠中的营养和代谢适应:关注肥胖和妊娠糖尿病。
Front Endocrinol (Lausanne). 2020 Nov 30;11:611929. doi: 10.3389/fendo.2020.611929. eCollection 2020.
8
Non-alcoholic fatty liver disease in pregnancy is associated with adverse maternal and perinatal outcomes.妊娠非酒精性脂肪性肝病与不良的母儿围生结局相关。
J Hepatol. 2020 Sep;73(3):516-522. doi: 10.1016/j.jhep.2020.03.049. Epub 2020 Jun 9.
9
A Low Protein Diet during Gestation and Lactation Increases Hepatic Lipid Accumulation through Autophagy and Histone Deacetylase.妊娠期和哺乳期的低蛋白饮食通过自噬和组蛋白去乙酰化酶增加肝脏脂质积累。
Am J Physiol Endocrinol Metab. 2020 Jan 7. doi: 10.1152/ajpendo.00263.2019.
10
Energy Intake Requirements in Pregnancy.妊娠期间的能量摄入需求。
Nutrients. 2019 Aug 6;11(8):1812. doi: 10.3390/nu11081812.