Medicine department, Infectious disease division, Prince Sultan Military Medical City, P.O.Box 7897, Riyadh, 11159, Saudi Arabia.
Collage of Medicine, Alfaisal University, Riyadh, Saudi Arabia.
AIDS Res Ther. 2024 Jan 7;21(1):3. doi: 10.1186/s12981-024-00592-w.
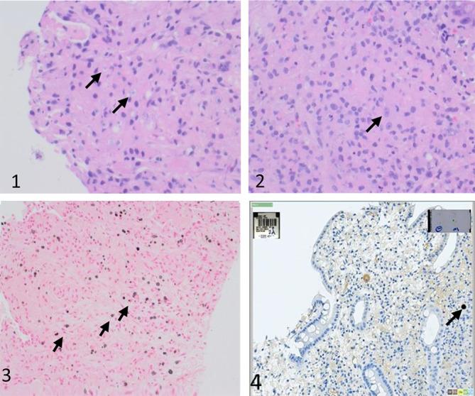
Malakoplakia is a rare chronic granulomatous disease characterized by the presence of Michaelis-Gutmann bodies (MGBs) within histiocytic aggregates. It predominantly affects immunocompromised individuals, including those living with Human Immunodeficiency Virus (HIV).
We present a unique case of bifocal malakoplakia in a 49-year-old man, previously with Coronavirus disease 2019 (COVID-19) and HIV positive, presented with respiratory symptoms, weight loss, and lymphadenopathy. He had various infections including Non-Tuberculous Mycobacteria (NTM), Cytomegalovirus (CMV), and Candida, with evolving lung and gastrointestinal issues. Despite treatment attempts, he deteriorated due to respiratory distress, multi-organ failure, and coagulopathy, leading to his unfortunate demise.
This report presents a distinctive and complex case of malakoplakia in an HIV-positive patient, a rare inflammatory disorder originally described by Michaelis and Gutmann in 1902. The hallmark Michaelis-Gutmann organisms were observed, confirming the diagnosis. While typically affecting the urinary tract, this case demonstrates the exceptional ability of malakoplakia to manifest in various organ systems, including pulmonary, gastrointestinal, and more. Although Escherichia coli is a prevalent associated pathogen, the exact cause remains elusive. Treatment, often involving surgical excision and antibiotic therapy, underscores the challenging nature of managing this condition in immunocompromised individuals.
黏膜相关淋巴组织结外边缘区 B 细胞淋巴瘤(MALT 淋巴瘤)是一种罕见的慢性淋巴组织增生性疾病,以边缘区 B 细胞增生为特征,常伴有黏膜相关淋巴组织(MALT)的浸润。
我们报告了一例 49 岁男性的双侧 MALT 淋巴瘤病例,该患者既往患有 2019 年冠状病毒病(COVID-19)和 HIV 阳性,表现为呼吸系统症状、体重减轻和淋巴结病。他患有各种感染,包括非结核分枝杆菌(NTM)、巨细胞病毒(CMV)和念珠菌感染,同时伴有进行性的肺部和胃肠道问题。尽管进行了治疗尝试,但由于呼吸窘迫、多器官衰竭和凝血功能障碍,患者病情恶化,最终不幸去世。
本报告介绍了一例 HIV 阳性患者中罕见的、复杂的 MALT 淋巴瘤病例,这是一种罕见的炎症性疾病,最初由 Michaelis 和 Gutmann 于 1902 年描述。观察到了典型的 Michaelis-Gutmann 生物体,证实了诊断。虽然通常影响泌尿道,但本例表明 MALT 淋巴瘤有在包括肺部、胃肠道和其他系统等多种器官系统中表现的非凡能力。虽然大肠杆菌是常见的相关病原体,但确切的病因仍不清楚。治疗方法通常包括手术切除和抗生素治疗,强调了在免疫功能低下个体中管理这种疾病的挑战性。