Suppr超能文献

星形胶质细胞溶酶体蛋白水解的破坏促进早发性帕金森病模型中中脑细胞体的蛋白稳态失调。

Disruption of lysosomal proteolysis in astrocytes facilitates midbrain organoid proteostasis failure in an early-onset Parkinson's disease model.

机构信息

Nash Family Department of Neuroscience at Mount Sinai, New York, NY, USA.

Ronald M. Loeb Center for Alzheimer's Disease at Mount Sinai, New York, NY, USA.

出版信息

Nat Commun. 2024 Jan 10;15(1):447. doi: 10.1038/s41467-024-44732-2.

Abstract

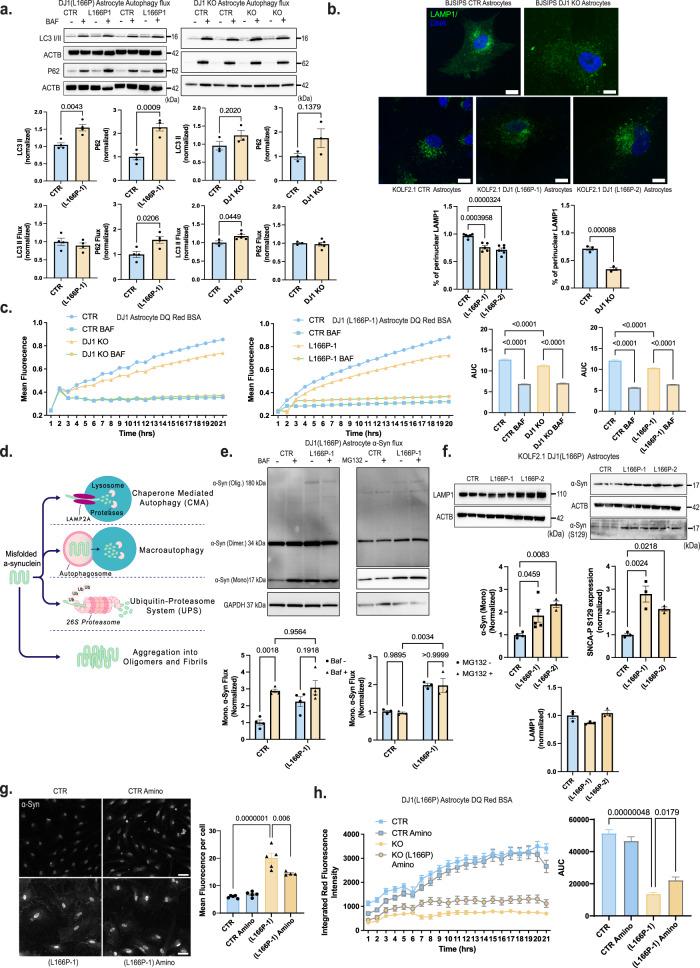
Accumulation of advanced glycation end products (AGEs) on biopolymers accompanies cellular aging and drives poorly understood disease processes. Here, we studied how AGEs contribute to development of early onset Parkinson's Disease (PD) caused by loss-of-function of DJ1, a protein deglycase. In induced pluripotent stem cell (iPSC)-derived midbrain organoid models deficient for DJ1 activity, we find that lysosomal proteolysis is impaired, causing AGEs to accumulate, α-synuclein (α-syn) phosphorylation to increase, and proteins to aggregate. We demonstrated these processes are at least partly driven by astrocytes, as DJ1 loss reduces their capacity to provide metabolic support and triggers acquisition of a pro-inflammatory phenotype. Consistently, in co-cultures, we find that DJ1-expressing astrocytes are able to reverse the proteolysis deficits of DJ1 knockout midbrain neurons. In conclusion, astrocytes' capacity to clear toxic damaged proteins is critical to preserve neuronal function and their dysfunction contributes to the neurodegeneration observed in a DJ1 loss-of-function PD model.

摘要

生物聚合物上晚期糖基化终产物 (AGEs) 的积累伴随着细胞衰老,并导致人们对疾病过程的理解不足。在这里,我们研究了 AGEs 如何导致 DJ1 功能丧失引起的早发性帕金森病 (PD) 的发展,DJ1 是一种蛋白去糖基化酶。在 DJ1 活性缺失的诱导多能干细胞 (iPSC) 衍生的中脑类器官模型中,我们发现溶酶体蛋白水解受损,导致 AGEs 积累、α-突触核蛋白 (α-syn) 磷酸化增加以及蛋白聚集。我们证明这些过程至少部分是由星形胶质细胞驱动的,因为 DJ1 的缺失降低了它们提供代谢支持的能力,并引发了促炎表型的获得。一致的是,在共培养物中,我们发现表达 DJ1 的星形胶质细胞能够逆转 DJ1 敲除中脑神经元的蛋白水解缺陷。总之,星形胶质细胞清除有毒损伤蛋白的能力对于维持神经元功能至关重要,其功能障碍导致 DJ1 功能丧失 PD 模型中观察到的神经退行性变。

https://cdn.ncbi.nlm.nih.gov/pmc/blobs/00e7/10781970/153b9fb7d8f6/41467_2024_44732_Fig1_HTML.jpg

文献检索

告别复杂PubMed语法,用中文像聊天一样搜索,搜遍4000万医学文献。AI智能推荐,让科研检索更轻松。

立即免费搜索

文件翻译

保留排版,准确专业,支持PDF/Word/PPT等文件格式,支持 12+语言互译。

免费翻译文档

深度研究

AI帮你快速写综述,25分钟生成高质量综述,智能提取关键信息,辅助科研写作。

立即免费体验