• 文献检索
  • 文档翻译
  • 深度研究
  • 学术资讯
  • Suppr Zotero 插件Zotero 插件
  • 邀请有礼
  • 套餐&价格
  • 历史记录
应用&插件
Suppr Zotero 插件Zotero 插件浏览器插件Mac 客户端Windows 客户端微信小程序
定价
高级版会员购买积分包购买API积分包
服务
文献检索文档翻译深度研究API 文档MCP 服务
关于我们
关于 Suppr公司介绍联系我们用户协议隐私条款
关注我们

Suppr 超能文献

核心技术专利:CN118964589B侵权必究
粤ICP备2023148730 号-1Suppr @ 2026

文献检索

告别复杂PubMed语法,用中文像聊天一样搜索,搜遍4000万医学文献。AI智能推荐,让科研检索更轻松。

立即免费搜索

文件翻译

保留排版,准确专业,支持PDF/Word/PPT等文件格式,支持 12+语言互译。

免费翻译文档

深度研究

AI帮你快速写综述,25分钟生成高质量综述,智能提取关键信息,辅助科研写作。

立即免费体验

肌球蛋白重链基因错义突变致扩张型心肌病家系的遗传学分析

Cardiomyocyte-Specific Loss of Glutamyl-prolyl-tRNA Synthetase Leads to Disturbed Protein Homeostasis and Dilated Cardiomyopathy.

机构信息

Aab Cardiovascular Research Institute, Department of Medicine, University of Rochester School of Medicine & Dentistry, Rochester, NY 14642, USA.

Undergraduate Program in Biology and Medicine, Department of Biological Sciences: Biochemistry, University of Rochester, Rochester, NY 14620, USA.

出版信息

Cells. 2023 Dec 22;13(1):35. doi: 10.3390/cells13010035.

DOI:10.3390/cells13010035
PMID:38201239
原文链接:https://pmc.ncbi.nlm.nih.gov/articles/PMC10778562/
Abstract

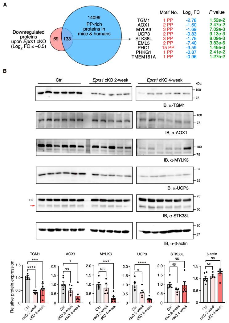
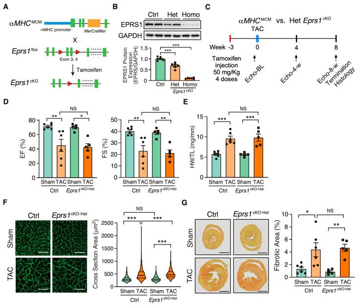
Glutamyl-prolyl-tRNA synthetase (EPRS1), an aminoacyl-tRNA synthetase (ARS) ligating glutamic acid and proline to their corresponding tRNAs, plays an essential role in decoding proline codons during translation elongation. The physiological function of EPRS1 in cardiomyocytes (CMs) and the potential effects of the CM-specific loss of Eprs1 remain unknown. Here, we found that heterozygous Eprs1 knockout in CMs does not cause any significant changes in CM hypertrophy induced by pressure overload, while homozygous knockout leads to dilated cardiomyopathy, heart failure, and lethality at around 1 month after Eprs1 deletion. The transcriptomic profiling of early-stage Eprs1 knockout hearts suggests a significantly decreased expression of multiple ion channel genes and an increased gene expression in proapoptotic pathways and integrated stress response. Proteomic analysis shows decreased protein expression in multi-aminoacyl-tRNA synthetase complex components, fatty acids, and branched-chain amino acid metabolic enzymes, as well as a compensatory increase in cytosolic translation machine-related proteins. Immunoblot analysis indicates that multiple proline-rich proteins were reduced at the early stage, which might contribute to the cardiac dysfunction of Eprs1 knockout mice. Taken together, this study demonstrates the physiological and molecular outcomes of loss-of-function of Eprs1 in vivo and provides valuable insights into the potential side effects on CMs, resulting from the EPRS1-targeting therapeutic approach.

摘要

谷氨酰-脯氨酰-tRNA 合成酶(EPRS1)是一种氨酰-tRNA 合成酶(ARS),可将谷氨酸和脯氨酸连接到其相应的 tRNA 上,在翻译延伸过程中对解码脯氨酸密码子起着至关重要的作用。EPRS1 在心肌细胞(CMs)中的生理功能以及 CM 特异性缺失 Eprs1 的潜在影响尚不清楚。在这里,我们发现 CMs 中的杂合 Eprs1 敲除不会导致压力超负荷诱导的 CM 肥大发生任何显著变化,而纯合敲除会导致扩张型心肌病、心力衰竭,并在 Eprs1 删除后约 1 个月内导致死亡。早期 Eprs1 敲除心脏的转录组谱分析表明,多个离子通道基因的表达显著降低,促凋亡途径和整合应激反应的基因表达增加。蛋白质组分析显示多氨酰-tRNA 合成酶复合物成分、脂肪酸和支链氨基酸代谢酶的蛋白表达减少,同时细胞溶质翻译机器相关蛋白的代偿性增加。免疫印迹分析表明,早期有多种富含脯氨酸的蛋白减少,这可能导致 Eprs1 敲除小鼠的心脏功能障碍。总之,本研究证明了 Eprs1 在体内失活的生理和分子结果,并为 EPRS1 靶向治疗方法对 CMs 可能产生的潜在副作用提供了有价值的见解。

https://cdn.ncbi.nlm.nih.gov/pmc/blobs/6964/10778562/34ebddaca89b/cells-13-00035-g006.jpg
https://cdn.ncbi.nlm.nih.gov/pmc/blobs/6964/10778562/2ab140eaab4f/cells-13-00035-g001.jpg
https://cdn.ncbi.nlm.nih.gov/pmc/blobs/6964/10778562/69a16d8c6832/cells-13-00035-g002.jpg
https://cdn.ncbi.nlm.nih.gov/pmc/blobs/6964/10778562/80d4176b7134/cells-13-00035-g003.jpg
https://cdn.ncbi.nlm.nih.gov/pmc/blobs/6964/10778562/255749292930/cells-13-00035-g004.jpg
https://cdn.ncbi.nlm.nih.gov/pmc/blobs/6964/10778562/d1c5e750f2f8/cells-13-00035-g005.jpg
https://cdn.ncbi.nlm.nih.gov/pmc/blobs/6964/10778562/34ebddaca89b/cells-13-00035-g006.jpg
https://cdn.ncbi.nlm.nih.gov/pmc/blobs/6964/10778562/2ab140eaab4f/cells-13-00035-g001.jpg
https://cdn.ncbi.nlm.nih.gov/pmc/blobs/6964/10778562/69a16d8c6832/cells-13-00035-g002.jpg
https://cdn.ncbi.nlm.nih.gov/pmc/blobs/6964/10778562/80d4176b7134/cells-13-00035-g003.jpg
https://cdn.ncbi.nlm.nih.gov/pmc/blobs/6964/10778562/255749292930/cells-13-00035-g004.jpg
https://cdn.ncbi.nlm.nih.gov/pmc/blobs/6964/10778562/d1c5e750f2f8/cells-13-00035-g005.jpg
https://cdn.ncbi.nlm.nih.gov/pmc/blobs/6964/10778562/34ebddaca89b/cells-13-00035-g006.jpg

相似文献

1
Cardiomyocyte-Specific Loss of Glutamyl-prolyl-tRNA Synthetase Leads to Disturbed Protein Homeostasis and Dilated Cardiomyopathy.肌球蛋白重链基因错义突变致扩张型心肌病家系的遗传学分析
Cells. 2023 Dec 22;13(1):35. doi: 10.3390/cells13010035.
2
Cardiomyocyte-specific Loss of Glutamyl-prolyl-tRNA Synthetase Leads to Disturbed Protein Homeostasis and Dilated Cardiomyopathy.心肌细胞特异性谷氨酸-脯氨酸-tRNA合成酶缺失导致蛋白质稳态紊乱和扩张型心肌病。
bioRxiv. 2023 Sep 22:2023.09.19.558539. doi: 10.1101/2023.09.19.558539.
3
AKT-dependent nuclear localization of EPRS1 activates PARP1 in breast cancer cells.EPRS1 的 AKT 依赖性核定位激活乳腺癌细胞中的 PARP1。
Proc Natl Acad Sci U S A. 2024 Jul 23;121(30):e2303642121. doi: 10.1073/pnas.2303642121. Epub 2024 Jul 16.
4
Glutamyl-Prolyl-tRNA Synthetase Regulates Proline-Rich Pro-Fibrotic Protein Synthesis During Cardiac Fibrosis.谷氨酰 - 脯氨酰 -tRNA 合成酶在心脏纤维化过程中调节富含脯氨酸的促纤维化蛋白的合成。
Circ Res. 2020 Aug 28;127(6):827-846. doi: 10.1161/CIRCRESAHA.119.315999. Epub 2020 Jul 1.
5
Phosphocode-dependent glutamyl-prolyl-tRNA synthetase 1 signaling in immunity, metabolism, and disease.磷酸化依赖的谷氨酰-脯氨酰-tRNA 合成酶 1 在免疫、代谢和疾病中的信号转导作用。
Exp Mol Med. 2023 Oct;55(10):2116-2126. doi: 10.1038/s12276-023-01094-x. Epub 2023 Oct 2.
6
Glutamyl-prolyl-tRNA synthetase (EPRS1) drives tubulointerstitial nephritis-induced fibrosis by enhancing T cell proliferation and activity.谷氨酰脯氨酰-tRNA 合成酶(EPRS1)通过增强 T 细胞增殖和活性来驱动肾小管间质性肾炎诱导的纤维化。
Kidney Int. 2024 May;105(5):997-1019. doi: 10.1016/j.kint.2024.01.011. Epub 2024 Feb 5.
7
Targeting immune cell glutamyl-prolyl-transfer RNA synthetase 1 (EPRS1) to prevent fibrosis after tubulointerstitial nephritis.靶向免疫细胞谷氨酰-脯氨酰-tRNA 合成酶 1(EPRS1)预防肾小管间质性肾炎后纤维化。
Kidney Int. 2024 May;105(5):924-926. doi: 10.1016/j.kint.2024.02.007.
8
Aminoacylation-defective bi-allelic mutations in human EPRS1 associated with psychomotor developmental delay, epilepsy, and deafness.EPRS1 基因中导致氨酰化缺陷的双等位基因突变与精神运动发育迟缓、癫痫和耳聋有关。
Clin Genet. 2023 Mar;103(3):358-363. doi: 10.1111/cge.14269. Epub 2022 Dec 1.
9
EPRS1 correlates with malignant progression in hepatocellular carcinoma.EPRS1与肝细胞癌的恶性进展相关。
Infect Agent Cancer. 2023 May 3;18(1):27. doi: 10.1186/s13027-023-00503-0.
10
Disease-associated mutations in a bifunctional aminoacyl-tRNA synthetase gene elicit the integrated stress response.疾病相关突变在双功能氨酰-tRNA 合成酶基因中引发综合应激反应。
J Biol Chem. 2021 Oct;297(4):101203. doi: 10.1016/j.jbc.2021.101203. Epub 2021 Sep 17.

引用本文的文献

1
Translational Control in Cardiac Pathophysiology and Therapeutic Development: When mRNA Meets the Heart.心脏病理生理学与治疗学发展中的翻译控制:当信使核糖核酸与心脏相遇时。
Int J Mol Sci. 2025 Aug 14;26(16):7863. doi: 10.3390/ijms26167863.
2
Role of TRPV1 and TRPA1 nociceptive neurons in delayed-onset muscle soreness: inhibition by hesperidin methyl chalcone.瞬时受体电位香草酸亚型1(TRPV1)和锚蛋白1(TRPA1)伤害性神经元在延迟性肌肉酸痛中的作用:橙皮素甲基查耳酮的抑制作用
Inflammopharmacology. 2025 Apr 26. doi: 10.1007/s10787-025-01762-6.
3
Cuproptosis-Related Gene FDX1 Suppresses the Growth and Progression of Colorectal Cancer by Retarding EMT Progress.

本文引用的文献

1
Control of fibrosis with enhanced safety via asymmetric inhibition of prolyl-tRNA synthetase 1.通过不对称抑制脯氨酰-tRNA 合成酶 1 来控制纤维化,提高安全性。
EMBO Mol Med. 2023 Jul 10;15(7):e16940. doi: 10.15252/emmm.202216940. Epub 2023 May 22.
2
RPL3L-containing ribosomes determine translation elongation dynamics required for cardiac function.含 RPL3L 的核糖体决定了心脏功能所需的翻译延伸动态。
Nat Commun. 2023 Apr 20;14(1):2131. doi: 10.1038/s41467-023-37838-6.
3
Dynamic interplay between RPL3- and RPL3L-containing ribosomes modulates mitochondrial activity in the mammalian heart.
铜死亡相关基因FDX1通过延缓上皮-间质转化进程抑制结直肠癌的生长和进展。
Biochem Genet. 2025 Feb;63(1):775-788. doi: 10.1007/s10528-024-10784-8. Epub 2024 Mar 23.
RPL3-和 RPL3L 包含的核糖体之间的动态相互作用调节哺乳动物心脏中的线粒体活性。
Nucleic Acids Res. 2023 Jun 23;51(11):5301-5324. doi: 10.1093/nar/gkad121.
4
Ciclopirox Inhibition of eIF5A Hypusination Attenuates Fibroblast Activation and Cardiac Fibrosis.环吡酮对真核翻译起始因子5A(eIF5A)去氢腐胺化修饰的抑制作用可减轻成纤维细胞活化和心脏纤维化。
J Cardiovasc Dev Dis. 2023 Jan 29;10(2):52. doi: 10.3390/jcdd10020052.
5
Multimodal cotranslational interactions direct assembly of the human multi-tRNA synthetase complex.多模态共翻译相互作用指导人多 tRNA 合成酶复合物的组装。
Proc Natl Acad Sci U S A. 2022 Sep 6;119(36):e2205669119. doi: 10.1073/pnas.2205669119. Epub 2022 Aug 29.
6
Prospects of halofuginone as an antiprotozoal drug scaffold.卤夫酮作为抗原生动物药物支架的前景。
Drug Discov Today. 2022 Sep;27(9):2586-2592. doi: 10.1016/j.drudis.2022.05.020. Epub 2022 May 27.
7
DAVID: a web server for functional enrichment analysis and functional annotation of gene lists (2021 update).DAVID:一个用于基因列表功能富集分析和功能注释的网络服务器(2021 更新)。
Nucleic Acids Res. 2022 Jul 5;50(W1):W216-W221. doi: 10.1093/nar/gkac194.
8
Disease-associated mutations in a bifunctional aminoacyl-tRNA synthetase gene elicit the integrated stress response.疾病相关突变在双功能氨酰-tRNA 合成酶基因中引发综合应激反应。
J Biol Chem. 2021 Oct;297(4):101203. doi: 10.1016/j.jbc.2021.101203. Epub 2021 Sep 17.
9
Cardiac Energy Metabolism in Heart Failure.心力衰竭中的心脏能量代谢。
Circ Res. 2021 May 14;128(10):1487-1513. doi: 10.1161/CIRCRESAHA.121.318241. Epub 2021 May 13.
10
Senescence mechanisms and targets in the heart.心脏衰老的机制和靶点。
Cardiovasc Res. 2022 Mar 25;118(5):1173-1187. doi: 10.1093/cvr/cvab161.