Suppr超能文献

人乳腺癌中组蛋白去乙酰化酶2(HDAC-2)表达的评估

Evaluation of the Histone Deacetylase 2 (HDAC-2) Expression in Human Breast Cancer.

作者信息

Damaskos Christos, Psilopatis Iason, Garmpi Anna, Dimitroulis Dimitrios, Nikolettos Konstantinos, Vrettou Kleio, Sarantis Panagiotis, Koustas Evangelos, Kouraklis Gregory, Antoniou Efstathios A, Karamouzis Michail V, Nikolettos Nikolaos, Tsikouras Panagiotis, Marinos Georgios, Kontomanolis Emmanouil, Kontzoglou Konstantinos, Garmpis Nikolaos

机构信息

Renal Transplantation Unit, Laiko General Hospital, 11527 Athens, Greece.

N.S. Christeas Laboratory of Experimental Surgery and Surgical Research, Medical School, National and Kapodistrian University of Athens, 11527 Athens, Greece.

出版信息

Cancers (Basel). 2024 Jan 1;16(1):209. doi: 10.3390/cancers16010209.

Abstract

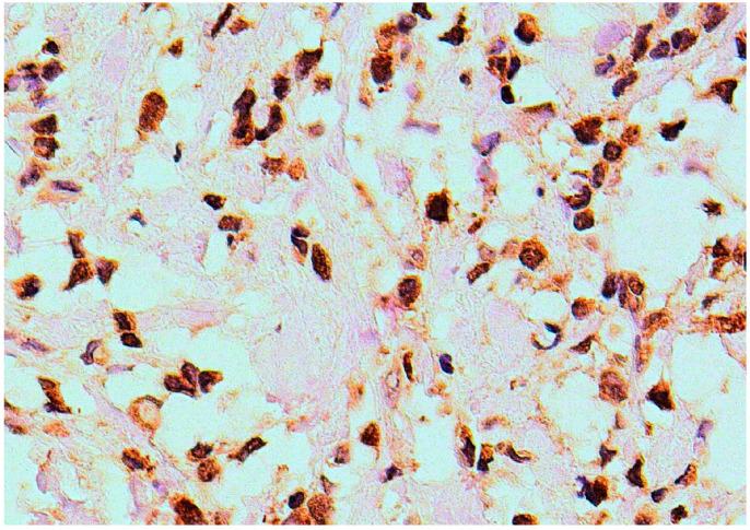
BACKGROUND/AIM: Triple negative breast cancer belongs to the most aggressive breast cancer forms. Histone deacetylases (HDACs) constitute a class of enzymes that exhibit a significant role in breast cancer genesis and progression. In this study, we aimed at assessing the clinical importance of HDAC-2 in triple negative breast cancer.

MATERIALS AND METHODS

A total of 138 breast cancer specimens were examined on an immunohistochemical basis. A statistical analysis was performed in order to examine the association between HDAC-2 and the survival and clinicopathological features of the patients.

RESULTS

Increased HDAC-2 expression was observed in every fourth case of triple negative breast cancer with positive HDAC-2 staining, whereas only 12 out of 98 non-triple negative breast cancer samples showed high HDAC-2 expression. HDAC-2 overexpression correlated with prolonged overall survival (OS) and disease-free survival (DFS) in triple negative breast cancer.

CONCLUSIONS

High HDAC-2 levels in triple negative breast cancer seem to positively influence patient survival, disease stage and recurrence.

摘要

背景/目的:三阴性乳腺癌是最具侵袭性的乳腺癌类型之一。组蛋白去乙酰化酶(HDACs)是一类在乳腺癌发生和发展中发挥重要作用的酶。在本研究中,我们旨在评估HDAC-2在三阴性乳腺癌中的临床重要性。

材料与方法

共对138例乳腺癌标本进行免疫组化检查。进行统计分析以检验HDAC-2与患者生存及临床病理特征之间的关联。

结果

在每四例HDAC-2染色阳性的三阴性乳腺癌病例中观察到HDAC-2表达增加,而在98例非三阴性乳腺癌样本中只有12例显示HDAC-2高表达。HDAC-2过表达与三阴性乳腺癌患者的总生存期(OS)延长和无病生存期(DFS)相关。

结论

三阴性乳腺癌中HDAC-2水平升高似乎对患者生存、疾病分期和复发有积极影响。

https://cdn.ncbi.nlm.nih.gov/pmc/blobs/4178/10777907/690de96cbf77/cancers-16-00209-g001.jpg

文献检索

告别复杂PubMed语法,用中文像聊天一样搜索,搜遍4000万医学文献。AI智能推荐,让科研检索更轻松。

立即免费搜索

文件翻译

保留排版,准确专业,支持PDF/Word/PPT等文件格式,支持 12+语言互译。

免费翻译文档

深度研究

AI帮你快速写综述,25分钟生成高质量综述,智能提取关键信息,辅助科研写作。

立即免费体验