Suppr超能文献

光损伤可诱导小鼠视网膜和玻璃体中的炎症因子。

Light damage induces inflammatory factors in mouse retina and vitreous humor.

机构信息

State Key Laboratory of Ophthalmology, Zhongshan Ophthalmic Center, Sun Yat-Sen University, Guangzhou, Guangdong, 510060, China.

出版信息

Mol Vis. 2023 Oct 15;29:180-187. eCollection 2023.

Abstract

PURPOSE

Increased inflammatory factor levels have been reported in the vitreous humor (VH) of diabetic retinopathy and neovascular age-related macular degeneration, ocular diseases generally associated with the formation of new retinal blood vessels and leakage. However, the levels of inflammatory mediators are less known in retinal degeneration without neovascularization. Human retinitis pigmentosa (RP) and animal models of light-induced retinal degeneration (LIRD) share several features, such as photoreceptor death and retinal inflammation. Here, we aimed to determine the levels of inflammatory factors in the VH of the LIRD mouse model.

METHODS

LIRD was induced by exposing BALB/c mice to white light (15,000 lx, 2 h), and the mice were recovered for 2 days before analysis (n = 50 mice). We assessed retinal morphology using optical coherence tomography and hematoxylin and eosin staining; retinal cell viability was determined using terminal deoxynucleotidyl transferase dUTP nick-end labeling, and retinal responses were measured based on electroretinogram signals. Total retinal RNAs were extracted and subjected to RNA sequencing analysis. VH samples from control (n = 4) and LIRD mice (n = 9) were assayed in triplicate for a panel of four inflammatory mediators using the Simple Plex Cartridge on an Ella System.

RESULTS

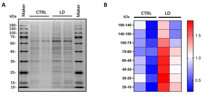
Retinal degeneration, photoreceptor death, infiltration of microglia/macrophages into the photoreceptor layer, and loss of a- and b-waves were obviously detected after LIRD. RNA sequencing revealed that light damage (LD) led to the significant upregulation of inflammatory factors in mouse retinas. In the VH, LD increased the total protein concentration. Dramatic induction of CCL2 (3000 fold) and IL6 (10 fold) was detected in VH in response to LD. Increased but not significant levels of TNFα and IL1β were also detected in light-exposed VH.

CONCLUSIONS

Given that the LIRD model mimics RP pathogenesis in some aspects, these results suggest a causative link between retinal degeneration and VH inflammation in RP progression, and the increased CCL2 level in VH may reflect similar elevated CCL2 expression in the degenerative retina.

摘要

目的

在糖尿病性视网膜病变和新生血管性年龄相关性黄斑变性的玻璃体液(VH)中已报道炎症因子水平升高,这些眼部疾病通常与新的视网膜血管形成和渗漏有关。然而,在没有新生血管形成的视网膜变性中,炎症介质的水平知之甚少。人类色素性视网膜炎(RP)和光诱导的视网膜变性(LIRD)的动物模型有几个共同的特征,例如光感受器死亡和视网膜炎症。在这里,我们旨在确定 LIRD 小鼠模型中 VH 中的炎症因子水平。

方法

通过将 BALB/c 小鼠暴露于白光(15,000 lx,2 h)来诱导 LIRD,在分析前让小鼠恢复 2 天(n = 50 只小鼠)。我们使用光学相干断层扫描和苏木精和伊红染色评估视网膜形态;使用末端脱氧核苷酸转移酶 dUTP 缺口末端标记法测定视网膜细胞活力,并根据视网膜电图信号测量视网膜反应。提取总视网膜 RNA,并进行 RNA 测序分析。使用 Ella 系统上的 Simple Plex 试剂盒,在一式三份的情况下,对来自对照(n = 4)和 LIRD 小鼠(n = 9)的 VH 样本进行了四种炎症介质的检测。

结果

LIRD 后明显检测到视网膜变性、光感受器死亡、小胶质细胞/巨噬细胞浸润光感受器层以及 a-和 b-波丢失。RNA 测序显示,光损伤(LD)导致小鼠视网膜中炎症因子的显著上调。在 VH 中,LD 增加了总蛋白浓度。在 VH 中,检测到 CCL2(3000 倍)和 IL6(10 倍)的急剧诱导。还检测到 TNFα和 IL1β的水平升高,但不显著。

结论

鉴于 LIRD 模型在某些方面模拟了 RP 的发病机制,这些结果表明在 RP 进展过程中,视网膜变性和 VH 炎症之间存在因果关系,并且 VH 中 CCL2 水平的升高可能反映了退行性视网膜中类似的 CCL2 表达升高。

https://cdn.ncbi.nlm.nih.gov/pmc/blobs/4974/10784230/df380cbc367e/mv-v29-180-f1.jpg

文献AI研究员

20分钟写一篇综述,助力文献阅读效率提升50倍。

立即体验

用中文搜PubMed

大模型驱动的PubMed中文搜索引擎

马上搜索

文档翻译

学术文献翻译模型,支持多种主流文档格式。

立即体验