Suppr超能文献

可溶性环氧化物水解酶抑制增强了血管内皮细胞和牙髓干细胞之间相互作用介导的牙本质牙髓复合体再生。

Inhibition of soluble epoxide hydrolase enhances the dentin-pulp complex regeneration mediated by crosstalk between vascular endothelial cells and dental pulp stem cells.

机构信息

School of Stomatology, Dalian Medical University, No. 9 West Section, Lvshun South Road, Dalian, 116044, People's Republic of China.

Academician Laboratory of Immune and Oral Development & Regeneration, Dalian Medical University, Dalian, China.

出版信息

J Transl Med. 2024 Jan 16;22(1):61. doi: 10.1186/s12967-024-04863-y.

Abstract

BACKGROUND

Revascularization and restoration of normal pulp-dentin complex are important for tissue-engineered pulp regeneration. Recently, a unique periodontal tip-like endothelial cells subtype (POTCs) specialized to dentinogenesis was identified. We have confirmed that TPPU, a soluble epoxide hydrolase (sEH) inhibitor targeting epoxyeicosatrienoic acids (EETs) metabolism, promotes bone growth and regeneration by angiogenesis and osteogenesis coupling. We hypothesized that TPPU could also promote revascularization and induce POTCs to contribute to pulp-dentin complex regeneration. Here, we in vitro and in vivo characterized the potential effect of TPPU on the coupling of angiogenesis and odontogenesis and investigated the relevant mechanism, providing new ideas for pulp-dentin regeneration by targeting sEH.

METHODS

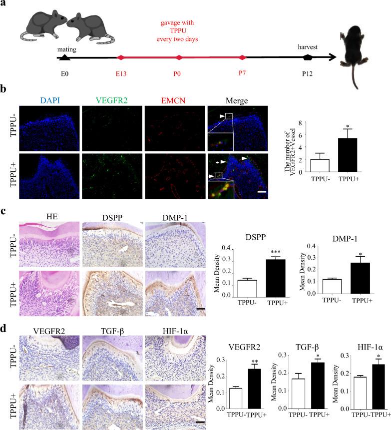
In vitro effects of TPPU on the proliferation, migration, and angiogenesis of dental pulp stem cells (DPSCs), human umbilical vein endothelial cells (HUVECs) and cocultured DPSCs and HUVECs were detected using cell counting kit 8 (CCK8) assay, wound healing, transwell, tube formation and RT-qPCR. In vivo, Matrigel plug assay was performed to outline the roles of TPPU in revascularization and survival of grafts. Then we characterized the VEGFR2 + POTCs around odontoblast layer in the molar of pups from C57BL/6 female mice gavaged with TPPU. Finally, the root segments with DPSCs mixed with Matrigel were implanted subcutaneously in BALB/c nude mice treated with TPPU and the root grafts were isolated for histological staining.

RESULTS

In vitro, TPPU significantly promoted the migration and tube formation capability of cocultured DPSCs and HUVECs. ALP and ARS staining and RT-qPCR showed that TPPU promoted the osteogenic and odontogenic differentiation of cultured cells, treatment with an anti-TGF-β blocking antibody abrogated this effect. Knockdown of HIF-1α in HUVECs significantly reversed the effect of TPPU on the expression of angiogenesis, osteogenesis and odontogenesis-related genes in cocultured cells. Matrigel plug assay showed that TPPU increased VEGF/VEGFR2-expressed cells in transplanted grafts. TPPU contributed to angiogenic-odontogenic coupling featured by increased VEGFR2 + POTCs and odontoblast maturation during early dentinogenesis in molar of newborn pups from C57BL/6 female mice gavaged with TPPU. TPPU induced more dental pulp-like tissue with more vessels and collagen fibers in transplanted root segment.

CONCLUSIONS

TPPU promotes revascularization of dental pulp regeneration by enhancing migration and angiogenesis of HUVECs, and improves odontogenic differentiation of DPSCs by TGF-β. TPPU boosts the angiogenic-odontogenic coupling by enhancing VEGFR2 + POTCs meditated odontoblast maturation partly via upregulating HIF-1α, which contributes to increasing pulp-dentin complex for tissue-engineered pulp regeneration.

摘要

背景

血运重建和正常牙髓-牙本质复合体的恢复对于组织工程牙髓再生至关重要。最近,发现了一种专门参与牙本质形成的独特牙周尖端样内皮细胞亚型(POTCs)。我们已经证实,TPPU 是一种针对环氧合酶代谢的可溶性环氧化物水解酶(sEH)抑制剂,通过血管生成和成骨耦联促进骨生长和再生。我们假设 TPPU 也可以促进血运重建并诱导 POTCs 有助于牙髓-牙本质复合体再生。在这里,我们在体外和体内研究了 TPPU 对血管生成和成牙本质耦联的潜在影响,并探讨了相关机制,为通过靶向 sEH 进行牙髓-牙本质再生提供了新的思路。

方法

通过 CCK8 测定法、划痕实验、Transwell 实验、管形成实验和 RT-qPCR 检测 TPPU 对牙髓干细胞(DPSCs)、人脐静脉内皮细胞(HUVECs)及其共培养 DPSCs 和 HUVECs 的增殖、迁移和血管生成的体外作用。在体内,通过 Matrigel plugs 实验概述 TPPU 在移植物血管化和存活中的作用。然后,我们描述了在给予 TPPU 的 C57BL/6 雌性小鼠磨牙中,VEGFR2+POTCs 围绕成牙本质层的情况。最后,将与 Matrigel 混合的 DPSCs 根段植入 TPPU 处理的 BALB/c 裸鼠皮下,分离根移植物进行组织学染色。

结果

在体外,TPPU 显著促进了共培养的 DPSCs 和 HUVECs 的迁移和管形成能力。碱性磷酸酶和碱性酒石酸铅染色和 RT-qPCR 显示 TPPU 促进了培养细胞的成骨和成牙本质分化,用抗 TGF-β 阻断抗体处理可消除这种作用。HUVECs 中 HIF-1α 的敲低显著逆转了 TPPU 对共培养细胞中血管生成、成骨和成牙本质相关基因表达的影响。Matrigel plugs 实验表明,TPPU 增加了移植移植物中表达 VEGF/VEGFR2 的细胞。TPPU 通过增加 VEGFR2+POTCs 和新生 C57BL/6 雌性小鼠磨牙中牙本质形成早期成牙本质细胞的成熟,促进了早期牙本质形成中的血管生成-成牙本质偶联。在 TPPU 处理的植入根段中,TPPU 诱导了更多具有更多血管和胶原纤维的牙髓样组织。

结论

TPPU 通过增强 HUVECs 的迁移和血管生成来促进牙髓再生的血管重建,并通过 TGF-β 增强 DPSCs 的成牙本质分化。TPPU 通过增强 VEGFR2+POTCs 介导的成牙本质细胞成熟来增强血管生成和成牙本质偶联,部分通过上调 HIF-1α 来增加牙髓-牙本质复合体,从而有助于组织工程牙髓再生。

https://cdn.ncbi.nlm.nih.gov/pmc/blobs/ffb2/10790489/2216f1bc90ab/12967_2024_4863_Fig1_HTML.jpg

文献检索

告别复杂PubMed语法,用中文像聊天一样搜索,搜遍4000万医学文献。AI智能推荐,让科研检索更轻松。

立即免费搜索

文件翻译

保留排版,准确专业,支持PDF/Word/PPT等文件格式,支持 12+语言互译。

免费翻译文档

深度研究

AI帮你快速写综述,25分钟生成高质量综述,智能提取关键信息,辅助科研写作。

立即免费体验