• 文献检索
  • 文档翻译
  • 深度研究
  • 学术资讯
  • Suppr Zotero 插件Zotero 插件
  • 邀请有礼
  • 套餐&价格
  • 历史记录
应用&插件
Suppr Zotero 插件Zotero 插件浏览器插件Mac 客户端Windows 客户端微信小程序
定价
高级版会员购买积分包购买API积分包
服务
文献检索文档翻译深度研究API 文档MCP 服务
关于我们
关于 Suppr公司介绍联系我们用户协议隐私条款
关注我们

Suppr 超能文献

核心技术专利:CN118964589B侵权必究
粤ICP备2023148730 号-1Suppr @ 2026

文献检索

告别复杂PubMed语法,用中文像聊天一样搜索,搜遍4000万医学文献。AI智能推荐,让科研检索更轻松。

立即免费搜索

文件翻译

保留排版,准确专业,支持PDF/Word/PPT等文件格式,支持 12+语言互译。

免费翻译文档

深度研究

AI帮你快速写综述,25分钟生成高质量综述,智能提取关键信息,辅助科研写作。

立即免费体验

永远不会太老:一例免疫功能正常的成年人发生的致命性爱泼斯坦-巴尔病毒肺炎。

Never too old: A case of fatal epstein barr virus pneumonia in an immunocompetent adult.

作者信息

Tanba Carl, Almaadawy Omar, Saleh Nahar

机构信息

Department of Internal Medicine, Medstar Health, Baltimore, MD, 21218, USA.

出版信息

Respir Med Case Rep. 2023 Dec 28;47:101970. doi: 10.1016/j.rmcr.2023.101970. eCollection 2024.

DOI:10.1016/j.rmcr.2023.101970
PMID:38260179
原文链接:https://pmc.ncbi.nlm.nih.gov/articles/PMC10801324/
Abstract

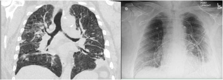
A 67-year-old immunocompetent male with COPD on supplemental oxygen presented with shortness of breath and was initially treated for bronchitis exacerbation with initial suspicion of bacterial pneumonia. He was later found to have EBV pneumonia diagnosed via positive EBV on bronchoalveolar lavage PCR. Severe lung involvement has been rarely reported in context of acute EBV infection. Treatment for this entity has not yet been established, with few reports of acyclovir and steroid use. This report describes the presentation, diagnosis, and treatment of acute EBV pneumonia.

摘要

一名67岁免疫功能正常的男性,患有慢性阻塞性肺疾病(COPD)且需吸氧,因呼吸急促就诊,最初因怀疑细菌性肺炎而按支气管炎加重进行治疗。后来经支气管肺泡灌洗PCR检测EBV呈阳性,确诊为EBV肺炎。在急性EBV感染的情况下,严重肺部受累的情况鲜有报道。针对该病症的治疗方法尚未确定,仅有少量使用阿昔洛韦和类固醇的报告。本报告描述了急性EBV肺炎的临床表现、诊断和治疗。

https://cdn.ncbi.nlm.nih.gov/pmc/blobs/5861/10801324/f42af47b540b/gr2.jpg
https://cdn.ncbi.nlm.nih.gov/pmc/blobs/5861/10801324/c67635c775f5/gr1.jpg
https://cdn.ncbi.nlm.nih.gov/pmc/blobs/5861/10801324/f42af47b540b/gr2.jpg
https://cdn.ncbi.nlm.nih.gov/pmc/blobs/5861/10801324/c67635c775f5/gr1.jpg
https://cdn.ncbi.nlm.nih.gov/pmc/blobs/5861/10801324/f42af47b540b/gr2.jpg

相似文献

1
Never too old: A case of fatal epstein barr virus pneumonia in an immunocompetent adult.永远不会太老:一例免疫功能正常的成年人发生的致命性爱泼斯坦-巴尔病毒肺炎。
Respir Med Case Rep. 2023 Dec 28;47:101970. doi: 10.1016/j.rmcr.2023.101970. eCollection 2024.
2
Acute fibrinous and organizing pneumonia complicated with hemophagocytic lymphohistiocytosis caused by chronic active Epstein-Barr virus infection: a case report.由慢性活动性 EBV 感染引起的伴噬血细胞性淋巴组织细胞增生症的急性纤维蛋白性和机化性肺炎:病例报告。
BMC Infect Dis. 2021 Dec 4;21(1):1207. doi: 10.1186/s12879-021-06868-0.
3
Epstein-Barr virus (EBV) induced pneumonitis in an immunocompetent adult: A case report.爱泼斯坦-巴尔病毒(EBV)引起的免疫功能正常成人肺炎:一例报告
Respir Med Case Rep. 2020 Nov 13;31:101262. doi: 10.1016/j.rmcr.2020.101262. eCollection 2020.
4
Chronic Epstein-Barr virus infection causing both benign and malignant lymphoproliferative disorders.慢性爱泼斯坦-巴尔病毒感染可引发良性和恶性淋巴增殖性疾病。
Korean J Pediatr. 2014 Sep;57(9):420-4. doi: 10.3345/kjp.2014.57.9.420. Epub 2014 Sep 30.
5
Epstein Barr Virus-Related Acute Liver Failure and Hemophagocytosis in an Immunocompetent Individual: An Autopsy Report.免疫功能正常个体中与 Epstein-Barr 病毒相关的急性肝衰竭和噬血细胞综合征:尸检报告。
Int J Surg Pathol. 2024 Jun;32(4):838-844. doi: 10.1177/10668969231195068. Epub 2023 Sep 18.
6
EPSTEIN-BARR VIRUS ACUTE RETINAL NECROSIS IN AN IMMUNOCOMPETENT HOST.免疫功能正常宿主中的 EBV 急性视网膜坏死。
Retin Cases Brief Rep. 2021 Jul 1;15(4):412-416. doi: 10.1097/ICB.0000000000000819.
7
EPSTEIN-BARR virus pneumonitis in a immunocompetent young adult.免疫功能正常的年轻成年人中的爱泼斯坦-巴尔病毒肺炎
Respir Med Case Rep. 2024 Jun 21;51:102080. doi: 10.1016/j.rmcr.2024.102080. eCollection 2024.
8
Epstein-Barr Virus-Associated Acute Liver Failure Present in a 67-Year-Old Immunocompetent Female.一名67岁免疫功能正常女性出现的与爱泼斯坦-巴尔病毒相关的急性肝衰竭
Gastroenterology Res. 2016 Oct;9(4-5):74-78. doi: 10.14740/gr718e. Epub 2016 Sep 20.
9
A case of Epstein-Barr virus acute retinal necrosis successfully treated with foscarnet.一例应用膦甲酸钠成功治疗的爱泼斯坦-巴尔病毒急性视网膜坏死病例。
Am J Ophthalmol Case Rep. 2022 Jan 29;25:101363. doi: 10.1016/j.ajoc.2022.101363. eCollection 2022 Mar.
10
Epstein-Barr virus serology and PCR: conflicting results in an immunocompetent host. A case report and review of literature.爱泼斯坦-巴尔病毒血清学与聚合酶链反应:免疫功能正常宿主中的矛盾结果。一例病例报告及文献综述
Acta Clin Belg. 2014 Aug;69(4):262-6. doi: 10.1179/2295333714Y.0000000037. Epub 2014 Jun 10.

引用本文的文献

1
A case of coexistence of hydroa vacciniforme-like lymphoproliferative disorder and Epstein-Barr virus pneumonia.一例种痘样水疱病样淋巴增殖性疾病与爱泼斯坦-巴尔病毒肺炎并存的病例。
JAAD Case Rep. 2025 Jun 24;63:165-167. doi: 10.1016/j.jdcr.2025.02.050. eCollection 2025 Sep.

本文引用的文献

1
Epstein-Barr virus (EBV) induced pneumonitis in an immunocompetent adult: A case report.爱泼斯坦-巴尔病毒(EBV)引起的免疫功能正常成人肺炎:一例报告
Respir Med Case Rep. 2020 Nov 13;31:101262. doi: 10.1016/j.rmcr.2020.101262. eCollection 2020.
2
Primary Epstein-Barr virus infection.原发性 EBV 感染。
J Clin Virol. 2018 May;102:84-92. doi: 10.1016/j.jcv.2018.03.001. Epub 2018 Mar 5.
3
[Acute respiratory distress syndrome complicating Ebstein-Barr virus pneumonia].[急性呼吸窘迫综合征并发EB病毒肺炎]
Rev Mal Respir. 2007 May;24(5):639-43. doi: 10.1016/s0761-8425(07)91134-1.
4
Clinical inquiries. What test is the best for diagnosing infectious mononucleosis?临床问题。诊断传染性单核细胞增多症的最佳检查是什么?
J Fam Pract. 2006 Sep;55(9):799-802.
5
Epstein-Barr virus infection and human malignancies.爱泼斯坦-巴尔病毒感染与人类恶性肿瘤
Int J Exp Pathol. 2001 Jun;82(3):149-70. doi: 10.1046/j.1365-2613.2001.iep0082-0149-x.
6
Acyclovir and prednisolone treatment of acute infectious mononucleosis: a multicenter, double-blind, placebo-controlled study.
J Infect Dis. 1996 Aug;174(2):324-31. doi: 10.1093/infdis/174.2.324.
7
Severe respiratory insufficiency complicating Epstein-Barr virus infection: case report and review.严重呼吸功能不全并发爱泼斯坦-巴尔病毒感染:病例报告及文献复习
Clin Infect Dis. 1995 Jul;21(1):206-9. doi: 10.1093/clinids/21.1.206.
8
Chronic Epstein-Barr virus infection associated with fever and interstitial pneumonitis. Clinical and serologic features and response to antiviral chemotherapy.与发热和间质性肺炎相关的慢性EB病毒感染。临床和血清学特征及对抗病毒化疗的反应。
Ann Intern Med. 1986 May;104(5):636-43. doi: 10.7326/0003-4819-104-5-636.