Yao Changyu, Kong Jian, Xu Fei, Wang Shaohong, Wu Shilun, Sun Wenbing, Gao Jun
Department of Hepatobiliary Surgery, Beijing Chaoyang Hospital, Capital Medical University, Beijing, 100043, People's Republic of China.
J Inflamm Res. 2024 Jan 18;17:371-385. doi: 10.2147/JIR.S435486. eCollection 2024.
Systemic inflammatory response syndrome (SIRS) is a common complication of radiofrequency ablation (RFA) for hepatic hemangiomas. RFA can cause hemolytic reactions during hepatic hemangioma ablation. However, the mechanisms underlying RFA-induced SIRS remain unclear.
We established an orthotopic liver hemangioma model and performed radiofrequency ablation. The levels of interleukin (IL)-1β and IL-18 and the production of ROS were measured. The wet-to-dry lung ratio, inflammation score, and in vivo endothelial cell permeability were examined. GSDMD mice were used to investigate the effect of heme-inducing SIRS. RNA sequencing (RNA-seq) was performed to identify the main pathways underlying heme-induced SIRS. Western blotting and immunoprecipitation were used to determine the changes and interactions of associated proteins.
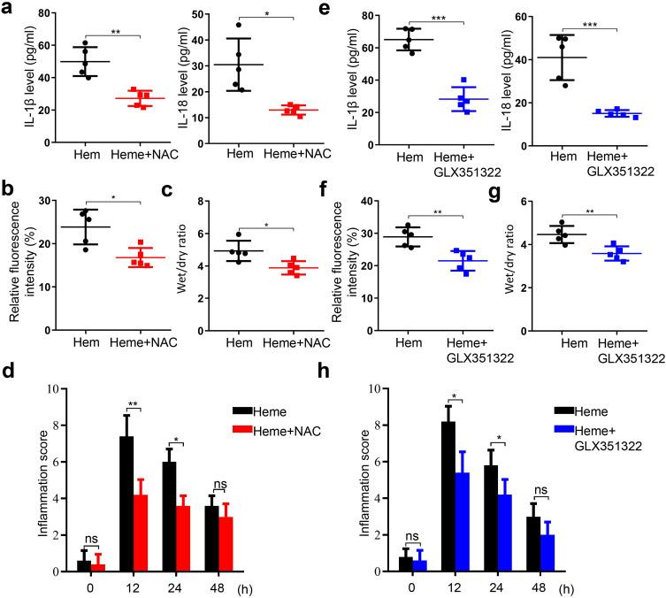
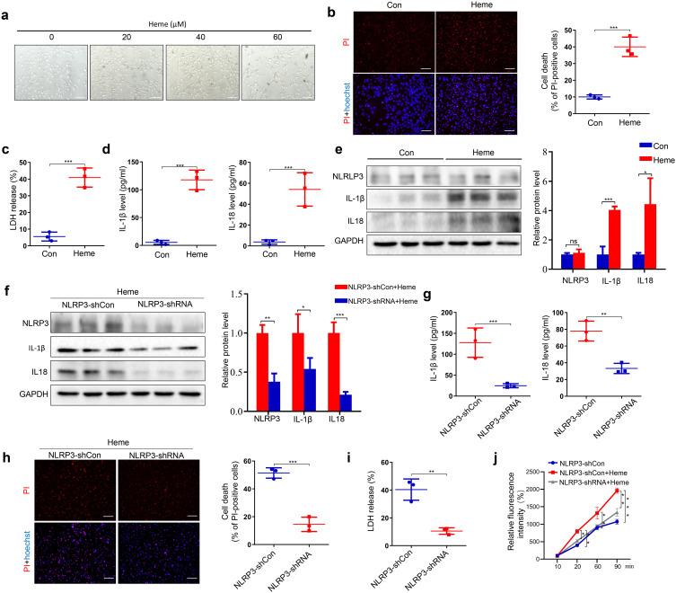
The levels of heme, IL-1β, and IL-18 were significantly increased after RFA. The wet-to-dry lung ratio increased in hepatic hemangiomas after RFA, indicating that SIRS occurred. Heme induced increased levels of IL-1β and IL-18, cell death, wet-to-dry lung radio, and inflammation score in vitro and in vivo, indicating that heme induced SIRS and pyroptosis. Furthermore, GSDMD participates in heme-induced SIRS in mice, and GSDMD deletion in mice reverses the effect of heme. Heme regulates NLRP3 activation through the NOX4/ROS/TXNIP-TRX pathway, and an N-acetyl-L-cysteine (NAC) or NOX4 inhibitor (GLX351322) reverses heme-induced SIRS.
Our findings suggest that heme induces endothelial cell pyroptosis and SIRS in mice and decreasing heme levels and ROS scavengers may prevent SIRS in hepatic hemangioma after RFA.
全身炎症反应综合征(SIRS)是肝血管瘤射频消融(RFA)的常见并发症。RFA在肝血管瘤消融过程中可引起溶血反应。然而,RFA诱导SIRS的机制尚不清楚。
我们建立了原位肝血管瘤模型并进行射频消融。检测白细胞介素(IL)-1β和IL-18水平以及活性氧的产生。检测肺湿干比、炎症评分和体内内皮细胞通透性。使用GSDMD小鼠研究血红素诱导SIRS的作用。进行RNA测序(RNA-seq)以确定血红素诱导SIRS的主要途径。采用蛋白质免疫印迹法和免疫沉淀法测定相关蛋白的变化及相互作用。
RFA后血红素、IL-1β和IL-18水平显著升高。RFA后肝血管瘤的肺湿干比增加,表明发生了SIRS。血红素在体外和体内均可诱导IL-1β和IL-18水平升高、细胞死亡、肺湿干比增加和炎症评分升高,表明血红素可诱导SIRS和细胞焦亡。此外,GSDMD参与小鼠血红素诱导的SIRS,小鼠中GSDMD的缺失可逆转血红素的作用。血红素通过NOX4/ROS/TXNIP-TRX途径调节NLRP3激活,N-乙酰半胱氨酸(NAC)或NOX4抑制剂(GLX351322)可逆转血红素诱导的SIRS。
我们的研究结果表明,血红素可诱导小鼠内皮细胞焦亡和SIRS,降低血红素水平和使用活性氧清除剂可能预防RFA后肝血管瘤的SIRS。