Suppr超能文献

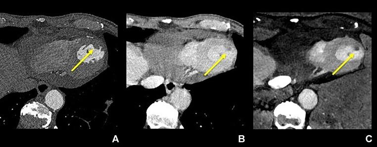
在双源光子计数探测器CT碘图上识别出左心室内的一个小血栓。

Identification of a small thrombus in the left ventricle identified on iodine maps derived from dual-source photon-counting detector CT.

作者信息

Kisohara Masaya, Kitera Nobuo, Itoh Toshihide, Murai Kazuma, Hiwatashi Akio, Kawai Tatsuya

机构信息

Department of Radiology, Nagoya City University Graduate School of Medical Sciences, Nagoya, Japan.

Central Radiology Division, Nagoya City University Hospital, Nagoya, Japan.

出版信息

Radiol Case Rep. 2024 Jan 16;19(4):1404-1408. doi: 10.1016/j.radcr.2024.01.020. eCollection 2024 Apr.

Abstract

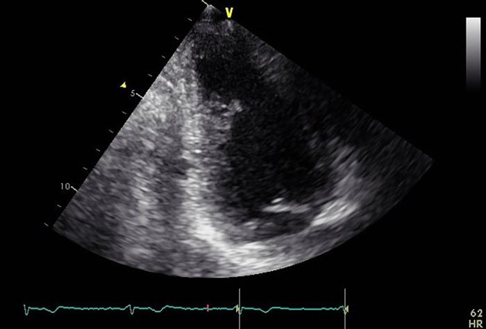
Transthoracic echocardiography is the main imaging modality to diagnose left ventricular thrombus (LVT), but its efficacy in certain cases is suboptimal. We report a patient in whom an LVT, initially unidentified by transthoracic echocardiography, was successfully diagnosed with iodine maps derived from dual-source photon-counting detector CT (DS-PCD-CT). The 64-year-old male was admitted to our institution following myocardial infarction. Although TTE failed to detect this small LVT, iodine maps derived from CT angiography (which was conducted to evaluate the coronary artery stenosis) revealed its presence. Iodine maps derived from DS-PCD-CT collecting data with high temporal resolution are beneficial to diagnose LVTs.

摘要

经胸超声心动图是诊断左心室血栓(LVT)的主要成像方式,但在某些情况下其效果并不理想。我们报告了一名患者,其LVT最初经胸超声心动图未识别出,而通过双源光子计数探测器CT(DS-PCD-CT)获得的碘图成功诊断。该64岁男性在心肌梗死后入住我院。尽管经胸超声心动图未能检测到这个小LVT,但为评估冠状动脉狭窄而进行的CT血管造影所获得的碘图显示了其存在。由具有高时间分辨率的数据采集的DS-PCD-CT获得的碘图有助于诊断LVT。

https://cdn.ncbi.nlm.nih.gov/pmc/blobs/0978/10803786/0e80eba832c3/gr1.jpg

文献AI研究员

20分钟写一篇综述,助力文献阅读效率提升50倍。

立即体验

用中文搜PubMed

大模型驱动的PubMed中文搜索引擎

马上搜索

文档翻译

学术文献翻译模型,支持多种主流文档格式。

立即体验