School of Medicine, University of California, San Diego, CA, 92093, USA.
Department of Mechanical Engineering and Engineering Sciences, University of North Carolina, Charlotte, NC, 28223, USA.
Adv Sci (Weinh). 2024 Apr;11(15):e2305326. doi: 10.1002/advs.202305326. Epub 2024 Feb 11.
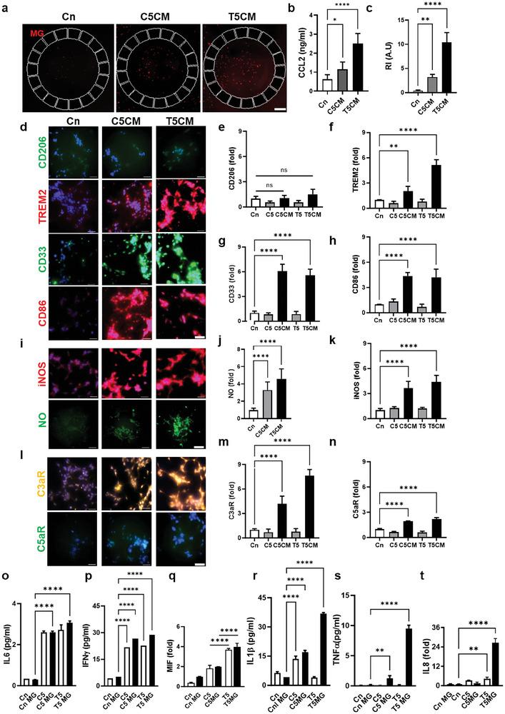
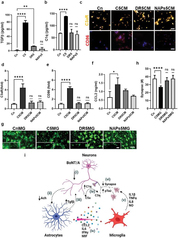
Botulinum neurotoxin serotype A (BoNT/A) is widely used in therapeutics and cosmetics. The effects of multi-dosed BoNT/A treatment are well documented on the peripheral nervous system (PNS), but much less is known on the central nervous system (CNS). Here, the mechanism of multi-dosed BoNT/A leading to CNS neurodegeneration is explored by using the 3D human neuron-glia model. BoNT/A treatment reduces acetylcholine, triggers astrocytic transforming growth factor beta, and upregulates C1q, C3, and C5 expression, inducing microglial proinflammation. The disintegration of the neuronal microtubules is escorted by microglial nitric oxide, interleukin 1β, tumor necrosis factor α, and interleukin 8. The microglial proinflammation eventually causes synaptic impairment, phosphorylated tau (pTau) aggregation, and the loss of the BoNT/A-treated neurons. Taking a more holistic approach, the model will allow to assess therapeutics for the CNS neurodegeneration under the prolonged use of BoNT/A.
肉毒毒素血清型 A(BoNT/A)被广泛应用于治疗学和化妆品领域。大量使用 BoNT/A 对周围神经系统(PNS)的作用已有大量文献记载,但对中枢神经系统(CNS)的作用知之甚少。本研究采用 3D 人神经元-神经胶质模型,探讨了多次 BoNT/A 治疗导致中枢神经系统神经退行性变的机制。BoNT/A 处理会降低乙酰胆碱,触发星形胶质细胞转化生长因子 β 的表达,并上调 C1q、C3 和 C5 的表达,诱导小胶质细胞的前炎症反应。神经元微管的崩解伴随着小胶质细胞一氧化氮、白细胞介素 1β、肿瘤坏死因子α和白细胞介素 8 的产生。小胶质细胞的前炎症反应最终导致突触损伤、磷酸化 tau(pTau)聚集和 BoNT/A 处理神经元的丢失。采用更全面的方法,该模型将允许评估 BoNT/A 长期使用下 CNS 神经退行性变的治疗方法。