Suppr超能文献

IV级胶质瘤可能伪装成新型冠状病毒肺炎脑炎。

Grade IV Glioma Potentially Disguised As COVID-19 Encephalitis.

作者信息

Patrick Eisenberg Austin, Scibelli Nicolina, Fischer Hannah, Collier Victor

机构信息

Internal Medicine, Grand Strand Medical Center, Myrtle Beach, USA.

Hematology and Oncology, University of Mississippi Medical Center, Jackson, USA.

出版信息

Cureus. 2024 Jan 11;16(1):e52075. doi: 10.7759/cureus.52075. eCollection 2024 Jan.

Abstract

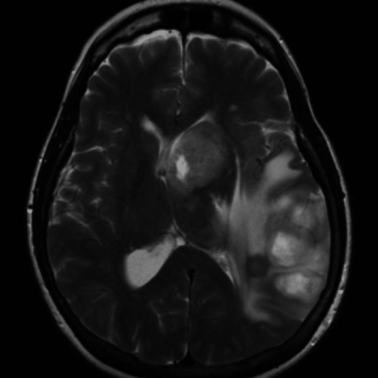
Coronavirus disease 2019 (COVID-19) is caused by the severe acute respiratory distress syndrome coronavirus 2 (SARS-CoV-2), which became a pandemic in March 2020. Since that time, research has shed light on this disease's pulmonary, cardiac, and hematologic complications. However, we are still unraveling the complex neurologic sequelae of COVID-19. Here we present the case of a 58-year-old female who presented with weakness, gaze preference, and aphasia. She was diagnosed with a stroke which was managed medically. The patient returned two weeks later with memory loss and aphasia. An MRI was consistent with temporal lobe encephalitis, although a lumbar puncture was unremarkable. A polymerase chain reaction (PCR) test for COVID-19 was positive. Treatment was initiated for viral encephalitis with patient improvement. She was discharged a second time, and approximately three months later, she presented again with unrelenting headaches. Further imaging revealed a mass that was determined to be a grade IV glioma. Cases of glioma after viral encephalitis have been studied, but a clear link with COVID-19 has not been established.

摘要

2019冠状病毒病(COVID-19)由严重急性呼吸综合征冠状病毒2(SARS-CoV-2)引起,该病毒于2020年3月成为大流行病。自那时以来,研究已揭示了这种疾病的肺部、心脏和血液学并发症。然而,我们仍在逐步了解COVID-19复杂的神经后遗症。在此,我们报告一例58岁女性病例,该患者表现为虚弱、凝视偏好和失语。她被诊断为中风并接受了药物治疗。两周后,该患者因记忆力减退和失语再次前来就诊。磁共振成像(MRI)结果与颞叶脑炎相符,尽管腰椎穿刺检查无异常发现。COVID-19聚合酶链反应(PCR)检测呈阳性。针对病毒性脑炎开始进行治疗,患者病情有所改善。她第二次出院,大约三个月后,她再次因持续性头痛前来就诊。进一步的影像学检查发现一个肿块,经诊断为IV级胶质瘤。病毒性脑炎后发生胶质瘤的病例已有研究,但尚未确定与COVID-19有明确关联。

https://cdn.ncbi.nlm.nih.gov/pmc/blobs/12f1/10858374/7bc80e1ed31c/cureus-0016-00000052075-i01.jpg

文献AI研究员

20分钟写一篇综述,助力文献阅读效率提升50倍。

立即体验

用中文搜PubMed

大模型驱动的PubMed中文搜索引擎

马上搜索

文档翻译

学术文献翻译模型,支持多种主流文档格式。

立即体验