Suppr超能文献

奇异的胰腺假性囊肿:一例报告

Outlandish pancreatic pseudocyst: A case report.

作者信息

Tomey Vandana, Tomey Sudhir, Choudhari-Joshi Madhura A, Singh Chahat, Aurangabadkar Gaurang M

机构信息

Department of Surgery, Datta Meghe Medical College and Shalinitai Meghe Hospital and Research Centre, Nagpur, Maharashtra, India.

Department of Medicine, Mahatma Gandhi Institute of Medical Sciences, Wardha, Maharashtra, India.

出版信息

J Family Med Prim Care. 2023 Dec;12(12):3418-3421. doi: 10.4103/jfmpc.jfmpc_1136_23. Epub 2023 Dec 21.

Abstract

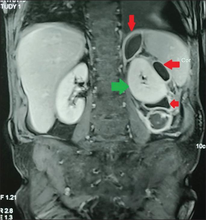
Pseudocysts in the perinephric region are rare and pose a diagnostic dilemma. We present the case of a 54-year-old male with left perirenal pancreatic pseudocyst. The diagnosis was enabled via proper clinical history taking and imaging investigations. The patient was successfully managed with definitive primary surgical treatment. This report highlights difficulties in diagnosis and treatment.

摘要

肾周区域的假性囊肿罕见,且会造成诊断上的两难局面。我们报告一例54岁男性左肾周胰腺假性囊肿病例。通过恰当的临床病史采集和影像学检查得以确诊。该患者通过确定性一期手术治疗获得成功处理。本报告强调了诊断和治疗方面的困难。

https://cdn.ncbi.nlm.nih.gov/pmc/blobs/c19b/10866256/06e04e74e790/JFMPC-12-3418-g001.jpg

文献AI研究员

20分钟写一篇综述,助力文献阅读效率提升50倍。

立即体验

用中文搜PubMed

大模型驱动的PubMed中文搜索引擎

马上搜索

文档翻译

学术文献翻译模型,支持多种主流文档格式。

立即体验