Suppr超能文献

磺基转移酶 SULT2B1 通过促进 SCD1 介导的脂质代谢促进结肠癌转移。

Sulfotransferase SULT2B1 facilitates colon cancer metastasis by promoting SCD1-mediated lipid metabolism.

机构信息

Department of Surgical Oncology, The First Affiliated Hospital, School of Medicine, Zhejiang University, Hangzhou, Zhejiang, China.

Center Laboratory, The First Affiliated Hospital, School of Medicine, Zhejiang University, Hangzhou, Zhejiang, China.

出版信息

Clin Transl Med. 2024 Feb;14(2):e1587. doi: 10.1002/ctm2.1587.

Abstract

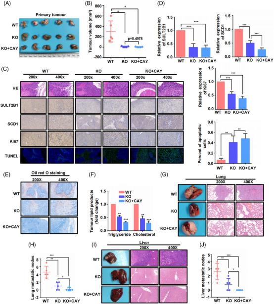
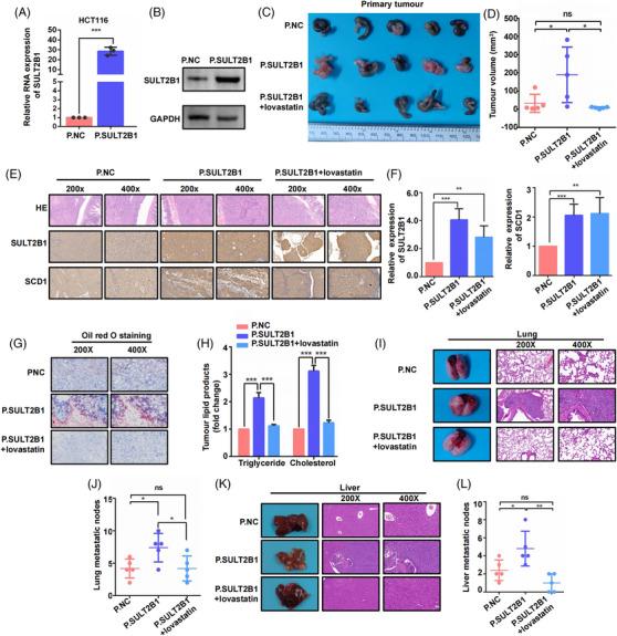
Metastasis is responsible for at least 90% of colon cancer (CC)-related deaths. Lipid metabolism is a critical factor in cancer metastasis, yet the underlying mechanism requires further investigation. Herein, through the utilisation of single-cell sequencing and proteomics, we identified sulfotransferase SULT2B1 as a novel metastatic tumour marker of CC, which was associated with poor prognosis. CC orthotopic model and in vitro assays showed that SULT2B1 promoted lipid metabolism and metastasis. Moreover, SULT2B1 directly interacted with SCD1 to facilitate lipid metabolism and promoted metastasis of CC cells. And the combined application of SCD1 inhibitor CAY with SULT2B1- konockout (KO) demonstrated a more robust inhibitory effect on lipid metabolism and metastasis of CC cells in comparison to sole application of SULT2B1-KO. Notably, we revealed that lovastatin can block the SULT2B1-induced promotion of lipid metabolism and distant metastasis in vivo. Further evidence showed that SMC1A transcriptionally upregulated the expression of SULT2B1. Our findings unveiled the critical role of SULT2B1 in CC metastasis and provided a new perspective for the treatment of CC patients with distant metastasis.

摘要

转移是导致至少 90%结肠癌 (CC) 相关死亡的原因。脂质代谢是癌症转移的一个关键因素,但潜在的机制仍需要进一步研究。在此,通过单细胞测序和蛋白质组学的应用,我们确定了磺基转移酶 SULT2B1 是 CC 的一种新型转移肿瘤标志物,与预后不良相关。CC 原位模型和体外实验表明,SULT2B1 促进了脂质代谢和转移。此外,SULT2B1 直接与 SCD1 相互作用,促进了 CC 细胞的脂质代谢和转移。与单独应用 SULT2B1-KO 相比,SCD1 抑制剂 CAY 与 SULT2B1-KO 的联合应用对 CC 细胞的脂质代谢和转移具有更强的抑制作用。值得注意的是,我们揭示了洛伐他汀可以阻断 SULT2B1 诱导的体内脂质代谢和远处转移的促进作用。进一步的证据表明,SMC1A 转录上调了 SULT2B1 的表达。我们的研究结果揭示了 SULT2B1 在 CC 转移中的关键作用,并为治疗伴有远处转移的 CC 患者提供了新的视角。

https://cdn.ncbi.nlm.nih.gov/pmc/blobs/4991/10875708/8f8be6ca7933/CTM2-14-e1587-g008.jpg

文献AI研究员

20分钟写一篇综述,助力文献阅读效率提升50倍。

立即体验

用中文搜PubMed

大模型驱动的PubMed中文搜索引擎

马上搜索

文档翻译

学术文献翻译模型,支持多种主流文档格式。

立即体验