Suppr超能文献

一种用于X射线图像肺炎检测的带注意力集成的深度卷积神经网络。

A Deep Convolutional Neural Network for Pneumonia Detection in X-ray Images with Attention Ensemble.

作者信息

An Qiuyu, Chen Wei, Shao Wei

机构信息

School of Computer Science, Nanjing University of Posts and Telecommunications, Nanjing 210023, China.

Nanjing University of Aeronautics and Astronautics Shenzhen Research Institute, Shenzhen 518067, China.

出版信息

Diagnostics (Basel). 2024 Feb 11;14(4):390. doi: 10.3390/diagnostics14040390.

Abstract

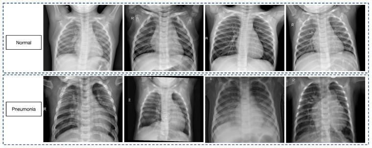
In the domain of AI-driven healthcare, deep learning models have markedly advanced pneumonia diagnosis through X-ray image analysis, thus indicating a significant stride in the efficacy of medical decision systems. This paper presents a novel approach utilizing a deep convolutional neural network that effectively amalgamates the strengths of EfficientNetB0 and DenseNet121, and it is enhanced by a suite of attention mechanisms for refined pneumonia image classification. Leveraging pre-trained models, our network employs multi-head, self-attention modules for meticulous feature extraction from X-ray images. The model's integration and processing efficiency are further augmented by a channel-attention-based feature fusion strategy, one that is complemented by a residual block and an attention-augmented feature enhancement and dynamic pooling strategy. Our used dataset, which comprises a comprehensive collection of chest X-ray images, represents both healthy individuals and those affected by pneumonia, and it serves as the foundation for this research. This study delves deep into the algorithms, architectural details, and operational intricacies of the proposed model. The empirical outcomes of our model are noteworthy, with an exceptional performance marked by an accuracy of 95.19%, a precision of 98.38%, a recall of 93.84%, an F1 score of 96.06%, a specificity of 97.43%, and an AUC of 0.9564 on the test dataset. These results not only affirm the model's high diagnostic accuracy, but also highlight its promising potential for real-world clinical deployment.

摘要

在人工智能驱动的医疗保健领域,深度学习模型通过X射线图像分析显著推进了肺炎诊断,从而表明医疗决策系统的效能有了重大进展。本文提出了一种新颖的方法,利用深度卷积神经网络有效地融合了EfficientNetB0和DenseNet121的优势,并通过一套注意力机制进行增强,以实现精确的肺炎图像分类。借助预训练模型,我们的网络采用多头自注意力模块从X射线图像中进行细致的特征提取。基于通道注意力的特征融合策略进一步提高了模型的集成和处理效率,该策略辅以残差块以及注意力增强的特征增强和动态池化策略。我们使用的数据集包含胸部X射线图像的全面集合,涵盖健康个体和肺炎患者,为这项研究奠定了基础。本研究深入探讨了所提出模型的算法、架构细节和操作复杂性。我们模型的实证结果值得关注,在测试数据集上表现出色,准确率为95.19%,精确率为98.38%,召回率为93.84%,F1分数为96.06%,特异性为97.43%,AUC为0.9564。这些结果不仅证实了模型的高诊断准确性,还突出了其在实际临床应用中的广阔前景。

https://cdn.ncbi.nlm.nih.gov/pmc/blobs/c88c/10887593/f43059752207/diagnostics-14-00390-g001.jpg

文献AI研究员

20分钟写一篇综述,助力文献阅读效率提升50倍。

立即体验

用中文搜PubMed

大模型驱动的PubMed中文搜索引擎

马上搜索

文档翻译

学术文献翻译模型,支持多种主流文档格式。

立即体验