Department of Clinical Laboratory, Shandong Provincial Third Hospital, Cheeloo College of Medicine, Shandong University, Jinan Xingqi Medical Laboratory Co., Ltd., 12 Wuyingshan Middle Road, Jinan, 250000, Shandong, China.
Department of Digestive Oncology, Cancer Hospital of Dalian University of Technology, Liaoning Cancer Hospital and Institute, 44 Xiaoheyan Road, ShenyangLiaoning, 110042, China.
Biol Direct. 2024 Mar 7;19(1):20. doi: 10.1186/s13062-023-00446-x.
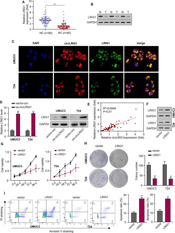
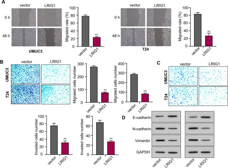
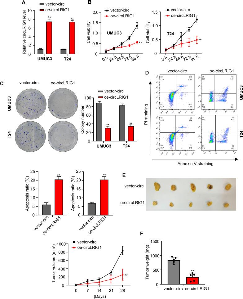
CircLRIG1, a newly discovered circRNA, has yet to have its potential function and biological processes reported. This study explored the role of circLRIG1 in the development and progression of bladder carcinoma and its potential molecular mechanisms. Techniques such as qRT-PCR, Western blot, various cellular assays, and in vivo models were used to investigate mRNA and protein levels, cell behavior, molecular interactions, and tumor growth. The results showed that both circLRIG1 and LRIG1 were significantly reduced in bladder carcinoma tissues and cell lines. Low circLRIG1 expression was associated with poor patient prognosis. Overexpressing circLRIG1 inhibited bladder carcinoma cell growth, migration, and invasion, promoted apoptosis, and decreased tumor growth and metastasis in vivo. Importantly, circLRIG1 was found to sponge miR-214-3p, enhancing LRIG1 expression, and its overexpression also modulated protein levels of E-cadherin, N-cadherin, Vimentin, and LRIG1. Similar effects were observed with LRIG1 overexpression. Notably, a positive correlation was found between circLRIG1 and LRIG1 expression in bladder carcinoma tissues. Additionally, the tumor-suppressing effect of circLRIG1 was reversed by overexpressing miR-214-3p or silencing LRIG1. The study concludes that circLRIG1 suppresses bladder carcinoma progression by enhancing LRIG1 expression via sponging miR-214-3p, providing a potential strategy for early diagnosis and treatment of bladder carcinoma.
环状 RNA(circRNA)是一类新型的内源性非编码 RNA,其在生物体内广泛存在且具有组织和细胞特异性。circRNA 不易被 RNA 外切酶降解,在生物体内表现出相对稳定的特性。此外,circRNA 还可以作为 miRNA 的海绵分子,调节 miRNA 的生物学功能。circRNA 的表达具有组织和细胞特异性,并且在不同的生理和病理过程中发挥着重要的作用。circRNA 在癌症中的表达异常与癌症的发生、发展和转移密切相关,因此,circRNA 有望成为癌症诊断和治疗的新型分子标志物。