• 文献检索
  • 文档翻译
  • 深度研究
  • 学术资讯
  • Suppr Zotero 插件Zotero 插件
  • 邀请有礼
  • 套餐&价格
  • 历史记录
应用&插件
Suppr Zotero 插件Zotero 插件浏览器插件Mac 客户端Windows 客户端微信小程序
定价
高级版会员购买积分包购买API积分包
服务
文献检索文档翻译深度研究API 文档MCP 服务
关于我们
关于 Suppr公司介绍联系我们用户协议隐私条款
关注我们

Suppr 超能文献

核心技术专利:CN118964589B侵权必究
粤ICP备2023148730 号-1Suppr @ 2026

文献检索

告别复杂PubMed语法,用中文像聊天一样搜索,搜遍4000万医学文献。AI智能推荐,让科研检索更轻松。

立即免费搜索

文件翻译

保留排版,准确专业,支持PDF/Word/PPT等文件格式,支持 12+语言互译。

免费翻译文档

深度研究

AI帮你快速写综述,25分钟生成高质量综述,智能提取关键信息,辅助科研写作。

立即免费体验

膀胱转移性黑色素瘤:肉眼血尿的罕见原因。

Metastatic Melanoma to the Urinary Bladder: A Rare Cause of Visible Haematuria.

作者信息

Ogunremi Olawale, Sirjuesingh Dinelle, Deshpande Aniket

机构信息

Department of Urology, Colchester Hospital, East Suffolk and North Essex NHS Foundation Trust, Colchester, UK.

出版信息

Case Rep Urol. 2024 Mar 1;2024:5516547. doi: 10.1155/2024/5516547. eCollection 2024.

DOI:10.1155/2024/5516547
PMID:38463753
原文链接:https://pmc.ncbi.nlm.nih.gov/articles/PMC10923617/
Abstract

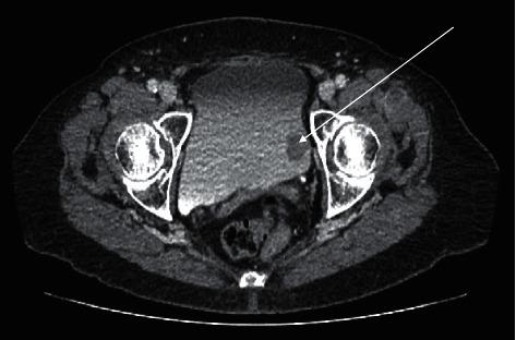
Bladder metastasis from cutaneous melanoma is a rare pathology. A 79-year-old woman presented to the haematuria clinic on account of painless visible haematuria. Ten years prior to this index presentation, she was diagnosed with melanoma on her right thigh following a total excision of the skin lesion. Cystoscopy showed a pigmented bladder tumour, and the histology report following a transurethral resection was consistent with metastatic melanoma, and further imaging revealed metastasis to the lungs, adrenals, and lymph nodes.

摘要

皮肤黑色素瘤的膀胱转移是一种罕见的病理情况。一名79岁女性因无痛性肉眼血尿就诊于血尿诊所。在此次就诊前十年,她右侧大腿的皮肤病变经完全切除后被诊断为黑色素瘤。膀胱镜检查显示有一个色素沉着的膀胱肿瘤,经尿道切除后的组织学报告与转移性黑色素瘤相符,进一步的影像学检查显示已转移至肺、肾上腺和淋巴结。

https://cdn.ncbi.nlm.nih.gov/pmc/blobs/7761/10923617/95e5eff280a3/CRIU2024-5516547.004.jpg
https://cdn.ncbi.nlm.nih.gov/pmc/blobs/7761/10923617/ef13c2014880/CRIU2024-5516547.001.jpg
https://cdn.ncbi.nlm.nih.gov/pmc/blobs/7761/10923617/3b36319fcd71/CRIU2024-5516547.002.jpg
https://cdn.ncbi.nlm.nih.gov/pmc/blobs/7761/10923617/0f18a4f277eb/CRIU2024-5516547.003.jpg
https://cdn.ncbi.nlm.nih.gov/pmc/blobs/7761/10923617/95e5eff280a3/CRIU2024-5516547.004.jpg
https://cdn.ncbi.nlm.nih.gov/pmc/blobs/7761/10923617/ef13c2014880/CRIU2024-5516547.001.jpg
https://cdn.ncbi.nlm.nih.gov/pmc/blobs/7761/10923617/3b36319fcd71/CRIU2024-5516547.002.jpg
https://cdn.ncbi.nlm.nih.gov/pmc/blobs/7761/10923617/0f18a4f277eb/CRIU2024-5516547.003.jpg
https://cdn.ncbi.nlm.nih.gov/pmc/blobs/7761/10923617/95e5eff280a3/CRIU2024-5516547.004.jpg

相似文献

1
Metastatic Melanoma to the Urinary Bladder: A Rare Cause of Visible Haematuria.膀胱转移性黑色素瘤:肉眼血尿的罕见原因。
Case Rep Urol. 2024 Mar 1;2024:5516547. doi: 10.1155/2024/5516547. eCollection 2024.
2
Metastatic Melanoma to the Bladder: Case Report and Review of the Literature.膀胱转移性黑色素瘤:病例报告及文献综述
Urol Case Rep. 2017 Jan 10;11:33-36. doi: 10.1016/j.eucr.2016.10.017. eCollection 2017 Feb.
3
Metastatic melanoma concurrent to the urinary bladder and endometrium: Case report.转移性黑色素瘤同时累及膀胱和子宫内膜:病例报告。
J Med Imaging Radiat Oncol. 2022 Aug;66(5):643-646. doi: 10.1111/1754-9485.13356. Epub 2021 Nov 30.
4
Metastasis of Malignant Melanoma to Urinary Bladder: A Case Report and Review of the Literature.恶性黑色素瘤转移至膀胱:一例报告并文献复习
Case Rep Pathol. 2015;2015:173870. doi: 10.1155/2015/173870. Epub 2015 May 28.
5
[Metastatic malignant melanoma of the urinary bladder presenting with hematuria: a case report].[以血尿为表现的膀胱转移性恶性黑色素瘤:一例报告]
Hinyokika Kiyo. 2008 Dec;54(12):787-90.
6
Tattoo Pigment within Regional Lymph Nodes Mimicking Cutaneous Melanoma Metastasis.淋巴结内的纹身颜料,类似皮肤黑色素瘤转移。
Acta Dermatovenerol Croat. 2020 Jul;28(1):47-48.
7
Bladder metastasis of malignant melanoma: a case report and review of literature.恶性黑色素瘤膀胱转移:病例报告及文献复习。
Med Oncol. 2011 Dec;28 Suppl 1:S667-9. doi: 10.1007/s12032-010-9730-x. Epub 2010 Nov 2.
8
Metastatic melanoma to the urinary bladder with synchronous or metachronous metastasis to other organs: Clinicopathological characteristics and outcome.膀胱转移性黑色素瘤伴其他器官同步或异时转移:临床病理特征及预后
Int J Surg Case Rep. 2024 Jul;120:109789. doi: 10.1016/j.ijscr.2024.109789. Epub 2024 May 23.
9
Melanoma metastasis to the bladder: A case report of an underdiagnosed entity.黑色素瘤转移至膀胱:一例诊断不足病例报告
Int J Surg Case Rep. 2024 Sep;122:110048. doi: 10.1016/j.ijscr.2024.110048. Epub 2024 Jul 17.
10
[Case of metastatic malignant melanoma of the urinary bladder].[膀胱转移性恶性黑色素瘤病例]
Hinyokika Kiyo. 2013 Sep;59(9):579-82.

引用本文的文献

1
Metastasis of malignant melanoma to urinary tract: a case report.恶性黑色素瘤转移至泌尿道:一例报告。
J Med Case Rep. 2024 Aug 28;18(1):396. doi: 10.1186/s13256-024-04716-8.

本文引用的文献

1
Melanoma metastasis to the bladder: A case report.黑色素瘤转移至膀胱:一例报告。
Urol Case Rep. 2021 Nov 9;40:101941. doi: 10.1016/j.eucr.2021.101941. eCollection 2022 Jan.
2
Surgery of metastatic melanoma after systemic therapy - the SUMMIST trial: study protocol for a randomized controlled trial.全身治疗后转移性黑色素瘤的手术——SUMMIST试验:一项随机对照试验的研究方案
Acta Oncol. 2021 Jan;60(1):52-55. doi: 10.1080/0284186X.2020.1846213. Epub 2020 Nov 30.
3
Real-world data on PD-1 inhibitor therapy in metastatic melanoma.真实世界数据评估 PD-1 抑制剂治疗转移性黑色素瘤的疗效。
Acta Oncol. 2019 Jul;58(7):962-966. doi: 10.1080/0284186X.2019.1620966. Epub 2019 May 31.
4
Metastatic Melanoma to the Bladder: Case Report and Review of the Literature.膀胱转移性黑色素瘤:病例报告及文献综述
Urol Case Rep. 2017 Jan 10;11:33-36. doi: 10.1016/j.eucr.2016.10.017. eCollection 2017 Feb.
5
Five-year survival rates for treatment-naive patients with advanced melanoma who received ipilimumab plus dacarbazine in a phase III trial.在一项III期试验中接受伊匹木单抗加达卡巴嗪治疗的初治晚期黑色素瘤患者的五年生存率。
J Clin Oncol. 2015 Apr 1;33(10):1191-6. doi: 10.1200/JCO.2014.56.6018. Epub 2015 Feb 23.
6
Management of melanoma.黑色素瘤的管理
Br Med Bull. 2014 Sep;111(1):149-62. doi: 10.1093/bmb/ldu019.
7
Improved survival with ipilimumab in patients with metastatic melanoma.Ipilimumab 改善转移性黑色素瘤患者的生存。
N Engl J Med. 2010 Aug 19;363(8):711-23. doi: 10.1056/NEJMoa1003466. Epub 2010 Jun 5.
8
METASTATIC MELANOMA. A CLINICOPATHOLOGICAL STUDY.转移性黑色素瘤。一项临床病理研究。
Cancer. 1964 Oct;17:1323-39. doi: 10.1002/1097-0142(196410)17:10<1323::aid-cncr2820171015>3.0.co;2-n.
9
Malignant melanoma of the genitourinary tract.泌尿生殖道恶性黑色素瘤。
J Urol. 1984 Nov;132(5):859-68. doi: 10.1016/s0022-5347(17)49927-7.