Suppr超能文献

偶然发现的肾钙质沉着症:秘密自行服用利尿剂的作用

Nephrocalcinosis fortuitously discovered: the role of surreptitious self administration of diuretics.

作者信息

Sablón-González Nery, Morán-Calcedo Liliana, Alonso-Ortiz Maria Belen, Parodis-López Yanet, Laurin Angelica, Andrès Emmanuel, Lorenzo-Villalba Noel

机构信息

Department of Nephrology, Dr Negrin University Hospital, Gran Canaria, Spain.

Department of Nephrology, University Hospital del Tajo, Madrid, Spain.

出版信息

Caspian J Intern Med. 2024 Winter;15(1):184-187. doi: 10.22088/cjim.15.1.22.

Abstract

BACKGROUND

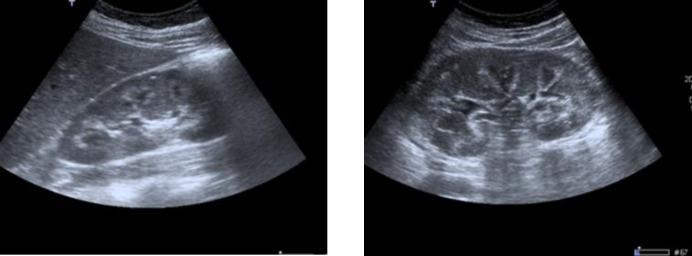
Furosemide is a drug widely used for several medical conditions and could be used without medical prescription. Furosemide-related nephrocalcinosis can occur regardless of age, although the risk is higher in premature infants. The defining characteristic of nephrocalcinosis is generalized calcium deposition in the kidney. The most useful imaging studies for evaluation are ultrasonography and computed tomography (more effective in detecting calcification).

CASE PRESENTATION

A 32-year-old woman with a history of depressive syndrome was admitted for evaluation of fortuitously discovered nephrocalcinosis and hypokalemia. The studies performed revealed the presence of a metabolic alkalosis with discrete hyperreninism/hyperaldosteronism but normal ratio, normotension and urinary study showed elevated sodium, chloride, potassium and calcium fluctuating in different determinations. Surreptitious diuretic intake was suspected and urine analysis revealed doses equivalent to 80-120 mg. The patient was advised to discontinue all diuretic treatment; she was adequately supplemented with potassium and she was followed-up in outpatient clinics. During the follow-up, clinical and analytical improvement was noted, which led to the discontinuation of supplementation.

CONCLUSION

Surreptitious diuretic intake is a clinical condition to rule out in patients with chronic hypokalemia, metabolic alkalosis with elevated urinary sodium and chloride. The relation between surreptitious diuretic intake and nephrocalcinosis has not been fully elucidated in adults.

摘要

背景

呋塞米是一种广泛用于多种医疗状况的药物,且无需医生处方即可使用。尽管早产儿发生呋塞米相关肾钙质沉着症的风险更高,但该病症在任何年龄段均可发生。肾钙质沉着症的典型特征是肾脏出现全身性钙沉积。评估时最有用的影像学检查是超声检查和计算机断层扫描(在检测钙化方面更有效)。

病例介绍

一名有抑郁综合征病史的32岁女性因偶然发现的肾钙质沉着症和低钾血症入院评估。所做检查显示存在代谢性碱中毒伴轻度高肾素血症/高醛固酮血症,但比值正常,血压正常,尿液检查显示钠、氯、钾和钙升高,不同测定结果波动。怀疑有隐匿性利尿剂摄入,尿液分析显示剂量相当于80 - 120毫克。建议患者停用所有利尿剂治疗;对其进行了充分的钾补充,并在门诊进行随访。随访期间,注意到临床和分析指标有所改善,从而停止了补充治疗。

结论

隐匿性利尿剂摄入是一种需要在慢性低钾血症、伴有尿钠和尿氯升高的代谢性碱中毒患者中排除的临床情况。隐匿性利尿剂摄入与肾钙质沉着症之间的关系在成人中尚未完全阐明。

https://cdn.ncbi.nlm.nih.gov/pmc/blobs/c500/10921103/4ca7b67a9551/cjim-15-184-g001.jpg

文献AI研究员

20分钟写一篇综述,助力文献阅读效率提升50倍。

立即体验

用中文搜PubMed

大模型驱动的PubMed中文搜索引擎

马上搜索

文档翻译

学术文献翻译模型,支持多种主流文档格式。

立即体验