• 文献检索
  • 文档翻译
  • 深度研究
  • 学术资讯
  • Suppr Zotero 插件Zotero 插件
  • 邀请有礼
  • 套餐&价格
  • 历史记录
应用&插件
Suppr Zotero 插件Zotero 插件浏览器插件Mac 客户端Windows 客户端微信小程序
定价
高级版会员购买积分包购买API积分包
服务
文献检索文档翻译深度研究API 文档MCP 服务
关于我们
关于 Suppr公司介绍联系我们用户协议隐私条款
关注我们

Suppr 超能文献

核心技术专利:CN118964589B侵权必究
粤ICP备2023148730 号-1Suppr @ 2026

文献检索

告别复杂PubMed语法,用中文像聊天一样搜索,搜遍4000万医学文献。AI智能推荐,让科研检索更轻松。

立即免费搜索

文件翻译

保留排版,准确专业,支持PDF/Word/PPT等文件格式,支持 12+语言互译。

免费翻译文档

深度研究

AI帮你快速写综述,25分钟生成高质量综述,智能提取关键信息,辅助科研写作。

立即免费体验

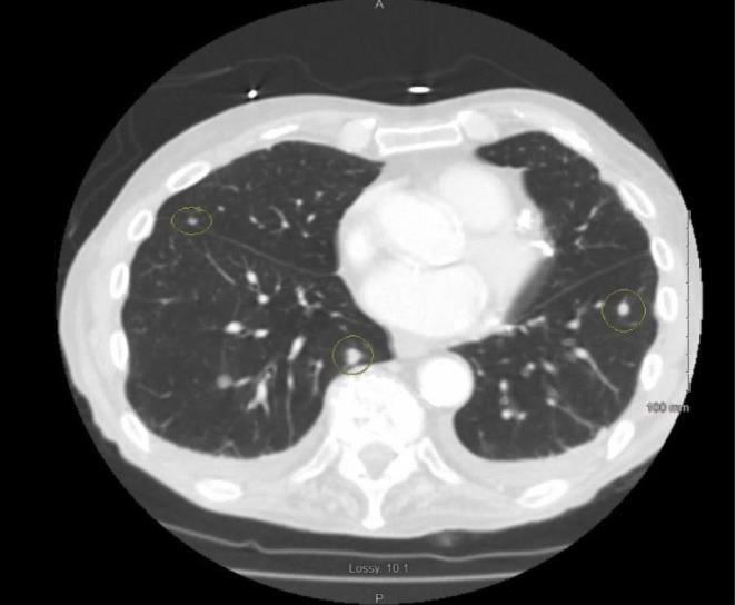
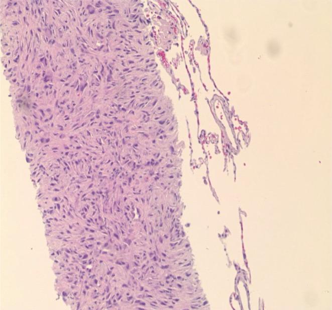
疑似舌部转移性平滑肌肉瘤所致副肿瘤性运动障碍:一例报告

Paraneoplastic movement disorder due to suspected metastatic Leiomyosarcoma of tongue: A case report.

作者信息

Khanal Pradeep, Khanal Pitambar, Paudel Sandip, Pokhrel Ashbita, Chapagain Subodh

机构信息

Department of Internal Medicine Trinity Health Ann Arbor Hospital Ypsilanti Michigan USA.

Patan Academy of Health Sciences Lalitpur Nepal.

出版信息

Clin Case Rep. 2024 Mar 7;12(3):e8648. doi: 10.1002/ccr3.8648. eCollection 2024 Mar.

DOI:10.1002/ccr3.8648
PMID:38464567
原文链接:https://pmc.ncbi.nlm.nih.gov/articles/PMC10920308/
Abstract

Paraneoplastic movement disorders, though rare, can be the initial symptoms of malignancies like leiomyosarcoma, as in our case. Clinicians should keep malignancies in their differential diagnosis in cases of unexplained movement abnormalities.

摘要

副肿瘤性运动障碍虽然罕见,但可能是平滑肌肉瘤等恶性肿瘤的首发症状,就像我们这个病例一样。对于不明原因的运动异常病例,临床医生应将恶性肿瘤纳入鉴别诊断。

https://cdn.ncbi.nlm.nih.gov/pmc/blobs/50be/10920308/1b9245b5d1ba/CCR3-12-e8648-g004.jpg
https://cdn.ncbi.nlm.nih.gov/pmc/blobs/50be/10920308/fe2475b58729/CCR3-12-e8648-g002.jpg
https://cdn.ncbi.nlm.nih.gov/pmc/blobs/50be/10920308/b894d791c29b/CCR3-12-e8648-g001.jpg
https://cdn.ncbi.nlm.nih.gov/pmc/blobs/50be/10920308/1b9245b5d1ba/CCR3-12-e8648-g004.jpg
https://cdn.ncbi.nlm.nih.gov/pmc/blobs/50be/10920308/fe2475b58729/CCR3-12-e8648-g002.jpg
https://cdn.ncbi.nlm.nih.gov/pmc/blobs/50be/10920308/b894d791c29b/CCR3-12-e8648-g001.jpg
https://cdn.ncbi.nlm.nih.gov/pmc/blobs/50be/10920308/1b9245b5d1ba/CCR3-12-e8648-g004.jpg

相似文献

1
Paraneoplastic movement disorder due to suspected metastatic Leiomyosarcoma of tongue: A case report.疑似舌部转移性平滑肌肉瘤所致副肿瘤性运动障碍:一例报告
Clin Case Rep. 2024 Mar 7;12(3):e8648. doi: 10.1002/ccr3.8648. eCollection 2024 Mar.
2
Paraneoplastic dermatomyositis associated with metastatic leiomyosarcoma of unknown primary.伴原发性不明的转移性平滑肌肉瘤的副肿瘤性皮肌炎
Clin Sarcoma Res. 2020 Aug 25;10:15. doi: 10.1186/s13569-020-00140-w. eCollection 2020.
3
A peculiar site of leiomyosarcoma: the tongue tip--report of a case.平滑肌肉瘤的一个特殊部位:舌尖——1例报告
Int J Oral Maxillofac Surg. 2006 May;35(5):469-71. doi: 10.1016/j.ijom.2005.08.009. Epub 2005 Nov 8.
4
A Rare Case of Paraneoplastic Guillain-Barré Syndrome in a Patient with Endometrial Cancer.子宫内膜癌患者并发副肿瘤性吉兰-巴雷综合征1例罕见病例
Eur J Case Rep Intern Med. 2023 Nov 17;10(12):004077. doi: 10.12890/2023_004077. eCollection 2023.
5
Leiomyosarcoma of the base of the tongue treated with radiotherapy: a case report.舌根部平滑肌肉瘤的放射治疗:病例报告
Eur J Cancer B Oral Oncol. 1994 Sep;30B(5):351-5. doi: 10.1016/0964-1955(94)90038-8.
6
Paraneoplastic encephalomyelitis: a case report and review of the literature.副肿瘤性脑脊髓炎:一例病例报告及文献综述
Gynecol Oncol. 2006 Sep;102(3):593-5. doi: 10.1016/j.ygyno.2006.03.031. Epub 2006 May 4.
7
Bizarre big belly ball: intraabdominal abscess mimicking stauffer syndrome secondary to uterine leiomyosarcoma.
Eur J Gynaecol Oncol. 2007;28(2):134-6.
8
Paraneoplastic movement disorders: phenomenology, diagnosis, and treatment.副肿瘤性运动障碍: 表现、诊断和治疗。
Eur J Intern Med. 2019 Sep;67:14-23. doi: 10.1016/j.ejim.2019.05.023. Epub 2019 Jun 12.
9
Leiomyosarcomas of the oral cavity: report of a radiation-associated and a metastatic case.口腔平滑肌肉瘤:一例与放疗相关及一例转移病例报告。
Oral Maxillofac Surg. 2012 Jun;16(2):227-32. doi: 10.1007/s10006-011-0294-5. Epub 2011 Sep 27.
10
Two Very Rare Cases of Metastatic Thymic Carcinoma with Sjogren's Syndrome: A Case Series.两例极为罕见的伴有干燥综合征的转移性胸腺癌:病例系列报告
Case Rep Oncol. 2023 Feb 28;16(1):116-123. doi: 10.1159/000529425. eCollection 2023 Jan-Dec.

本文引用的文献

1
Paraneoplastic Neurological Syndromes of the Central Nervous System: Pathophysiology, Diagnosis, and Treatment.中枢神经系统副肿瘤性神经综合征:病理生理学、诊断与治疗
Biomedicines. 2023 May 9;11(5):1406. doi: 10.3390/biomedicines11051406.
2
Paraneoplastic movement disorders: phenomenology, diagnosis, and treatment.副肿瘤性运动障碍: 表现、诊断和治疗。
Eur J Intern Med. 2019 Sep;67:14-23. doi: 10.1016/j.ejim.2019.05.023. Epub 2019 Jun 12.
3
A rare case report of leiomyosarcoma of tongue.舌平滑肌肉瘤的罕见病例报告。
AME Case Rep. 2018 Apr 18;2:13. doi: 10.21037/acr.2018.03.03. eCollection 2018.
4
The importance of early immunotherapy in patients with faciobrachial dystonic seizures.早期免疫疗法对面肩肱型肌阵挛癫痫患者的重要性。
Brain. 2018 Feb 1;141(2):348-356. doi: 10.1093/brain/awx323.
5
Paraneoplastic autoimmune movement disorders.副肿瘤性自身免疫性运动障碍。
Parkinsonism Relat Disord. 2017 Nov;44:106-109. doi: 10.1016/j.parkreldis.2017.08.017. Epub 2017 Oct 13.
6
Spectrum of mutations in leiomyosarcomas identified by clinical targeted next-generation sequencing.通过临床靶向二代测序鉴定的平滑肌肉瘤中的突变谱。
Exp Mol Pathol. 2017 Feb;102(1):156-161. doi: 10.1016/j.yexmp.2017.01.012. Epub 2017 Jan 14.
7
Motor cortex and hippocampus are the two main cortical targets in LGI1-antibody encephalitis.运动皮质和海马体是 LGI1 抗体脑炎的两个主要皮质靶点。
Brain. 2016 Apr;139(Pt 4):1079-93. doi: 10.1093/brain/aww012. Epub 2016 Mar 5.
8
Pathognomonic seizures in limbic encephalitis associated with anti-LGI1 antibodies.
Lancet. 2014 Jun 7;383(9933):2018. doi: 10.1016/S0140-6736(14)60684-X.
9
Autoimmune chorea in adults.成人自身免疫性舞蹈病。
Neurology. 2013 Mar 19;80(12):1133-44. doi: 10.1212/WNL.0b013e3182886991. Epub 2013 Feb 20.
10
Paraneoplastic syndromes causing movement disorders.导致运动障碍的副肿瘤综合征。
Handb Clin Neurol. 2011;100:315-21. doi: 10.1016/B978-0-444-52014-2.00024-0.