• 文献检索
  • 文档翻译
  • 深度研究
  • 学术资讯
  • Suppr Zotero 插件Zotero 插件
  • 邀请有礼
  • 套餐&价格
  • 历史记录
应用&插件
Suppr Zotero 插件Zotero 插件浏览器插件Mac 客户端Windows 客户端微信小程序
定价
高级版会员购买积分包购买API积分包
服务
文献检索文档翻译深度研究API 文档MCP 服务
关于我们
关于 Suppr公司介绍联系我们用户协议隐私条款
关注我们

Suppr 超能文献

核心技术专利:CN118964589B侵权必究
粤ICP备2023148730 号-1Suppr @ 2026

文献检索

告别复杂PubMed语法,用中文像聊天一样搜索,搜遍4000万医学文献。AI智能推荐,让科研检索更轻松。

立即免费搜索

文件翻译

保留排版,准确专业,支持PDF/Word/PPT等文件格式,支持 12+语言互译。

免费翻译文档

深度研究

AI帮你快速写综述,25分钟生成高质量综述,智能提取关键信息,辅助科研写作。

立即免费体验

雌激素受体1缺陷小鼠的卵巢表现出铁过载和衰老迹象。

Ovaries of estrogen receptor 1-deficient mice show iron overload and signs of aging.

作者信息

Schröder Sarah K, Krizanac Marinela, Kim Philipp, Kessel Jan C, Weiskirchen Ralf

机构信息

Institute of Molecular Pathobiochemistry, Experimental Gene Therapy and Clinical Chemistry (IFMPEGKC), Rheinisch-Westfälische Technische Hochschule (RWTH) University Hospital Aachen, Aachen, Germany.

出版信息

Front Endocrinol (Lausanne). 2024 Feb 23;15:1325386. doi: 10.3389/fendo.2024.1325386. eCollection 2024.

DOI:10.3389/fendo.2024.1325386
PMID:38464972
原文链接:https://pmc.ncbi.nlm.nih.gov/articles/PMC10920212/
Abstract

INTRODUCTION

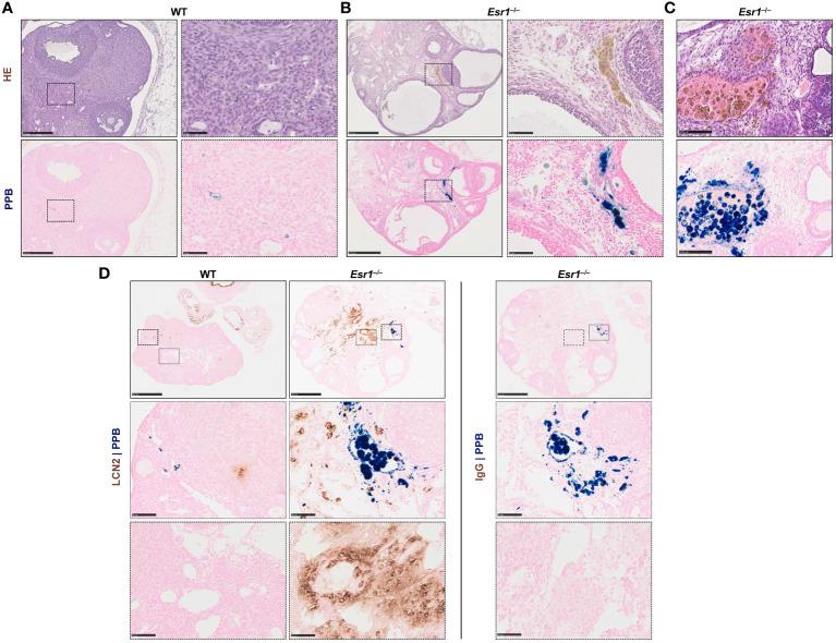
Estrogens are crucial regulators of ovarian function, mediating their signaling through binding to estrogen receptors. The disruption of the estrogen receptor 1 () provokes infertility associated with a hemorrhagic, cystic phenotype similar to that seen in diseased or aged ovaries. Our previous study indicated the possibility of altered iron metabolism in -deficient ovaries showing massive expression of lipocalin 2, a regulator of iron homeostasis.

METHODS

Therefore, we examined the consequences of depleting in mouse ovaries, focusing on iron metabolism. For that reason, we compared ovaries of adult -deficient animals and age-matched wild type littermates.

RESULTS AND DISCUSSION

We found increased iron accumulation in -deficient animals by using laser ablation inductively coupled plasma mass spectrometry. Western blot analysis and RT-qPCR confirmed that iron overload alters iron transport, storage and regulation. In addition, trivalent iron deposits in form of hemosiderin were detected in -deficient ovarian stroma. The depletion of was further associated with an aberrant immune cell landscape characterized by the appearance of macrophage-derived multinucleated giant cells (MNGCs) and increased quantities of macrophages, particularly M2-like macrophages. Similar to reproductively aged animals, MNGCs in -deficient ovaries were characterized by iron accumulation and strong autofluorescence. Finally, deletion of led to a significant increase in ovarian mast cells, involved in iron-mediated foam cell formation. Given that these findings are characteristics of ovarian aging, our data suggest that deficiency triggers mechanisms similar to those associated with aging.

摘要

引言

雌激素是卵巢功能的关键调节因子,通过与雌激素受体结合介导其信号传导。雌激素受体1()的破坏会引发与出血性、囊性表型相关的不孕症,这种表型与患病或衰老卵巢中所见的相似。我们之前的研究表明,在缺乏的卵巢中,铁代谢可能发生改变,这些卵巢中大量表达脂质运载蛋白2,这是一种铁稳态调节因子。

方法

因此,我们研究了小鼠卵巢中缺乏的后果,重点关注铁代谢。为此,我们比较了成年缺乏动物的卵巢和年龄匹配的野生型同窝小鼠的卵巢。

结果与讨论

我们使用激光烧蚀电感耦合等离子体质谱法发现缺乏动物中铁积累增加。蛋白质免疫印迹分析和逆转录定量聚合酶链反应证实铁过载会改变铁的运输、储存和调节。此外,在缺乏的卵巢基质中检测到以含铁血黄素形式存在的三价铁沉积物。缺乏还与异常的免疫细胞格局有关,其特征是出现巨噬细胞衍生的多核巨细胞(MNGC)以及巨噬细胞数量增加,尤其是M2样巨噬细胞。与生殖衰老的动物相似,缺乏卵巢中的MNGC具有铁积累和强烈自发荧光的特征。最后,的缺失导致卵巢肥大细胞显著增加,肥大细胞参与铁介导的泡沫细胞形成。鉴于这些发现是卵巢衰老的特征,我们的数据表明缺乏触发了与衰老相关的类似机制。

https://cdn.ncbi.nlm.nih.gov/pmc/blobs/93b6/10920212/470d87a9da9b/fendo-15-1325386-g007.jpg
https://cdn.ncbi.nlm.nih.gov/pmc/blobs/93b6/10920212/8bb67f262985/fendo-15-1325386-g001.jpg
https://cdn.ncbi.nlm.nih.gov/pmc/blobs/93b6/10920212/e5c2cc96aeae/fendo-15-1325386-g002.jpg
https://cdn.ncbi.nlm.nih.gov/pmc/blobs/93b6/10920212/91bc51b9ce5d/fendo-15-1325386-g003.jpg
https://cdn.ncbi.nlm.nih.gov/pmc/blobs/93b6/10920212/9bbb1193d100/fendo-15-1325386-g004.jpg
https://cdn.ncbi.nlm.nih.gov/pmc/blobs/93b6/10920212/dd6cf45576e1/fendo-15-1325386-g005.jpg
https://cdn.ncbi.nlm.nih.gov/pmc/blobs/93b6/10920212/c9915f0b94e6/fendo-15-1325386-g006.jpg
https://cdn.ncbi.nlm.nih.gov/pmc/blobs/93b6/10920212/470d87a9da9b/fendo-15-1325386-g007.jpg
https://cdn.ncbi.nlm.nih.gov/pmc/blobs/93b6/10920212/8bb67f262985/fendo-15-1325386-g001.jpg
https://cdn.ncbi.nlm.nih.gov/pmc/blobs/93b6/10920212/e5c2cc96aeae/fendo-15-1325386-g002.jpg
https://cdn.ncbi.nlm.nih.gov/pmc/blobs/93b6/10920212/91bc51b9ce5d/fendo-15-1325386-g003.jpg
https://cdn.ncbi.nlm.nih.gov/pmc/blobs/93b6/10920212/9bbb1193d100/fendo-15-1325386-g004.jpg
https://cdn.ncbi.nlm.nih.gov/pmc/blobs/93b6/10920212/dd6cf45576e1/fendo-15-1325386-g005.jpg
https://cdn.ncbi.nlm.nih.gov/pmc/blobs/93b6/10920212/c9915f0b94e6/fendo-15-1325386-g006.jpg
https://cdn.ncbi.nlm.nih.gov/pmc/blobs/93b6/10920212/470d87a9da9b/fendo-15-1325386-g007.jpg

相似文献

1
Ovaries of estrogen receptor 1-deficient mice show iron overload and signs of aging.雌激素受体1缺陷小鼠的卵巢表现出铁过载和衰老迹象。
Front Endocrinol (Lausanne). 2024 Feb 23;15:1325386. doi: 10.3389/fendo.2024.1325386. eCollection 2024.
2
Expression Analysis of Lipocalin 2 (LCN2) in Reproductive and Non-Reproductive Tissues of -Deficient Mice.LCN2 在 - 缺陷小鼠生殖组织和非生殖组织中的表达分析。
Int J Mol Sci. 2023 May 25;24(11):9280. doi: 10.3390/ijms24119280.
3
Dual roles for Id4 in the regulation of estrogen signaling in the mammary gland and ovary.Id4 在乳腺和卵巢中雌激素信号转导调控中的双重作用。
Development. 2014 Aug;141(16):3159-64. doi: 10.1242/dev.108498. Epub 2014 Jul 18.
4
Theca-specific estrogen receptor-alpha knockout mice lose fertility prematurely.卵泡膜特异性雌激素受体α基因敲除小鼠过早丧失生育能力。
Endocrinology. 2009 Aug;150(8):3855-62. doi: 10.1210/en.2008-1774. Epub 2009 May 7.
5
Effect of single and compound knockouts of estrogen receptors alpha (ERalpha) and beta (ERbeta) on mouse reproductive phenotypes.雌激素受体α(ERα)和β(ERβ)单基因敲除及双基因敲除对小鼠生殖表型的影响。
Development. 2000 Oct;127(19):4277-91. doi: 10.1242/dev.127.19.4277.
6
Rare causes of hereditary iron overload.遗传性铁过载的罕见病因。
Semin Hematol. 2002 Oct;39(4):249-62. doi: 10.1053/shem.2002.35638.
7
Crucial role of high-mobility group box 2 in mouse ovarian follicular development through estrogen receptor beta.高迁移率族蛋白盒2通过雌激素受体β在小鼠卵巢卵泡发育中的关键作用
Histochem Cell Biol. 2022 Mar;157(3):359-369. doi: 10.1007/s00418-022-02074-4. Epub 2022 Jan 13.
8
Dysregulation of hypothalamic-pituitary estrogen receptor α-mediated signaling causes episodic LH secretion and cystic ovary.下丘脑-垂体雌激素受体 α 介导的信号转导失调导致 LH 分泌阵发性和多囊卵巢。
FASEB J. 2019 Jun;33(6):7375-7386. doi: 10.1096/fj.201802653RR. Epub 2019 Mar 13.
9
Prevention of the polycystic ovarian phenotype and characterization of ovulatory capacity in the estrogen receptor-alpha knockout mouse.雌激素受体α基因敲除小鼠多囊卵巢表型的预防及排卵能力的特征分析
Endocrinology. 1999 Dec;140(12):5855-65. doi: 10.1210/endo.140.12.7222.
10
Estrogen Receptor Alpha (ESR1)-Dependent Regulation of the Mouse Oviductal Transcriptome.雌激素受体α(ESR1)对小鼠输卵管转录组的依赖性调控
PLoS One. 2016 Jan 25;11(1):e0147685. doi: 10.1371/journal.pone.0147685. eCollection 2016.

引用本文的文献

1
Comprehensive Genetic and Molecular Characterization Confirms Hepatic Stellate Cell Origin of the Immortal Col-GFP HSC Line.全面的基因和分子特征分析证实了永生化Col-GFP肝星状细胞系的肝星状细胞起源。
Int J Mol Sci. 2025 Aug 11;26(16):7764. doi: 10.3390/ijms26167764.
2
Oxidative Stress, Parity History, and Remnant Follicles in the Aged Ovary: Insights on Ovarian Cancer Risk and Protection.老年卵巢中的氧化应激、生育史与残余卵泡:对卵巢癌风险及保护的见解
Antioxidants (Basel). 2025 Jun 20;14(7):759. doi: 10.3390/antiox14070759.
3
Effect of estradiol valerate on humoral immune function in BALB/c mice after total hysterectomy.

本文引用的文献

1
Expression Analysis of Lipocalin 2 (LCN2) in Reproductive and Non-Reproductive Tissues of -Deficient Mice.LCN2 在 - 缺陷小鼠生殖组织和非生殖组织中的表达分析。
Int J Mol Sci. 2023 May 25;24(11):9280. doi: 10.3390/ijms24119280.
2
Iron overload triggering ECM-mediated Hippo/YAP pathway in follicle development: a hypothetical model endowed with therapeutic implications.铁过载触发 ECM 介导的 Hippo/YAP 通路在卵泡发育中的作用:一个具有治疗意义的假设模型。
Front Endocrinol (Lausanne). 2023 May 8;14:1174817. doi: 10.3389/fendo.2023.1174817. eCollection 2023.
3
Mast Cell Tryptase and Carboxypeptidase A3 in the Formation of Ovarian Endometrioid Cysts.
戊酸雌二醇对全子宫切除术后BALB/c小鼠体液免疫功能的影响。
Braz J Med Biol Res. 2025 Jun 20;58:e14651. doi: 10.1590/1414-431X2025e14651. eCollection 2025.
4
Overview of the expression patterns and roles of Lipocalin 2 in the reproductive system.脂质运载蛋白2在生殖系统中的表达模式及作用概述。
Front Endocrinol (Lausanne). 2024 Apr 5;15:1365602. doi: 10.3389/fendo.2024.1365602. eCollection 2024.
肥大细胞类胰蛋白酶和羧肽酶 A3 在卵巢子宫内膜样囊肿形成中的作用。
Int J Mol Sci. 2023 Mar 30;24(7):6498. doi: 10.3390/ijms24076498.
4
Lipocalin-2 promotes acute lung inflammation and oxidative stress by enhancing macrophage iron accumulation.脂联素-2 通过增强巨噬细胞铁积累促进急性肺炎症和氧化应激。
Int J Biol Sci. 2023 Feb 13;19(4):1163-1177. doi: 10.7150/ijbs.79915. eCollection 2023.
5
Immunohistochemical Detection of Estrogen Receptor-Beta (ERβ) with PPZ0506 Antibody in Murine Tissue: From Pitfalls to Optimization.用PPZ0506抗体在小鼠组织中进行雌激素受体β(ERβ)的免疫组织化学检测:从陷阱到优化
Biomedicines. 2022 Dec 1;10(12):3100. doi: 10.3390/biomedicines10123100.
6
The role of macrophages in reproductive-related diseases.巨噬细胞在生殖相关疾病中的作用。
Heliyon. 2022 Nov 21;8(11):e11686. doi: 10.1016/j.heliyon.2022.e11686. eCollection 2022 Nov.
7
Polycystic ovary syndrome and iron overload: biochemical link and underlying mechanisms with potential novel therapeutic avenues.多囊卵巢综合征与铁过载:生化联系及潜在的新治疗途径的潜在机制。
Biosci Rep. 2023 Jan 31;43(1). doi: 10.1042/BSR20212234.
8
Intramyocardial hemorrhage drives fatty degeneration of infarcted myocardium.心肌内出血导致梗死心肌的脂肪变性。
Nat Commun. 2022 Oct 27;13(1):6394. doi: 10.1038/s41467-022-33776-x.
9
Aberrant Transferrin and Ferritin Upregulation Elicits Iron Accumulation and Oxidative Inflammaging Causing Ferroptosis and Undermines Estradiol Biosynthesis in Aging Rat Ovaries by Upregulating NF-Κb-Activated Inducible Nitric Oxide Synthase: First Demonstration of an Intricate Mechanism.转铁蛋白和铁蛋白异常上调导致铁积累和氧化炎症老化,通过上调 NF-Κb 激活诱导型一氧化氮合酶破坏雌二醇生物合成在衰老大鼠卵巢中的铁死亡:一种复杂机制的首次证明。
Int J Mol Sci. 2022 Oct 21;23(20):12689. doi: 10.3390/ijms232012689.
10
Estrogen as a key regulator of energy homeostasis and metabolic health.雌激素作为能量平衡和代谢健康的关键调节剂。
Biomed Pharmacother. 2022 Dec;156:113808. doi: 10.1016/j.biopha.2022.113808. Epub 2022 Oct 15.