• 文献检索
  • 文档翻译
  • 深度研究
  • 学术资讯
  • Suppr Zotero 插件Zotero 插件
  • 邀请有礼
  • 套餐&价格
  • 历史记录
应用&插件
Suppr Zotero 插件Zotero 插件浏览器插件Mac 客户端Windows 客户端微信小程序
定价
高级版会员购买积分包购买API积分包
服务
文献检索文档翻译深度研究API 文档MCP 服务
关于我们
关于 Suppr公司介绍联系我们用户协议隐私条款
关注我们

Suppr 超能文献

核心技术专利:CN118964589B侵权必究
粤ICP备2023148730 号-1Suppr @ 2026

文献检索

告别复杂PubMed语法,用中文像聊天一样搜索,搜遍4000万医学文献。AI智能推荐,让科研检索更轻松。

立即免费搜索

文件翻译

保留排版,准确专业,支持PDF/Word/PPT等文件格式,支持 12+语言互译。

免费翻译文档

深度研究

AI帮你快速写综述,25分钟生成高质量综述,智能提取关键信息,辅助科研写作。

立即免费体验

联合内镜经眶和经鼻入路治疗蝶骨孤立性浆细胞瘤:病例报告及文献综述

Combined endoscopic transorbital and transnasal approach for the management of a solitary plasmacytoma of the sphenoid bone: A case report and literature review.

作者信息

Ortega-Ruiz Omar R, Olivas Jorge Armando Lara, Sangrador-Deitos Marcos V, Magaña Ricardo Marian, Gurria Jose Augusto Ruiz, Amador Juan Luis Gomez

机构信息

Tecnologico de Monterrey, Escuela de Medicina y Ciencias de la Salud, Monterrey, Mexico.

Department of Neurosurgery, National Institute of Neurology and Neurosurgery, Mexico City, Mexico.

出版信息

Surg Neurol Int. 2024 Feb 16;15:45. doi: 10.25259/SNI_915_2023. eCollection 2024.

DOI:10.25259/SNI_915_2023
PMID:38468666
原文链接:https://pmc.ncbi.nlm.nih.gov/articles/PMC10927175/
Abstract

BACKGROUND

Parasellar plasmacytomas are rare neurosurgical entities. Intrinsic characteristics of these tumors, such as adjacent bone erosion and symptoms resulting from invasion and mass effect, may lead to the possibility of a solitary extramedullary plasmacytoma (SEP) as a differential diagnosis.

CASE DESCRIPTION

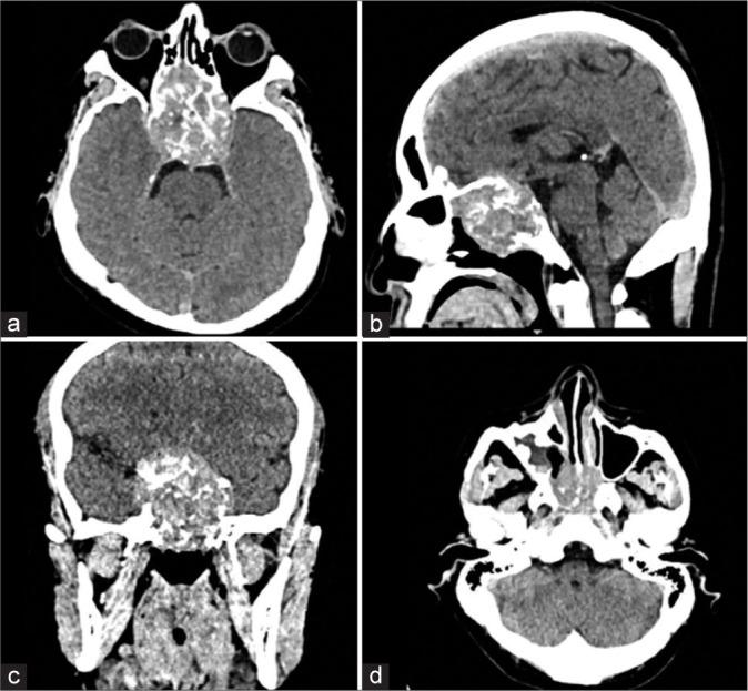
We present the case of a 39-year-old male with a 1-month history of bilateral decreased visual acuity, retroocular pulsating pain, and chromatic vision loss. A computed tomography scan of the head revealed a parasellar lesion causing chiasmatic compression, as well as clival, orbital, sphenoidal, and ethmoidal invasion. A combined transorbital and endonasal endoscopic approach was found suitable, and gross total resection was achieved. Histological analysis of the lesion established the diagnosis of a SEP. After radiotherapy, a new magnetic resonance imaging was performed, revealing a recurrence of the lesion with a high grade of invasion. The patient was treated with palliative radiotherapy, as surgical resection did not seem feasible.

CONCLUSION

Surgical resection and radiotherapy may achieve remission of these lesions; however, recurrence rates remain high despite any treatment modality. Patients with this condition must be followed up with a multidisciplinary team due to the high risk of multiple myeloma progression.

摘要

背景

鞍旁浆细胞瘤是罕见的神经外科疾病。这些肿瘤的内在特征,如相邻骨质侵蚀以及由侵袭和占位效应引起的症状,可能导致孤立性髓外浆细胞瘤(SEP)成为鉴别诊断的可能。

病例描述

我们报告一例39岁男性患者,有1个月双侧视力下降、眼球后搏动性疼痛和色觉丧失的病史。头部计算机断层扫描显示鞍旁病变导致视交叉受压,以及斜坡、眼眶、蝶窦和筛窦受侵。发现联合经眶和鼻内镜入路合适,并实现了肿瘤全切。病变的组织学分析确诊为SEP。放疗后,进行了新的磁共振成像,显示病变复发且侵袭性高。由于手术切除似乎不可行,该患者接受了姑息性放疗。

结论

手术切除和放疗可能使这些病变缓解;然而,无论采用何种治疗方式,复发率仍然很高。由于多发性骨髓瘤进展风险高,患有这种疾病的患者必须由多学科团队进行随访。

https://cdn.ncbi.nlm.nih.gov/pmc/blobs/a18f/10927175/34a567c73774/SNI-15-45-g004.jpg
https://cdn.ncbi.nlm.nih.gov/pmc/blobs/a18f/10927175/e3141c0d1411/SNI-15-45-g001.jpg
https://cdn.ncbi.nlm.nih.gov/pmc/blobs/a18f/10927175/fefef7ee5042/SNI-15-45-g002.jpg
https://cdn.ncbi.nlm.nih.gov/pmc/blobs/a18f/10927175/6ebcfc90bf1f/SNI-15-45-g003.jpg
https://cdn.ncbi.nlm.nih.gov/pmc/blobs/a18f/10927175/34a567c73774/SNI-15-45-g004.jpg
https://cdn.ncbi.nlm.nih.gov/pmc/blobs/a18f/10927175/e3141c0d1411/SNI-15-45-g001.jpg
https://cdn.ncbi.nlm.nih.gov/pmc/blobs/a18f/10927175/fefef7ee5042/SNI-15-45-g002.jpg
https://cdn.ncbi.nlm.nih.gov/pmc/blobs/a18f/10927175/6ebcfc90bf1f/SNI-15-45-g003.jpg
https://cdn.ncbi.nlm.nih.gov/pmc/blobs/a18f/10927175/34a567c73774/SNI-15-45-g004.jpg

相似文献

1
Combined endoscopic transorbital and transnasal approach for the management of a solitary plasmacytoma of the sphenoid bone: A case report and literature review.联合内镜经眶和经鼻入路治疗蝶骨孤立性浆细胞瘤:病例报告及文献综述
Surg Neurol Int. 2024 Feb 16;15:45. doi: 10.25259/SNI_915_2023. eCollection 2024.
2
Differential Diagnosis and Treatment Modality of Parasellar Plasmacytoma: Clinical Series and Literature Review.鞍旁浆细胞瘤的鉴别诊断与治疗方式:临床系列研究及文献综述
World Neurosurg. 2019 Feb;122:e978-e988. doi: 10.1016/j.wneu.2018.10.183. Epub 2018 Nov 7.
3
Endoscopic endonasal transsphenoidal resection of solitary extramedullary plasmacytoma in the sphenoid sinus with destruction of skull base.经鼻内镜经蝶窦入路切除蝶窦内孤立性髓外浆细胞瘤并累及颅底骨质破坏
J Korean Neurosurg Soc. 2009 Aug;46(2):156-60. doi: 10.3340/jkns.2009.46.2.156. Epub 2009 Aug 31.
4
Solitary Extramedullary Plasmacytoma of the Sphenoid Sinus: A Case Report.蝶窦孤立性髓外浆细胞瘤:一例报告
Indian J Otolaryngol Head Neck Surg. 2019 Nov;71(Suppl 3):1692-1694. doi: 10.1007/s12070-015-0945-1. Epub 2015 Dec 21.
5
Solitary Extramedullary Plasmacytoma With Development of T-cell Anaplastic Large-Cell Lymphoma: A Rare Case Report and Literature Review.伴有T细胞间变性大细胞淋巴瘤发生的孤立性髓外浆细胞瘤:1例罕见病例报告及文献复习
Cureus. 2023 Apr 26;15(4):e38153. doi: 10.7759/cureus.38153. eCollection 2023 Apr.
6
Sellar and clival plasmacytomas: case series of 5 patients with systematic review of 65 published cases.鞍区和斜坡浆细胞瘤:5例病例系列及对65例已发表病例的系统综述
Pituitary. 2017 Jun;20(3):381-392. doi: 10.1007/s11102-017-0799-5.
7
Total spondylectomy for solitary bone plasmacytoma of the lumbar spine in a young woman: a case report and review of literature.年轻女性腰椎孤立性骨浆细胞瘤的全脊椎切除术:病例报告及文献复习
Eur Spine J. 2014 Jan;23(1):35-9. doi: 10.1007/s00586-013-2922-2. Epub 2013 Aug 30.
8
Sphenoid plasmacytoma as initial presentation of multiple myeloma-case report.蝶骨浆细胞瘤作为多发性骨髓瘤的首发表现——病例报告
J Surg Case Rep. 2024 Apr 1;2024(4):rjae199. doi: 10.1093/jscr/rjae199. eCollection 2024 Apr.
9
An unusual sellar mass--solitary plasmacytoma.一种不寻常的鞍区肿物——孤立性浆细胞瘤。
Endocr Pract. 1998 Nov-Dec;4(6):382-6. doi: 10.4158/EP.4.6.382.
10
Solitary Primary Intracranial Extramedullary Plasmacytoma With Lymph Node Metastasis.伴有淋巴结转移的孤立性原发性颅内髓外浆细胞瘤。
Cureus. 2022 Apr 2;14(4):e23767. doi: 10.7759/cureus.23767. eCollection 2022 Apr.

本文引用的文献

1
Endoscopic Transorbital Approach for Spheno-Orbital Tumors: Case Series and Systematic Review of Literature.经内镜经眶入路治疗蝶眶肿瘤:病例系列及文献系统综述
World Neurosurg. 2023 Sep;177:e239-e253. doi: 10.1016/j.wneu.2023.06.026. Epub 2023 Jun 16.
2
Combined endoscopic endonasal and transorbital approach to skull base tumors: a systematic literature review.联合鼻内镜经鼻和经眶入路治疗颅底肿瘤:一项系统的文献综述
J Neurosurg Sci. 2022 Oct;66(5):406-412. doi: 10.23736/S0390-5616.21.05401-1. Epub 2021 Aug 3.
3
Expert review on soft-tissue plasmacytomas in multiple myeloma: definition, disease assessment and treatment considerations.
多发性骨髓瘤中软组织浆细胞瘤的专家评论:定义、疾病评估和治疗考虑因素。
Br J Haematol. 2021 Aug;194(3):496-507. doi: 10.1111/bjh.17338. Epub 2021 Mar 16.
4
Endonasal endoscopic versus microscopic transsphenoidal surgery in pituitary tumors among the young: A comparative study & meta-analysis.经鼻内镜与显微镜经蝶窦垂体瘤切除术治疗青年垂体瘤:一项比较研究与荟萃分析。
Clin Neurol Neurosurg. 2021 Jan;200:106411. doi: 10.1016/j.clineuro.2020.106411. Epub 2020 Dec 5.
5
Survival trends and prognostic factors in patients with solitary plasmacytoma of bone: A population-based study.骨孤立性浆细胞瘤患者的生存趋势和预后因素:一项基于人群的研究。
Cancer Med. 2021 Jan;10(2):462-470. doi: 10.1002/cam4.3533. Epub 2020 Nov 3.
6
Supraorbital vs Endo-Orbital Routes to the Lateral Skull Base: A Quantitative and Qualitative Anatomic Study.额眶与眶内入路至侧颅底:一项定量和定性解剖研究。
Oper Neurosurg (Hagerstown). 2018 Nov 1;15(5):567-576. doi: 10.1093/ons/opx256.
7
Differential Diagnosis and Treatment Modality of Parasellar Plasmacytoma: Clinical Series and Literature Review.鞍旁浆细胞瘤的鉴别诊断与治疗方式:临床系列研究及文献综述
World Neurosurg. 2019 Feb;122:e978-e988. doi: 10.1016/j.wneu.2018.10.183. Epub 2018 Nov 7.
8
Clinical and ophthalmological outcome of endoscopic transorbital surgery for cranioorbital tumors.经眶内窥镜手术治疗颅眶肿瘤的临床和眼科结果。
J Neurosurg. 2018 Sep 14;131(3):667-675. doi: 10.3171/2018.3.JNS173233. Print 2019 Sep 1.
9
Sellar plasmacytomas masquerading as pituitary adenomas: A systematic review.伪装成垂体腺瘤的鞍区浆细胞瘤:一项系统评价
J Clin Neurosci. 2018 Apr;50:20-23. doi: 10.1016/j.jocn.2018.01.022. Epub 2018 Feb 1.
10
Diagnosis, treatment, and response assessment in solitary plasmacytoma: updated recommendations from a European Expert Panel.孤立性浆细胞瘤的诊断、治疗和反应评估:欧洲专家小组的最新建议。
J Hematol Oncol. 2018 Jan 16;11(1):10. doi: 10.1186/s13045-017-0549-1.