Suppr超能文献

B3型胸腺瘤合并具有罕见特征的肺炎:一例报告

Type B3 thymoma complicated with pneumonia with rare features: A case report.

作者信息

Jiang Jianping, Dai Jinmeng, Hu Xun, Yao Xiujuan, Mo Weiqiang, Wang Haiqin

机构信息

Department of Respiratory Medicine, The Second Affiliated Hospital of Jiaxing University, Jiaxing, Zhejiang 314000, P.R. China.

Department of Respiratory Medicine, Jiashan County Yaozhuang Town Health Centre, Jiaxing, Zhejiang 314117, P.R. China.

出版信息

Exp Ther Med. 2024 Feb 20;27(4):153. doi: 10.3892/etm.2024.12441. eCollection 2024 Apr.

Abstract

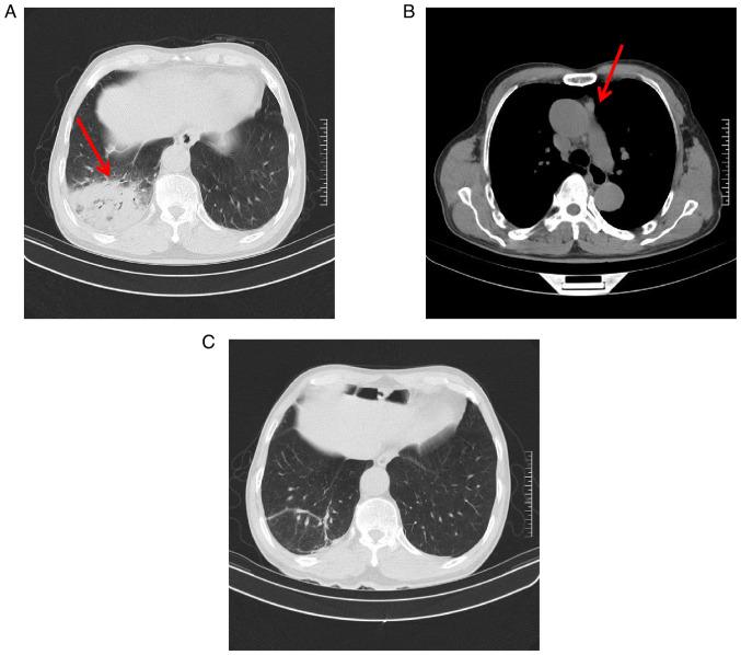
The case of a patient with type B3 thymomacomorbid with pneumonia exhibiting rare features is presented in the current report. The patient was admitted at the Second Affiliated Hospital of Jiaxing University (Jiaxing, China) with a history of direct contact with poultry. Clinical manifestations included fever, shivers, cough, fatigue and poor appetite. Chest computed tomography (CT) indicated right lung pneumonia, while metagenomics next-generation sequencing using bronchoalveolar lavage fluid confirmed infection with . Additionally, positron emission tomography-CT suggested the presence of thymoma. After surgery and treatment with doxycycline and imipenem cilastatin, the patient was discharged showing signs of improvement.

摘要

本报告介绍了一例合并肺炎的B3型胸腺瘤患者的病例,该病例具有罕见特征。患者因有与家禽直接接触史,入住嘉兴学院附属第二医院(中国嘉兴)。临床表现包括发热、寒战、咳嗽、乏力和食欲减退。胸部计算机断层扫描(CT)显示右肺肺炎,而使用支气管肺泡灌洗液进行的宏基因组学下一代测序证实感染了……此外,正电子发射断层扫描-CT提示存在胸腺瘤。经过手术以及强力霉素和亚胺培南西司他丁治疗后,患者出院,病情有所改善。

https://cdn.ncbi.nlm.nih.gov/pmc/blobs/2694/10928967/0c48eedf82c3/etm-27-04-12441-g00.jpg

文献AI研究员

20分钟写一篇综述,助力文献阅读效率提升50倍。

立即体验

用中文搜PubMed

大模型驱动的PubMed中文搜索引擎

马上搜索

文档翻译

学术文献翻译模型,支持多种主流文档格式。

立即体验