• 文献检索
  • 文档翻译
  • 深度研究
  • 学术资讯
  • Suppr Zotero 插件Zotero 插件
  • 邀请有礼
  • 套餐&价格
  • 历史记录
应用&插件
Suppr Zotero 插件Zotero 插件浏览器插件Mac 客户端Windows 客户端微信小程序
定价
高级版会员购买积分包购买API积分包
服务
文献检索文档翻译深度研究API 文档MCP 服务
关于我们
关于 Suppr公司介绍联系我们用户协议隐私条款
关注我们

Suppr 超能文献

核心技术专利:CN118964589B侵权必究
粤ICP备2023148730 号-1Suppr @ 2026

文献检索

告别复杂PubMed语法,用中文像聊天一样搜索,搜遍4000万医学文献。AI智能推荐,让科研检索更轻松。

立即免费搜索

文件翻译

保留排版,准确专业,支持PDF/Word/PPT等文件格式,支持 12+语言互译。

免费翻译文档

深度研究

AI帮你快速写综述,25分钟生成高质量综述,智能提取关键信息,辅助科研写作。

立即免费体验

奇莱迪蒂综合征:一名心力衰竭患者的结构移位。

Chilaiditi syndrome: A structural displacement in a heart failure patient.

作者信息

Song David, Seen Tasur, Almas Talal, Ireifej Branden, Kupferman Judah, Khedro Tarek, Alshamlan Abdulaziz, Abdulhadi Abdulaziz, Sattar Yasar, Alraies M Chadi

机构信息

Icahn School of Medicine at Mount Sinai Elmhurst Hospital, Queens, NY, USA.

Royal College of Surgeons in Ireland, Dublin, Ireland.

出版信息

Ann Med Surg (Lond). 2021 Aug 5;68:102687. doi: 10.1016/j.amsu.2021.102687. eCollection 2021 Aug.

DOI:10.1016/j.amsu.2021.102687
PMID:34401144
原文链接:https://pmc.ncbi.nlm.nih.gov/articles/PMC8353377/
Abstract

BACKGROUND

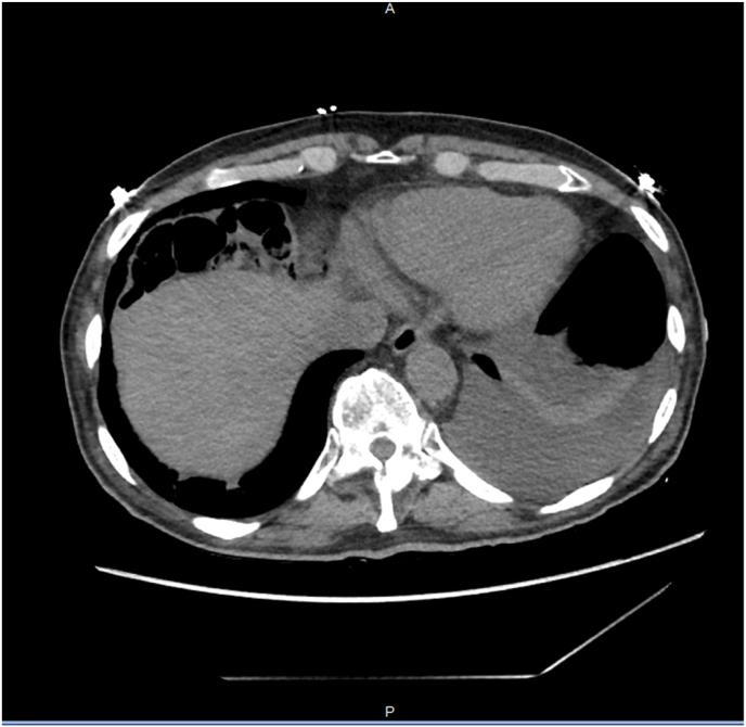
Chilaiditi's sign is often found incidentally on chest or abdominal radiograph and can be accompanied by clinical symptoms such as abdominal pain, gastrointestinal complications, and less commonly associated with dyspnea.

CASE PRESENTATION

In this interesting case, we discover lingering dyspnea in our 79 year old male with a past medical history of asthma and heart failure with preserved ejection fraction admitted for acute heart failure exacerbation with reduced ejection fraction along with a new incidental finding of Chilaiditi's sign on chest radiograph. Patient received optimal diuretics and guideline-directed medical treatment for heart failure exacerbation, but mild dyspnea with pleuritic chest pain persisted. Dyspnea with pleurisy was likely attributed to a structural anatomical defect (Chilaiditi's sign) that can be picked up on imaging.

CONCLUSION

Chilaiditi syndrome can be an incidental cause of ongoing persistent dyspnea, and if symptoms are severe, intervention can be warranted for symptomatic resolution.

LEARNING OBJECTIVE

Chilaiditi syndrome should be considered as a possible diagnosis among patients with a history of heart failure and incidental Chilaiditi's sign on chest radiographic imaging who suffer from persistent dyspnea and pleurisy despite optimal diuretics and guideline-directed medical treatment.

摘要

背景

Chilaiditi征常偶然发现于胸部或腹部X线片上,可伴有腹痛、胃肠道并发症等临床症状,较少伴有呼吸困难。

病例报告

在这个有趣的病例中,我们发现一名79岁男性患者持续存在呼吸困难,该患者既往有哮喘病史和射血分数保留的心力衰竭病史,此次因射血分数降低的急性心力衰竭加重入院,胸部X线片上偶然发现Chilaiditi征。患者接受了最佳利尿剂治疗及针对心力衰竭加重的指南指导药物治疗,但仍持续存在轻度呼吸困难并伴有胸膜炎性胸痛。胸膜炎性呼吸困难可能归因于影像学上可发现的结构性解剖缺陷(Chilaiditi征)。

结论

Chilaiditi综合征可能是持续性呼吸困难的偶然原因,如果症状严重,可考虑进行干预以缓解症状。

学习目标

对于有心力衰竭病史且胸部X线成像偶然发现Chilaiditi征、尽管接受了最佳利尿剂治疗及指南指导药物治疗仍患有持续性呼吸困难和胸膜炎的患者,应考虑Chilaiditi综合征作为可能的诊断。

https://cdn.ncbi.nlm.nih.gov/pmc/blobs/12b1/8353377/0edbcfa00a8b/gr3.jpg
https://cdn.ncbi.nlm.nih.gov/pmc/blobs/12b1/8353377/023c7720f304/gr1.jpg
https://cdn.ncbi.nlm.nih.gov/pmc/blobs/12b1/8353377/1e2d0376379d/gr2.jpg
https://cdn.ncbi.nlm.nih.gov/pmc/blobs/12b1/8353377/0edbcfa00a8b/gr3.jpg
https://cdn.ncbi.nlm.nih.gov/pmc/blobs/12b1/8353377/023c7720f304/gr1.jpg
https://cdn.ncbi.nlm.nih.gov/pmc/blobs/12b1/8353377/1e2d0376379d/gr2.jpg
https://cdn.ncbi.nlm.nih.gov/pmc/blobs/12b1/8353377/0edbcfa00a8b/gr3.jpg

相似文献

1
Chilaiditi syndrome: A structural displacement in a heart failure patient.奇莱迪蒂综合征:一名心力衰竭患者的结构移位。
Ann Med Surg (Lond). 2021 Aug 5;68:102687. doi: 10.1016/j.amsu.2021.102687. eCollection 2021 Aug.
2
Coexistence of pneumothorax and Chilaiditi sign: a case report.气胸与奇阿里迪蒂征并存:一例报告
Asian Pac J Trop Biomed. 2014 Jan;4(1):75-7. doi: 10.1016/S2221-1691(14)60212-4.
3
Chilaiditi's Syndrome Mimicking Crohn's.酷似克罗恩病的奇莱迪蒂综合征
Cureus. 2024 Feb 21;16(2):e54655. doi: 10.7759/cureus.54655. eCollection 2024 Feb.
4
Chilaiditi's syndrome in a patient under long-term antidepressants- A case report.长期服用抗抑郁药患者的奇莱迪蒂综合征——病例报告
Ann Med Surg (Lond). 2022 Mar 28;76:103538. doi: 10.1016/j.amsu.2022.103538. eCollection 2022 Apr.
5
Chilaiditi's sign and syndrome: theoretical facts and a case report.奇莱迪蒂氏征和综合征:理论依据及病例报告
Vojnosanit Pregl. 2016 Mar;73(3):277-9. doi: 10.2298/vsp140603052z.
6
Psychiatric patient with Chilaiditi's syndrome.患有希莱迪蒂综合征的精神科患者。
Clin Schizophr Relat Psychoses. 2018 Jun 26. doi: 10.3371/CSRP.VAMA.061518.
7
Surgical management of large bowel obstruction and significant hepatic displacement caused by Chilaiditi syndrome.Chilaiditi 综合征致大肠梗阻及肝脏显著移位的外科治疗。
BMJ Case Rep. 2023 Nov 30;16(11):e255047. doi: 10.1136/bcr-2023-255047.
8
Differentiating Chilaiditi's Syndrome with hollow viscus perforation: A case report.奇莱迪蒂综合征与中空脏器穿孔的鉴别:一例报告。
Int J Surg Case Rep. 2021 Jan;78:314-316. doi: 10.1016/j.ijscr.2020.12.029. Epub 2020 Dec 16.
9
Interstitial Lung Disease with Chilaiditi Syndrome.伴有奇阿里迪蒂综合征的间质性肺疾病
J Clin Diagn Res. 2016 Dec;10(12):TD04-TD05. doi: 10.7860/JCDR/2016/23577.9074. Epub 2016 Dec 1.
10
The air up there - Chilaiditi's syndrome: A case report and review of the literature.高处的空气——奇莱迪蒂综合征:一例报告及文献综述
Afr J Emerg Med. 2020 Dec;10(4):266-268. doi: 10.1016/j.afjem.2020.04.001. Epub 2020 May 25.

引用本文的文献

1
Chilaiditi's Syndrome Mimicking Crohn's.酷似克罗恩病的奇莱迪蒂综合征
Cureus. 2024 Feb 21;16(2):e54655. doi: 10.7759/cureus.54655. eCollection 2024 Feb.

本文引用的文献

1
The SCARE 2020 Guideline: Updating Consensus Surgical CAse REport (SCARE) Guidelines.SCARE 2020 指南:更新共识手术病例报告(SCARE)指南。
Int J Surg. 2020 Dec;84:226-230. doi: 10.1016/j.ijsu.2020.10.034. Epub 2020 Nov 9.
2
A rare cause of sudden chest pain and dyspnea: A CARE-compliant case report of Chilaiditi syndrome.突发胸痛和呼吸困难的罕见病因:一例符合 CARE 标准的 Chiari 畸形综合征病例报告 。 需注意,你原文中的“Chilaiditi syndrome”可能有误,更常见的是“Chilaiditi's syndrome”(希阿里氏综合征) ,这里根据你提供的原文准确翻译,但建议你检查确认一下。如果是“Chilaiditi's syndrome”,翻译如下: 突发胸痛和呼吸困难的罕见病因:一例符合 CARE 标准的希阿里氏综合征病例报告 。
Medicine (Baltimore). 2020 May;99(20):e20220. doi: 10.1097/MD.0000000000020220.
3
Chilaiditi syndrome mimicking congestive heart failure.
酷似充血性心力衰竭的奇莱迪蒂综合征。
BMJ Case Rep. 2017 Jul 14;2017:bcr-2017-220811. doi: 10.1136/bcr-2017-220811.
4
Chilaiditi syndrome: a rare entity with important differential diagnoses.奇莱迪蒂综合征:一种具有重要鉴别诊断意义的罕见病症。
Gastroenterol Hepatol (N Y). 2012 Apr;8(4):276-8.
5
An elderly man with chest pain, shortness of breath, and constipation.一位患有胸痛、呼吸急促和便秘的老年男性。
Postgrad Med J. 2003 Mar;79(929):180, 183-4. doi: 10.1136/pmj.79.929.180.